CABS1 Antibody - BSA Free

Images

 
Western Blot: CABS1 Antibody [NBP1-77091] - Human testis tissue lysate at 1 ug/mL.
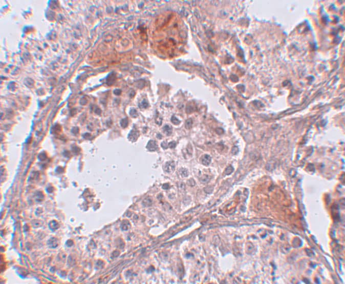
Immunohistochemistry: CABS1 Antibody - BSA Free [NBP1-77091] - Immunohistochemistry of CABS1 in human testis tissue with CABS1 antibody at 5 ug/mL.

Product Details

Summary
Reactivity Hu, RtSpecies Glossary
Applications WB, ELISA, IHC
Clonality
Polyclonal
Host
Rabbit
Conjugate
Unconjugated
Format
BSA Free
Concentration
1 mg/ml

Order Details

CABS1 Antibody - BSA Free Summary

Description
Novus Biologicals Rabbit CABS1 Antibody - BSA Free (NBP1-77091) is a polyclonal antibody validated for use in IHC, WB and ELISA. All Novus Biologicals antibodies are covered by our 100% guarantee.
Immunogen
Antibody was raised against a 15 amino acid synthetic peptide from near the carboxy terminus of human CLPH. The immunogen is located within the last 50 amino acids of CLPH. Amino Acid Squence: YKEDTSTTETDIFELLKEEPD
Isotype
IgG
Clonality
Polyclonal
Host
Rabbit
Gene
CABS1
Purity
Peptide affinity purified
Innovator's Reward
Test in a species/application not listed above to receive a full credit towards a future purchase.

Applications/Dilutions

Dilutions
  • ELISA 1:100-1:2000
  • Immunohistochemistry 5 ug/ml
  • Immunohistochemistry-Paraffin 5 ug/ml
  • Western Blot 1 ug/ml
Control Peptide
CABS1 Peptide (NBP1-77091PEP)

Packaging, Storage & Formulations

Storage
Store at 4C short term. Aliquot and store at -20C long term. Avoid freeze-thaw cycles.
Buffer
PBS
Preservative
0.02% Sodium Azide
Concentration
1 mg/ml
Purity
Peptide affinity purified

Alternate Names for CABS1 Antibody - BSA Free

  • C4orf35
  • calcium-binding protein, spermatid-specific 1
  • calcium-binding protein, sperm-specific 1
  • casein-like phosphoprotein
  • chromosome 4 open reading frame 35
  • CLPH
  • FLJ32897
  • NYD-SP26
  • Testis development protein NYD-SP26

Background

CLPH (Casein-Like phosphoprotein) is a recently discovered, evolutionarily conserved, testis-specific cytoplasmic protein expressed exclusively in postmeiotic germ cells in rat spermatogenesis. CLPH is a novel casein kinase 2-phosphorylated disordered and calcium-binding protein that displays strong variation in relative expression levels during spermatogenesis. It is frequently associated with the mitochondrial inner membrane during the last steps of spermatid differentiation and is involved in the extremely complex structural rearrangements occurring in haploid germ cells during spermiogenesis.

Limitations

This product is for research use only and is not approved for use in humans or in clinical diagnosis. Primary Antibodies are guaranteed for 1 year from date of receipt.

Customers Who Viewed This Item Also Viewed...

NBP2-69049
Species: Hu
Applications: IHC,  IHC-P
NBP1-90195
Species: Hu
Applications: IHC,  IHC-P, WB

Publications for CABS1 Antibody (NBP1-77091) (0)

There are no publications for CABS1 Antibody (NBP1-77091).
By submitting your publication information earn gift cards and discounts for future purchases.

Reviews for CABS1 Antibody (NBP1-77091) (0)

There are no reviews for CABS1 Antibody (NBP1-77091). By submitting a review you will receive an Amazon e-Gift Card or Novus Product Discount.
  • Review with no image -- $10/€7/£6/$10 CAD/¥70 Yuan/¥1110 Yen
  • Review with an image -- $25/€18/£15/$25 CAD/¥150 Yuan/¥2500 Yen

Product General Protocols

Find general support by application which include: protocols, troubleshooting, illustrated assays, videos and webinars.

Video Protocols

WB Video Protocol

FAQs for CABS1 Antibody (NBP1-77091). (Showing 1 - 1 of 1 FAQ).

  1. It says the Antibody was raised against a 15 amino acid peptide from near the carboxy terminus of human CLPH. Can you please tell me the exact sequence of the immunogen?
    • According to our inventor, this sequence is proprietary. The only information they were able to give me regarding the sequence is: The immunogen is from within the last 50 amino acids of NP_149113.

Customers Who Bought This Also Bought

Contact Information

Product PDFs

Calculators

Concentration Calculator

The concentration calculator allows you to quickly calculate the volume, mass or concentration of your vial. Simply enter your mass, volume, or concentration values for your reagent and the calculator will determine the rest.

=
÷

Review this Product

Be the first to review our CABS1 Antibody - BSA Free and receive a gift card or discount.

Bioinformatics

Gene Symbol CABS1
Uniprot