GPR164 Antibody

Images

 
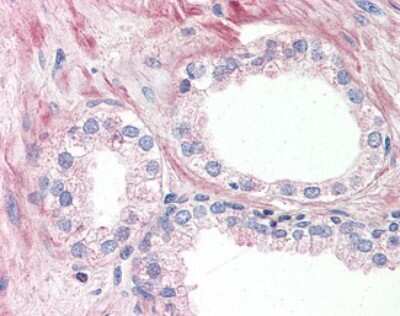
Immunohistochemistry-Paraffin: GPR164 Antibody [NBP2-29390] - Analysis of anti-OR51E1 antibody with human prostate at 15-20 ug/ml.

Product Details

Summary
Product Discontinued
View other related GPR164 Primary Antibodies

Order Details


    • Catalog Number
      NBP2-29390
    • Availability
      Product Discontinued

    Can't find what you are looking for? Use our Antibody Concierge Service & we will help you locate your antibody!

    Or feel free to contact us for alternative products.

GPR164 Antibody Summary

Immunogen
Synthetic 17 amino acid peptide from internal region of human OR51E1.
Localization
Internal
Specificity
Human OR51E1. BLAST analysis of the peptide immunogen showed no homology with other human proteins.
Predicted Species
Monkey (94%). Backed by our 100% Guarantee.
Isotype
IgG
Clonality
Polyclonal
Host
Rabbit
Gene
OR51E1
Purity
Immunogen affinity purified
Innovator's Reward
Test in a species/application not listed above to receive a full credit towards a future purchase.

Applications/Dilutions

Dilutions
  • ELISA 1:100 - 1:2000
  • Immunohistochemistry
  • Immunohistochemistry-Paraffin 15 - 20 ug/ml
Application Notes
IHC-P: Requires pretreatment with Proteinase K.

Reactivity Notes

Predicted cross-reactivity based on sequence identity: Gorilla (100%), Marmoset (88%), Mouse (88%), Hamster (88%), Rabbit (88%), Gibbon (82%), Galago (82%), Rat (82%).

Packaging, Storage & Formulations

Storage
Store at 4C short term. Aliquot and store at -20C long term. Avoid freeze-thaw cycles.
Buffer
PBS
Preservative
0.1% Sodium Azide
Concentration
1 mg/ml
Purity
Immunogen affinity purified

Alternate Names for GPR164 Antibody

  • DGPCR
  • D-GPCR
  • Dresden-G-protein-coupled receptor
  • FLJ13581
  • GPR136
  • GPR164
  • G-protein coupled receptor 164
  • MGC24137
  • olfactory receptor 51E1
  • Olfactory receptor 52A3
  • olfactory receptor OR11-15
  • olfactory receptor, family 51, subfamily E, member 1 pseudogene
  • olfactory receptor, family 51, subfamily E, member 1
  • olfactory receptor, family 52, subfamily A, member 3 pseudogene
  • OR51E1
  • OR51E1P
  • OR52A3P
  • POGR
  • prostate overexpressed G protein-coupled receptor
  • Prostate-overexpressed G protein-coupled receptor
  • Prostate-specific G protein-coupled receptor 2
  • PSGR2

Background

D-GPCR, identified in 2004, is an Orphan-U GPCR with an unknown ligand. D-GPCR is expresssed highly in prostate and prostate cancers. ESTs have been isolated from human colon, kidney, lung, placenta, and prostate libraries.

Limitations

This product is for research use only and is not approved for use in humans or in clinical diagnosis. Primary Antibodies are guaranteed for 1 year from date of receipt.

Customers Who Viewed This Item Also Viewed...

NBL1-13961
Species: Hu
Applications: WB
NLS2144
Species: Bt, Bv, Ca, Eq, Hu, Pm, Mu, Rb
Applications: IHC,  IHC-P
NBP1-87168
Species: Hu
Applications: ICC/IF, IHC,  IHC-P, WB
NBP2-25160
Species: Bv, Ca, Eq, Hu, Mu, Po, Rt
Applications: ICC/IF, IHC, WB
NLS418
Species: Hu
Applications: IHC,  IHC-P
8115-SA
Species: Hu
Applications: InhibAct
NLS2756
Species: Hu, Pm
Applications: ICC, IHC,  IHC-P
MAB2327
Species: Hu
Applications: IP, WB
MAB194
Species: Hu, Mu
Applications: CyTOF-ready, Flow, ICC, WB
NBP1-00858
Species: Hu, Mu, Rt
Applications: Flow, ICC/IF, IHC,  IHC-P, KD, KO, WB
MAB8458
Species: Hu
Applications: CyTOF-ready, Flow, ICC
NLS1017
Species: Bt, Bv, Ca, Eq, Hu, Mu
Applications: IHC,  IHC-P

Publications for GPR164 Antibody (NBP2-29390) (0)

There are no publications for GPR164 Antibody (NBP2-29390).
By submitting your publication information earn gift cards and discounts for future purchases.

Reviews for GPR164 Antibody (NBP2-29390) (0)

There are no reviews for GPR164 Antibody (NBP2-29390). By submitting a review you will receive an Amazon e-Gift Card or Novus Product Discount.
  • Review with no image -- $10/€7/£6/$10 CAD/¥70 Yuan/¥1110 Yen
  • Review with an image -- $25/€18/£15/$25 CAD/¥150 Yuan/¥2500 Yen

Product General Protocols

Find general support by application which include: protocols, troubleshooting, illustrated assays, videos and webinars.

FAQs for GPR164 Antibody (NBP2-29390) (0)

There are no specific FAQs related to this product. Read our general customer & technical service FAQs.

Secondary Antibodies

 

Isotype Controls

Additional GPR164 Products

Research Areas for GPR164 Antibody (NBP2-29390)

Find related products by research area.

Blogs on GPR164

There are no specific blogs for GPR164, but you can read our latest blog posts.

Contact Information

Product PDFs

Calculators

Concentration Calculator

The concentration calculator allows you to quickly calculate the volume, mass or concentration of your vial. Simply enter your mass, volume, or concentration values for your reagent and the calculator will determine the rest.

=
÷

Review this Product

Be the first to review our GPR164 Antibody and receive a gift card or discount.

Bioinformatics

Gene Symbol OR51E1
Uniprot