FAM163A Antibody - BSA Free

Images

 
Analysis in control (vector only transfected HEK293T lysate) and FAM163A over-expression lysate (Co-expressed with a C-terminal myc-DDK tag (~3.1 kDa) in mammalian HEK293T cells).
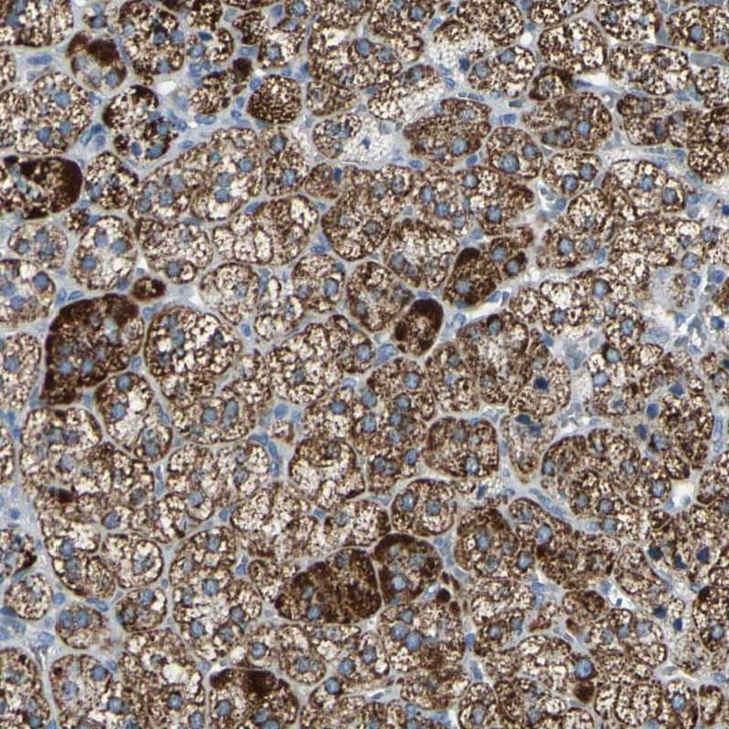
Staining of human adrenal gland shows strong cytoplasmic positivity in glandular cells.

Product Details

Summary
Reactivity HuSpecies Glossary
Applications WB, IHC
Clonality
Polyclonal
Host
Rabbit
Conjugate
Unconjugated
Format
BSA Free

Order Details

FAM163A Antibody - BSA Free Summary

Description
Novus Biologicals Rabbit FAM163A Antibody - BSA Free (NBP1-88324) is a polyclonal antibody validated for use in IHC and WB. Anti-FAM163A Antibody: Cited in 1 publication. All Novus Biologicals antibodies are covered by our 100% guarantee.
Immunogen
This antibody was developed against Recombinant Protein corresponding to amino acids: YYCCKKSGTEVADEEEEREHDLPTHPRGPTCNACSSQALDGRGSLAPLTSEPCSQPCGVAASHCTTCSPYSSPFYIRTADMVPNGGGGERLSFAPTYYKEGGPPSLKLAAPQSYPVTWPGSGREAFTNPRAIST
Isotype
IgG
Clonality
Polyclonal
Host
Rabbit
Gene
FAM163A
Purity
Immunogen affinity purified
Innovator's Reward
Test in a species/application not listed above to receive a full credit towards a future purchase.

Applications/Dilutions

Dilutions
  • Immunohistochemistry 1:20 - 1:50
  • Immunohistochemistry-Paraffin 1:20 - 1:50
  • Western Blot 0.04-0.4 ug/ml
Application Notes
For IHC-Paraffin, HIER pH 6 retrieval is recommended.
Control Peptide
FAM163A Protein (NBP1-88324PEP)
Publications
Read Publication using NBP1-88324.

Reactivity Notes

Immunogen displays the following percentage of sequence identity for non-tested species: Mouse (81%), Rat (85%)

Packaging, Storage & Formulations

Storage
Store at 4C short term. Aliquot and store at -20C long term. Avoid freeze-thaw cycles.
Buffer
PBS (pH 7.2) and 40% Glycerol
Preservative
0.02% Sodium Azide
Purity
Immunogen affinity purified

Alternate Names for FAM163A Antibody - BSA Free

  • C1orf76cebelin
  • chromosome 1 open reading frame 76
  • family with sequence similarity 163, member A
  • MGC16664
  • NDSPneuroblastoma derived secretory protein
  • Neuroblastoma-derived secretory protein
  • RP11-12M5.2

Limitations

This product is for research use only and is not approved for use in humans or in clinical diagnosis. Primary Antibodies are guaranteed for 1 year from date of receipt.

Customers Who Viewed This Item Also Viewed...

NBP2-22203
Species: Hu, Pm, Mu, Rt
Applications: ELISA, Flow, ICC/IF, IHC,  IHC-P, WB
AF1230
Species: Hu, Mu, Rt
Applications: IHC, KO, WB
NB200-109
Species: Hu, Mu
Applications: ChIP, ChIP, CyTOF-ready, Flow, GS, ICC/IF, IP, WB
AF467
Species: Hu, Mu
Applications: CyTOF-ready, Flow, ICC, IHC, Simple Western, WB
AF1347
Species: Hu, Mu, Rt
Applications: ICC, IHC, Simple Western, WB
NBP2-13304
Species: Hu
Applications: ICC/IF, IHC,  IHC-P, WB

Publications for FAM163A Antibody (NBP1-88324)(1)

Reviews for FAM163A Antibody (NBP1-88324) (0)

There are no reviews for FAM163A Antibody (NBP1-88324). By submitting a review you will receive an Amazon e-Gift Card or Novus Product Discount.
  • Review with no image -- $10/€7/£6/$10 CAD/¥70 Yuan/¥1110 Yen
  • Review with an image -- $25/€18/£15/$25 CAD/¥150 Yuan/¥2500 Yen

Product General Protocols

Find general support by application which include: protocols, troubleshooting, illustrated assays, videos and webinars.

Video Protocols

WB Video Protocol

FAQs for FAM163A Antibody (NBP1-88324) (0)

There are no specific FAQs related to this product. Read our general customer & technical service FAQs.

Customers Who Bought This Also Bought

Contact Information

Product PDFs

Calculators

Concentration Calculator

The concentration calculator allows you to quickly calculate the volume, mass or concentration of your vial. Simply enter your mass, volume, or concentration values for your reagent and the calculator will determine the rest.

=
÷

Review this Product

Be the first to review our FAM163A Antibody - BSA Free and receive a gift card or discount.

Bioinformatics

Gene Symbol FAM163A