ASB-14 Antibody - BSA Free

Images

 
Western Blot: ASB-14 Antibody - BSA Free [NBP3-47942] - Mouse spleen tissue were subjected to SDS PAGE followed by western blot with (ASB-14 Antibody) at dilution of 1:600
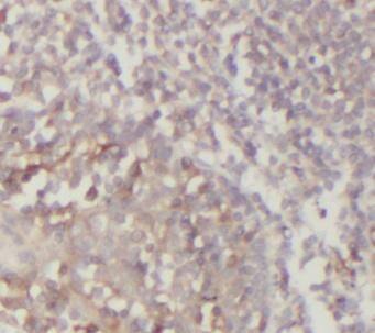
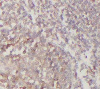
Immunohistochemistry: ASB-14 Antibody - BSA Free [NBP3-47942] - Immunohistochemistry of paraffin-embedded human tonsillitis tissue slide using (ASB-14 Antibody) at dilution of 1:50

Product Details

Summary
Reactivity Hu, MuSpecies Glossary
Applications WB, ELISA, IHC
Clonality
Polyclonal
Host
Rabbit
Conjugate
Unconjugated
Format
BSA Free

Order Details

ASB-14 Antibody - BSA Free Summary

Immunogen
ankyrin repeat and SOCS box-containing 14. (Uniprot# A6NK59)
Isotype
IgG
Clonality
Polyclonal
Host
Rabbit
Gene
ASB14
Purity
Immunogen affinity purified
Innovator's Reward
Test in a species/application not listed above to receive a full credit towards a future purchase.

Applications/Dilutions

Dilutions
  • ELISA
  • Immunohistochemistry 1:20-1:200
  • Western Blot 1:500-1:1000
Theoretical MW
65 kDa.
Disclaimer note: The observed molecular weight of the protein may vary from the listed predicted molecular weight due to post translational modifications, post translation cleavages, relative charges, and other experimental factors.

Packaging, Storage & Formulations

Storage
Store at -20C. Avoid freeze-thaw cycles.
Buffer
PBS, 50% Glycerol, pH (7.3)
Preservative
0.02% Sodium Azide
Purity
Immunogen affinity purified

Alternate Names for ASB-14 Antibody - BSA Free

  • ASB14
  • Asb-14

Limitations

This product is for research use only and is not approved for use in humans or in clinical diagnosis. Primary Antibodies are guaranteed for 1 year from date of receipt.

Customers Who Viewed This Item Also Viewed...

NBP2-46622
Species: Hu, Rt
Applications: ICC/IF, IHC,  IHC-P, WB
NBP2-42388
Species: Hu
Applications: ICC/IF, IHC,  IHC-P, KD, WB
MAB21441
Species: Hu
Applications: ICC, IHC, IP, ICFlow, WB

Publications for ASB-14 Antibody (NBP3-47942) (0)

There are no publications for ASB-14 Antibody (NBP3-47942).
By submitting your publication information earn gift cards and discounts for future purchases.

Reviews for ASB-14 Antibody (NBP3-47942) (0)

There are no reviews for ASB-14 Antibody (NBP3-47942). By submitting a review you will receive an Amazon e-Gift Card or Novus Product Discount.
  • Review with no image -- $10/€7/£6/$10 CAD/¥70 Yuan/¥1110 Yen
  • Review with an image -- $25/€18/£15/$25 CAD/¥150 Yuan/¥2500 Yen

Product General Protocols

Find general support by application which include: protocols, troubleshooting, illustrated assays, videos and webinars.

Video Protocols

WB Video Protocol

FAQs for ASB-14 Antibody (NBP3-47942) (0)

There are no specific FAQs related to this product. Read our general customer & technical service FAQs.

Customers Who Bought This Also Bought

Contact Information

Product PDFs

Calculators

Concentration Calculator

The concentration calculator allows you to quickly calculate the volume, mass or concentration of your vial. Simply enter your mass, volume, or concentration values for your reagent and the calculator will determine the rest.

=
÷

Review this Product

Be the first to review our ASB-14 Antibody - BSA Free and receive a gift card or discount.

Bioinformatics

Gene Symbol ASB14