CHCHD5 Antibody (OTI3H3) - Azide and BSA Free

Images

 
Immunocytochemistry/ Immunofluorescence: CHCHD5 Antibody (OTI3H3) - Azide and BSA Free [NBP2-72289] - Staining of COS7 cells transiently transfected by pCMV6-ENTRY CHCHD5.
Immunohistochemistry: CHCHD5 Antibody (OTI3H3) - Azide and BSA Free [NBP2-72289] - Staining of paraffin-embedded Human lymphoma tissue using anti-CHCHD5 mouse monoclonal antibody.
Flow Cytometry: CHCHD5 Antibody (OTI3H3) - Azide and BSA Free [NBP2-72289] - HEK293T cells transfected with either overexpression plasmid (Red) or empty vector control plasmid (Blue) were immunostaining by anti-CHCHD5 ...read more
Immunohistochemistry: CHCHD5 Antibody (OTI3H3) - Azide and BSA Free [NBP2-72289] - Staining of paraffin-embedded Carcinoma of Human bladder tissue using anti-CHCHD5 mouse monoclonal antibody.
Immunohistochemistry: CHCHD5 Antibody (OTI3H3) - Azide and BSA Free [NBP2-72289] - Staining of paraffin-embedded Carcinoma of Human liver tissue using anti-CHCHD5 mouse monoclonal antibody.
Immunohistochemistry: CHCHD5 Antibody (OTI3H3) - Azide and BSA Free [NBP2-72289] - Staining of paraffin-embedded Human endometrium tissue using anti-CHCHD5 mouse monoclonal antibody.
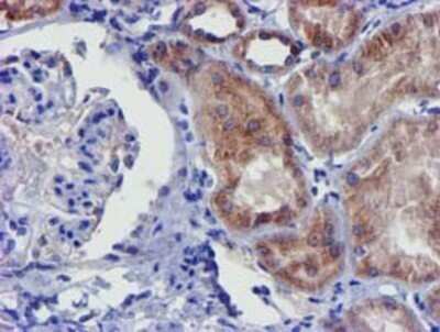
Immunohistochemistry: CHCHD5 Antibody (OTI3H3) - Azide and BSA Free [NBP2-72289] - Staining of paraffin-embedded Human Kidney tissue using anti-CHCHD5 mouse monoclonal antibody.
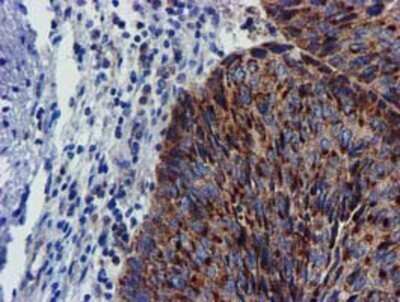
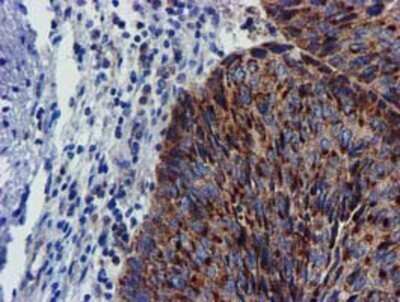
Immunohistochemistry: CHCHD5 Antibody (OTI3H3) - Azide and BSA Free [NBP2-72289] - Staining of paraffin-embedded Human tonsil using anti-CHCHD5 mouse monoclonal antibody.
Flow Cytometry: CHCHD5 Antibody (OTI3H3) - Azide and BSA Free [NBP2-72289] - HEK293T cells were transfected with the pCMV6-ENTRY control (Left lane) or pCMV6-ENTRY CHCHD5 (Right lane) cDNA for 48 hrs and lysed. ...read more

Product Details

Summary
Reactivity Hu, Mu, RtSpecies Glossary
Applications WB, Flow, ICC/IF, IHC, CyTOF-ready
Clone
OTI3H3
Clonality
Monoclonal
Host
Mouse
Conjugate
Unconjugated
Format
Azide and BSA Free
Concentration
LYOPH

Order Details

CHCHD5 Antibody (OTI3H3) - Azide and BSA Free Summary

Description
Novus Biologicals Mouse CHCHD5 Antibody (OTI3H3) - Azide and BSA Free (NBP2-03608) is a monoclonal antibody validated for use in IHC, WB, Flow and ICC/IF. All Novus Biologicals antibodies are covered by our 100% guarantee.
Immunogen
Human recombinant protein fragment corresponding to amino acids 1-110 of human CHCHD5(NP_115685) produced in E.coli.
Isotype
IgG1
Clonality
Monoclonal
Host
Mouse
Gene
CHCHD5
Purity
Immunogen affinity purified
Innovator's Reward
Test in a species/application not listed above to receive a full credit towards a future purchase.

