Jade-1/PHF17 Antibody

Images

 
Western Blot: Jade-1/PHF17 Antibody [NBP2-19797] - Sample (30 ug of whole cell lysate) A: HeLa B: HepG2 7. 5% SDS PAGE gel, diluted at 1:500.
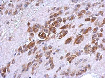
Immunohistochemistry-Paraffin: Jade-1/PHF17 Antibody [NBP2-19797] - Human hepatoma, using PHF17 antibody at 1:500 dilution. Antigen Retrieval: Trilogy™ (EDTA based, pH 8.0) buffer, 15min.

Product Details

Summary
Product Discontinued
View other related Jade-1/PHF17 Primary Antibodies

Order Details


    • Catalog Number
      NBP2-19797
    • Availability
      Product Discontinued

    Can't find what you are looking for? Use our Antibody Concierge Service & we will help you locate your antibody!

    Or feel free to contact us for alternative products.

Jade-1/PHF17 Antibody Summary

Immunogen
Recombinant protein encompassing a sequence within the C-terminus region of human PHF17. The exact sequence is proprietary.
Localization
Cytoplasm; Nucleus
Predicted Species
Mouse (91%), Rat (94%), Rhesus Macaque (97%), Bovine (95%). Backed by our 100% Guarantee.
Isotype
IgG
Clonality
Polyclonal
Host
Rabbit
Gene
JADE1
Purity
Immunogen affinity purified
Innovator's Reward
Test in a species/application not listed above to receive a full credit towards a future purchase.

Applications/Dilutions

Dilutions
  • Immunohistochemistry 1:100-1:1000
  • Immunohistochemistry-Paraffin 1:100-1:1000
  • Western Blot 1:500-1:3000
Theoretical MW
96 kDa.
Disclaimer note: The observed molecular weight of the protein may vary from the listed predicted molecular weight due to post translational modifications, post translation cleavages, relative charges, and other experimental factors.

Packaging, Storage & Formulations

Storage
Aliquot and store at -20C or -80C. Avoid freeze-thaw cycles.
Buffer
0.1M Tris (pH 7), 0.1M Glycine, 20% Glycerol
Preservative
0.01% Thimerosal
Purity
Immunogen affinity purified

Alternate Names for Jade-1/PHF17 Antibody

  • FLJ22479
  • Jade1
  • Jade-1
  • KIAA1807
  • PHD finger protein 17JADE1gene for apoptosis and differentiation in epithelia
  • PHD protein Jade-1
  • PHF17
  • protein Jade-1

Background

PHF17 is a component of the HBO1 complex which has a histone H4-specific acetyltransferase activity, a reduced activitytoward histone H3 and is responsible for the bulk of histone H4 acetylation in vivo. Transcriptional coactivator itmay also promote acetylation of

Limitations

This product is for research use only and is not approved for use in humans or in clinical diagnosis. Primary Antibodies are guaranteed for 1 year from date of receipt.

Customers Who Viewed This Item Also Viewed...

NBP2-45411
Species: Hu, Mu, Rt
Applications: IHC,  IHC-P, WB
NBP1-92161
Species: Hu, Mu, Rt
Applications: ICC/IF, IHC,  IHC-P, WB
NBP3-46113
Species: Hu, Mu, Rt
Applications: ELISA, IHC, IP, , WB
NBP2-07996
Species: Hu
Applications: WB
NBL1-11570
Species: Hu
Applications: WB
H00008365-M01
Species: Hu
Applications: ELISA, ICC/IF, S-ELISA
NBL1-11567
Species: Hu
Applications: WB
NBP2-52486
Species: Hu
Applications: CyTOF-ready, ELISA, Flow, ICC/IF, IHC,  IHC-P, WB
2695-SE
Species: Hu
Applications: EnzAct
NBP2-33828
Species: Hu
Applications: IHC,  IHC-P
NB500-171
Species: Hu, I, Mu, Rt, Xp, Ye
Applications: ChIP, IB, ICC/IF, IHC,  IHC-P, Single-Cell Western, WB
NBP1-91523
Species: Hu
Applications: IHC,  IHC-P, WB
NBP2-93637
Species: Hu, Mu, Rt
Applications: ELISA, ICC/IF, WB
NBP1-84546
Species: Hu, Mu, Rt
Applications: IHC,  IHC-P, WB
NBP1-85482
Species: Hu
Applications: ICC/IF, IHC,  IHC-P, WB
NBP2-19797
Species: Hu, Mu, Rt, Bv, RM
Applications: WB, IHC
⚠ WARNING: This product can expose you to chemicals including mercury, which is known to the State of California to cause reproductive toxicity with developmental effects.  For more information go to www.P65Warnings.ca.gov.

Publications for Jade-1/PHF17 Antibody (NBP2-19797) (0)

There are no publications for Jade-1/PHF17 Antibody (NBP2-19797).
By submitting your publication information earn gift cards and discounts for future purchases.

Reviews for Jade-1/PHF17 Antibody (NBP2-19797) (0)

There are no reviews for Jade-1/PHF17 Antibody (NBP2-19797). By submitting a review you will receive an Amazon e-Gift Card or Novus Product Discount.
  • Review with no image -- $10/€7/£6/$10 CAD/¥70 Yuan/¥1110 Yen
  • Review with an image -- $25/€18/£15/$25 CAD/¥150 Yuan/¥2500 Yen

Product General Protocols

Find general support by application which include: protocols, troubleshooting, illustrated assays, videos and webinars.

Video Protocols

WB Video Protocol

FAQs for Jade-1/PHF17 Antibody (NBP2-19797) (0)

There are no specific FAQs related to this product. Read our general customer & technical service FAQs.

Contact Information

Product PDFs

Calculators

Concentration Calculator

The concentration calculator allows you to quickly calculate the volume, mass or concentration of your vial. Simply enter your mass, volume, or concentration values for your reagent and the calculator will determine the rest.

=
÷

Review this Product

Be the first to review our Jade-1/PHF17 Antibody and receive a gift card or discount.

Bioinformatics

Gene Symbol JADE1