Skip to main content
Support: 1-888-506-6887
Items in Cart (
0
)
[X]
Quick Order
Account
COVID-19 Research Tools
Antibodies
Primary Antibodies
Conjugated Antibodies
Sample Size Antibodies
KO Validated Antibodies
Recombinant Antibodies
Antibody Sampler Packs
Antibody Pairs
Secondary Antibodies
Isotype Control Antibodies
Proteins and Peptides
Peptides & Proteins
Blocking Peptides
Biologically Active Proteins
Lysates and Cell Lines
Lysates
Stem Cell Lines
Kits
Antibody Labeling Kits
ChIP Kits
ELISA Kits
Flow Cytometry Kits
Activators and Inhibitors
Inhibitors
Activators
Support Products
Exosome Isolation
Flow Cytometry Beads
IHC Tissue Slides
IHC Microarrays
Western Blot Gels & Buffers
Western Blot Membranes
All Support Products
Bulk and Custom
Products
Our Protocols
Resources
Protocols
Video Protocols
Troubleshooting Guides
Posters and Literature
Handbooks and Guides
Calculators
FAQs
Blogs
Diseases
Whitepapers
Webinars
Tools
Spectra Viewer
Flow Cytometry Panel Builder
Application
ELISA
Flow Cytometry
Mass Cytometry (CyTOF)
ICC
IHC
Western Blotting
Interviews
Faculty
Postdoc
Resources
View Pathways
By Research Area
Apoptosis
Autophagy
Cancer
Cell Biology
Cellular Markers
Epigenetics
Epitope Tags
Exosomes Research
Hypoxia
Immunology
Microbiology
Neuroscience
Stem Cells
By Pathway
AKT
Apoptosis
Autophagy
ERK1/2/5 Pathway
Hedgehog
Hippo
JNK Pathway
mTOR
Necroptosis
NFKB Signaling
p38 Signaling
TGF Beta
TLR
Research Areas
Get Rewards
Customer Care
100% Guarantee
Risk Free Testing
Novus Rewards Program
Publication Rewards Program
Scholarship
Travel Grants
Customer Care
Novus Careers
About us
Careers
Collaborations
Events
Novus Story
Our Team
Philanthropy
Press Releases
Why choose Novus
About Us
Contact Us
Customer Service
Distributors
Technical Support
Contact
Home
» CABS1 Products
CABS1 Products
CABS1 Antibodies (6)
CABS1 Lysate (1)
CABS1 Proteins (4)
Antibodies
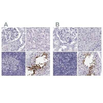
CABS1 Antibody - BSA Free
CABS1 Antibody - BSA Free
NBP2-33750
Species:
Hu
Applications:
IHC
Host:
Rabbit Polyclonal
Formulations
Formulation
Catalog #
Availability
Price
BSA Free
NBP2-33750-25ul
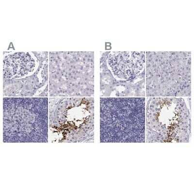
CABS1 Antibody - BSA Free
CABS1 Antibody - BSA Free
NBP1-91743
Species:
Hu
Applications:
IHC
Host:
Rabbit Polyclonal
Formulations
Formulation
Catalog #
Availability
Price
BSA Free
NBP1-91743-25ul
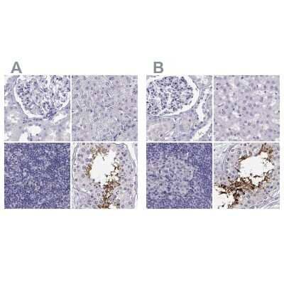
CABS1 Antibody - BSA Free
CABS1 Antibody - BSA Free
NBP1-77091
Species:
Hu, Rt
Applications:
WB, ELISA, IHC
Host:
Rabbit Polyclonal
Conjugates
Conjugate
Catalog #
Availability
Size
Price
Alexa Fluor 350
NBP1-77091AF350
Alexa Fluor 405
NBP1-77091AF405
Alexa Fluor 488
NBP1-77091AF488
Alexa Fluor 532
NBP1-77091AF532
Alexa Fluor 594
NBP1-77091AF594
Alexa Fluor 647
NBP1-77091AF647
Alexa Fluor 700
NBP1-77091AF700
Alexa Fluor 750
NBP1-77091AF750
Alexa Fluor Plus 488
NBP1-77091AFP488
Alexa Fluor Plus 555
NBP1-77091AFP555
Alexa Fluor Plus 594
NBP1-77091AFP594
Alexa Fluor Plus 647
NBP1-77091AFP647
Alexa Fluor Plus 680
NBP1-77091AFP680
Allophycocyanin
NBP1-77091APC
Biotin
NBP1-77091B
CoraFluor 1
NBP1-77091CL1
DyLight 350
NBP1-77091UV
DyLight 405
NBP1-77091V
DyLight 488
NBP1-77091G
DyLight 550
NBP1-77091R
DyLight 594
NBP1-77091DL594
DyLight 650
NBP1-77091C
DyLight 680
NBP1-77091FR
DyLight 755
NBP1-77091IR
FITC
NBP1-77091F
HRP
NBP1-77091H
Janelia Fluor 525
NBP1-77091JF525
Janelia Fluor 549
NBP1-77091JF549
Janelia Fluor 646
NBP1-77091JF646
Janelia Fluor 669
NBP1-77091JF669
PE
NBP1-77091PE
PerCP
NBP1-77091PCP
mFluor Violet 450 SE
NBP1-77091MFV450
mFluor Violet 500 SE
NBP1-77091MFV500
mFluor Violet 610 SE
NBP1-77091MFV610
Formulations
Formulation
Catalog #
Availability
Price
BSA Free
NBP1-77091-0.025mg
Read More
Read More
Read More
We have 6 CABS1 Antibodies
Lysates
CABS1 Overexpression Lysate
CABS1 Overexpression Lysate
NBL1-08476
Species:
Hu
Applications:
WB
Read More
We have 1 CABS1 Lysate
Proteins
Recombinant Human CABS1 GST ( ...
Recombinant Human CABS1 GST (N-Ter...
H00085438-P01
Species:
Hu
Applications:
WB, ELISA, MA, PAGE, AP
CABS1 Recombinant Protein Ant ...
CABS1 Recombinant Protein Antigen
NBP1-91743PEP
Species:
Hu
Applications:
AC
CABS1 Recombinant Protein Ant ...
CABS1 Recombinant Protein Antigen
NBP2-33750PEP
Species:
Hu
Applications:
AC
Read More
Read More
Read More
We have 4 CABS1 Proteins
Bioinformatics
Entrez
85438
Human
Uniprot
AAH46111.1
Human
NM_033122
Human
NP_149113
Human
Product By Gene ID
85438
Alternate Names
C4orf35
calcium-binding protein, spermatid-specific 1
calcium-binding protein, sperm-specific 1
casein-like phosphoprotein
chromosome 4 open reading frame 35
CLPH
FLJ32897
NYD-SP26
Testis development protein NYD-SP26
Need help?
×
How can we help you?
Close
Start Chat