NCF1C Antibody (RB22643)

Images

 
Western blot analysis of NCF1C Antibody (C-term) in T47D cell line lysates (35ug/lane). NCF1C (arrow) was detected using the purified Pab.
Western blot analysis of NCF1C Antibody (C-term) in T47D cell line lysates (35ug/lane). NCF1C (arrow) was detected using the purified Pab.
Western blot analysis of NCF1C Antibody (C-term) in T47D cell line lysates (35ug/lane). NCF1C (arrow) was detected using the purified Pab.

Product Details

Summary
Reactivity HuSpecies Glossary
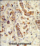
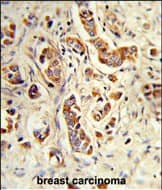
Applications WB, Flow, IHC
Clone
RB22643
Clonality
Polyclonal
Host
Rabbit
Conjugate
Unconjugated
Concentration
1 mg/ml

Order Details

NCF1C Antibody (RB22643) Summary

Immunogen
This NCF1C antibody is generated from rabbits immunized with a KLH conjugated synthetic peptide between 277-303 amino acids from the C-terminal region of human NCF1C.(Accession#:0)
Isotype
IgG
Clonality
Polyclonal
Host
Rabbit
Gene
NCF1C
Purity
Antigen and protein A Affinity-purified
Innovator's Reward
Test in a species/application not listed above to receive a full credit towards a future purchase.

Applications/Dilutions

Dilutions
  • Flow Cytometry
  • Immunohistochemistry-Paraffin
  • Western Blot

Packaging, Storage & Formulations

Storage
Store at 4C short term. Aliquot and store at -20C long term. Avoid freeze-thaw cycles.
Buffer
PBS
Preservative
0.09% Sodium Azide
Concentration
1 mg/ml
Purity
Antigen and protein A Affinity-purified

Alternate Names for NCF1C Antibody (RB22643)

  • neutrophil cytosolic factor 1C pseudogene
  • SH3PXD1C

Limitations

This product is for research use only and is not approved for use in humans or in clinical diagnosis. Primary Antibodies are guaranteed for 1 year from date of receipt.

Customers Who Viewed This Item Also Viewed...

NB100-790
Species: Ba, Hu, Mu, Po
Applications: Flow, ICC/IF, IHC,  IHC-P, IP, PEP-ELISA, WB
NBP2-67416
Species: Hu, Mu, Rt
Applications: ICC/IF, IHC,  IHC-P, WB
MAB7616
Species: Hu
Applications: CyTOF-ready, Flow, WB
AF3880
Species: Hu
Applications: ICC, WB

Publications for NCF1C Antibody (NBP3-52321) (0)

There are no publications for NCF1C Antibody (NBP3-52321).
By submitting your publication information earn gift cards and discounts for future purchases.

Reviews for NCF1C Antibody (NBP3-52321) (0)

There are no reviews for NCF1C Antibody (NBP3-52321). By submitting a review you will receive an Amazon e-Gift Card or Novus Product Discount.
  • Review with no image -- $10/€7/£6/$10 CAD/¥70 Yuan/¥1110 Yen
  • Review with an image -- $25/€18/£15/$25 CAD/¥150 Yuan/¥2500 Yen

Product General Protocols

Find general support by application which include: protocols, troubleshooting, illustrated assays, videos and webinars.

Video Protocols

WB Video Protocol

FAQs for NCF1C Antibody (NBP3-52321) (0)

There are no specific FAQs related to this product. Read our general customer & technical service FAQs.

Customers Who Bought This Also Bought

Contact Information

Product PDFs

Calculators

Concentration Calculator

The concentration calculator allows you to quickly calculate the volume, mass or concentration of your vial. Simply enter your mass, volume, or concentration values for your reagent and the calculator will determine the rest.

=
÷

Review this Product

Be the first to review our NCF1C Antibody (RB22643) and receive a gift card or discount.

Bioinformatics

Gene Symbol NCF1C