Applications/Dilutions

Dilutions
  • CyTOF-ready
  • Flow Cytometry 1:100
  • Immunocytochemistry/ Immunofluorescence 1:100
  • Immunohistochemistry 1:150
  • Immunohistochemistry-Paraffin
  • Western Blot 1:200
Theoretical MW
12.2 kDa.
Disclaimer note: The observed molecular weight of the protein may vary from the listed predicted molecular weight due to post translational modifications, post translation cleavages, relative charges, and other experimental factors.

Reactivity Notes

Please note that this antibody is reactive to Mouse and derived from the same host, Mouse. Mouse-On-Mouse blocking reagent may be needed for IHC and ICC experiments to reduce high background signal. You can find these reagents under catalog numbers PK-2200-NB and MP-2400-NB. Please contact Technical Support if you have any questions.

Packaging, Storage & Formulations

Storage
Store at -20C. Avoid freeze-thaw cycles.
Buffer
Lyophilized from PBS (pH 7.3) with 8% Trehalose
Preservative
No Preservative
Concentration
LYOPH
Purity
Immunogen affinity purified
Reconstitution Instructions
we recommend adding 100uL distilled water to a final antibody concentration of about 1 mg/mL. To use this carrier-free antibody for conjugation experiment, we strongly recommend performing another round of desalting process.

Alternate Names for CHCHD5 Antibody (OTI3H3) - Azide and BSA Free

  • C2orf9
  • chromosome 2 open reading frame 9
  • coiled-coil-helix-coiled-coil-helix domain containing 5
  • coiled-coil-helix-coiled-coil-helix domain-containing protein 5
  • FLJ39671
  • MGC11104

Limitations

This product is for research use only and is not approved for use in humans or in clinical diagnosis. Primary Antibodies are guaranteed for 1 year from date of receipt.

Customers Who Viewed This Item Also Viewed...

NBP2-99532
Species: Hu, Mu, Rt
Applications: IHC,  IHC-P
NBP3-35859
Species: Hu, Mu, Rt
Applications: ELISA, ICC/IF, WB
MAB7940
Species: Hu
Applications: IHC, WB
NBP1-94125
Species: Hu
Applications: ICC/IF, IHC,  IHC-P, WB
AF2050
Species: Hu
Applications: IHC, WB
NBP2-72289
Species: Hu, Mu, Rt
Applications: WB, Flow, ICC/IF, IHC, CyTOF-ready

Publications for CHCHD5 Antibody (NBP2-72289) (0)

There are no publications for CHCHD5 Antibody (NBP2-72289).
By submitting your publication information earn gift cards and discounts for future purchases.

Reviews for CHCHD5 Antibody (NBP2-72289) (0)

There are no reviews for CHCHD5 Antibody (NBP2-72289). By submitting a review you will receive an Amazon e-Gift Card or Novus Product Discount.
  • Review with no image -- $10/€7/£6/$10 CAD/¥70 Yuan/¥1110 Yen
  • Review with an image -- $25/€18/£15/$25 CAD/¥150 Yuan/¥2500 Yen

Product General Protocols

Find general support by application which include: protocols, troubleshooting, illustrated assays, videos and webinars.

Video Protocols

WB Video Protocol
ICC/IF Video Protocol

FAQs for CHCHD5 Antibody (NBP2-72289) (0)

There are no specific FAQs related to this product. Read our general customer & technical service FAQs.

Customers Who Bought This Also Bought

Contact Information

Product PDFs

Calculators

Concentration Calculator

The concentration calculator allows you to quickly calculate the volume, mass or concentration of your vial. Simply enter your mass, volume, or concentration values for your reagent and the calculator will determine the rest.

=
÷

Review this Product

Be the first to review our CHCHD5 Antibody (OTI3H3) - Azide and BSA Free and receive a gift card or discount.

Bioinformatics

Gene Symbol CHCHD5