OTUD6A Antibody - BSA Free

Images

 
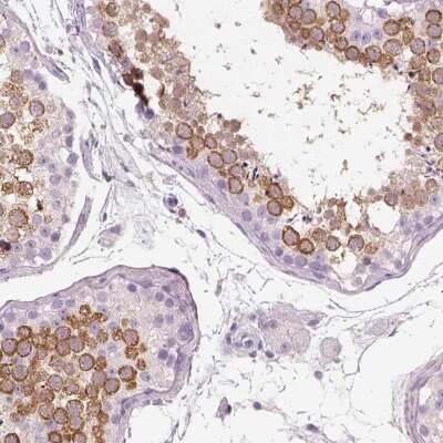
Orthogonal Strategies: Immunohistochemistry-Paraffin: OTUD6A Antibody [NBP2-49078] - Staining in human testis and endometrium tissues using anti-OTUD6A antibody. Corresponding OTUD6A RNA-seq data are presented ...read more
Western Blot: OTUD6A Antibody [NBP2-49078] - Analysis in control (vector only transfected HEK293T lysate) and OTUD6A over-expression lysate (Co-expressed with a C-terminal myc-DDK tag (3.1 kDa) in mammalian HEK293T ...read more
Immunohistochemistry-Paraffin: OTUD6A Antibody [NBP2-49078] - Staining of human endometrium shows low expression as expected.
Immunohistochemistry-Paraffin: OTUD6A Antibody [NBP2-49078] - Staining of human testis shows high expression.

Product Details

Summary
Reactivity HuSpecies Glossary
Applications WB, IHC
Clonality
Polyclonal
Host
Rabbit
Conjugate
Unconjugated
Format
BSA Free
Validated by:
       

Orthogonal Strategies

 

Order Details

View Available Formulations
Catalog# & Formulation Size Price

OTUD6A Antibody - BSA Free Summary

Description
Novus Biologicals Rabbit OTUD6A Antibody - BSA Free (NBP2-49078) is a polyclonal antibody validated for use in IHC and WB. All Novus Biologicals antibodies are covered by our 100% guarantee.
Immunogen
This antibody was developed against a recombinant protein corresponding to amino acids: HRQELEKFQDDSSIESVVEDLAKMNLENRPPRSSKAHRKRERMESEERERQESIFQAEMSEHLAGFKREEE
Isotype
IgG
Clonality
Polyclonal
Host
Rabbit
Gene
OTUD6A
Purity
Affinity purified
Innovator's Reward
Test in a species/application not listed above to receive a full credit towards a future purchase.

Applications/Dilutions

Dilutions
  • Immunohistochemistry 1:1000 - 1:2500
  • Immunohistochemistry-Paraffin 1:1000 - 1:2500
  • Western Blot 0.04-0.4 ug/ml
Application Notes
For IHC-Paraffin, HIER pH 6 retrieval is recommended.
Control Peptide
OTUD6A Recombinant Protein Antigen (NBP2-49078PEP)

Packaging, Storage & Formulations

Storage
Store at 4C short term. Aliquot and store at -20C long term. Avoid freeze-thaw cycles.
Buffer
PBS (pH 7.2) and 40% Glycerol
Preservative
0.02% Sodium Azide
Purity
Affinity purified

Alternate Names for OTUD6A Antibody - BSA Free

  • DUBA2
  • DUBA-2
  • OTU domain containing 6A
  • OTUD6A

Limitations

This product is for research use only and is not approved for use in humans or in clinical diagnosis. Primary Antibodies are guaranteed for 1 year from date of receipt.

Customers Who Viewed This Item Also Viewed...

NBP2-03688
Species: Ca, Hu, Pm, Mu, Pm, Rt
Applications: ICC/IF, IHC,  IHC-P, WB
NBP2-49078
Species: Hu
Applications: WB, IHC

Publications for OTUD6A Antibody (NBP2-49078) (0)

There are no publications for OTUD6A Antibody (NBP2-49078).
By submitting your publication information earn gift cards and discounts for future purchases.

Reviews for OTUD6A Antibody (NBP2-49078) (0)

There are no reviews for OTUD6A Antibody (NBP2-49078). By submitting a review you will receive an Amazon e-Gift Card or Novus Product Discount.
  • Review with no image -- $10/€7/£6/$10 CAD/¥70 Yuan/¥1110 Yen
  • Review with an image -- $25/€18/£15/$25 CAD/¥150 Yuan/¥2500 Yen

Product General Protocols

Find general support by application which include: protocols, troubleshooting, illustrated assays, videos and webinars.

Video Protocols

WB Video Protocol

FAQs for OTUD6A Antibody (NBP2-49078) (0)

There are no specific FAQs related to this product. Read our general customer & technical service FAQs.

Secondary Antibodies

 

Isotype Controls

Additional OTUD6A Products

Research Areas for OTUD6A Antibody (NBP2-49078)

Find related products by research area.

Blogs on OTUD6A

There are no specific blogs for OTUD6A, but you can read our latest blog posts.

Customers Who Bought This Also Bought

Contact Information

Product PDFs

Calculators

Concentration Calculator

The concentration calculator allows you to quickly calculate the volume, mass or concentration of your vial. Simply enter your mass, volume, or concentration values for your reagent and the calculator will determine the rest.

=
÷

Review this Product

Be the first to review our OTUD6A Antibody - BSA Free and receive a gift card or discount.

Bioinformatics

Gene Symbol OTUD6A