Membralin Antibody - BSA Free

Images

 
Immunohistochemistry-Paraffin: Membralin Antibody [NBP1-90088] - Staining of human testis shows strong granular cytoplasmic positivity in cells in seminiferous ducts.
Immunohistochemistry-Paraffin: Membralin Antibody [NBP1-90088] - Staining of human Fallopian tube shows strong cytoplasmic positivity in glandular cells.
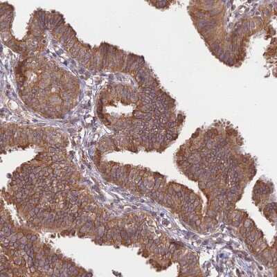
Immunohistochemistry-Paraffin: Membralin Antibody [NBP1-90088] - Staining of human prostate shows moderate granular cytoplasmic positivity in glandular cells.
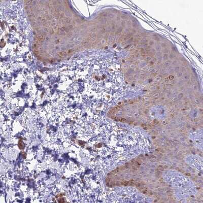
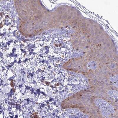
Immunohistochemistry-Paraffin: Membralin Antibody [NBP1-90088] - Staining of human skin shows weak cytoplasmic positivity in squamous epithelial cells.
Analysis in human cell line A-431.

Product Details

Summary
Reactivity Hu, Mu, RtSpecies Glossary
Applications WB, IHC
Clonality
Polyclonal
Host
Rabbit
Conjugate
Unconjugated
Format
BSA Free

Order Details

View Available Formulations
Catalog# & Formulation Size Price

Membralin Antibody - BSA Free Summary

Description
Novus Biologicals Rabbit Membralin Antibody - BSA Free (NBP1-90088) is a polyclonal antibody validated for use in IHC and WB. All Novus Biologicals antibodies are covered by our 100% guarantee.
Immunogen
This antibody was developed against Recombinant Protein corresponding to amino acids: IKFELDIEPKVFKPPSSTEALNDSQEFPFPETPTKVWPQDEYIVEYSLEYGFLRLSQATRQRLSIPVMVVTL
Predicted Species
Mouse (92%), Rat (90%). Backed by our 100% Guarantee.
Isotype
IgG
Clonality
Polyclonal
Host
Rabbit
Gene
TMEM259
Purity
Immunogen affinity purified
Innovator's Reward
Test in a species/application not listed above to receive a full credit towards a future purchase.

Applications/Dilutions

Dilutions
  • Immunohistochemistry 1:50 - 1:200
  • Immunohistochemistry-Paraffin 1:50-1:200
  • Western Blot 0.04-0.4 ug/ml
Application Notes
For IHC-Paraffin, HIER pH 6 retrieval is recommended.
Control Peptide
Membralin Protein (NBP1-90088PEP)

Packaging, Storage & Formulations

Storage
Store at 4C short term. Aliquot and store at -20C long term. Avoid freeze-thaw cycles.
Buffer
PBS (pH 7.2) and 40% Glycerol
Preservative
0.02% Sodium Azide
Purity
Immunogen affinity purified

Alternate Names for Membralin Antibody - BSA Free

  • ASBABP1
  • aspecific BCL2 ARE-binding protein 1
  • chromosome 19 open reading frame 6
  • MBRL
  • MEMBRALIN
  • MGC4022
  • R32184_3

Limitations

This product is for research use only and is not approved for use in humans or in clinical diagnosis. Primary Antibodies are guaranteed for 1 year from date of receipt.

Customers Who Viewed This Item Also Viewed...

NBP2-61747
Species: Hu
Applications: ELISA, Flow, WB
NBP2-30928
Species: Hu
Applications: ICC/IF, IHC,  IHC-P, WB
NBP1-84037
Species: Hu, Mu, Rt
Applications: IHC,  IHC-P, WB
AF1640
Species: Hu
Applications: ELISA(Cap), ELISA(Det), ELISA(Sta), IHC, WB
AF4309
Species: Hu, Mu
Applications: ICC, IHC, WB
NBP2-04611
Species: Hu
Applications: WB

Publications for Membralin Antibody (NBP1-90088) (0)

There are no publications for Membralin Antibody (NBP1-90088).
By submitting your publication information earn gift cards and discounts for future purchases.

Reviews for Membralin Antibody (NBP1-90088) (0)

There are no reviews for Membralin Antibody (NBP1-90088). By submitting a review you will receive an Amazon e-Gift Card or Novus Product Discount.
  • Review with no image -- $10/€7/£6/$10 CAD/¥70 Yuan/¥1110 Yen
  • Review with an image -- $25/€18/£15/$25 CAD/¥150 Yuan/¥2500 Yen

Product General Protocols

Find general support by application which include: protocols, troubleshooting, illustrated assays, videos and webinars.

Video Protocols

WB Video Protocol

FAQs for Membralin Antibody (NBP1-90088) (0)

There are no specific FAQs related to this product. Read our general customer & technical service FAQs.

Customers Who Bought This Also Bought

Contact Information

Product PDFs

Calculators

Concentration Calculator

The concentration calculator allows you to quickly calculate the volume, mass or concentration of your vial. Simply enter your mass, volume, or concentration values for your reagent and the calculator will determine the rest.

=
÷

Review this Product

Be the first to review our Membralin Antibody - BSA Free and receive a gift card or discount.

Bioinformatics

Gene Symbol TMEM259