Uroplakin IIIB Products

Antibodies
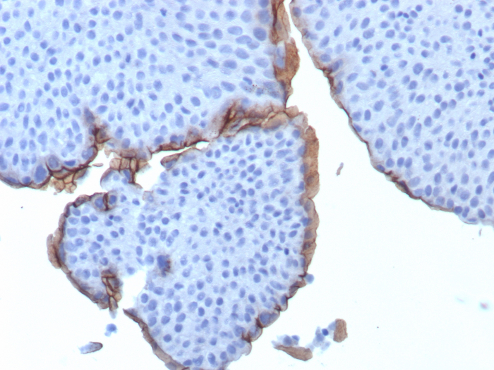
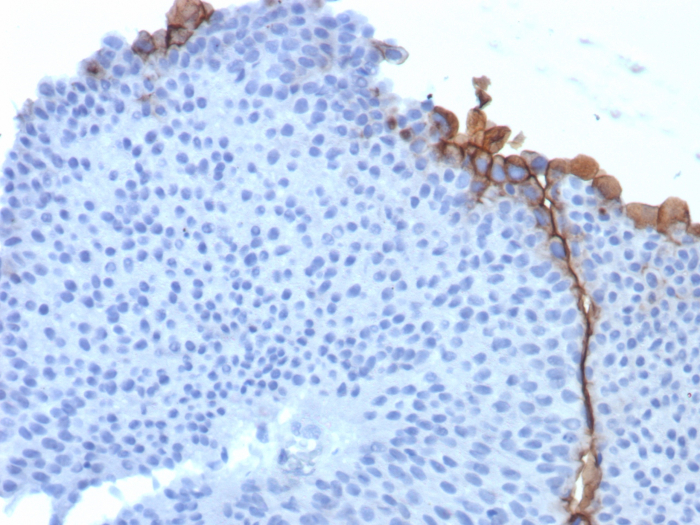
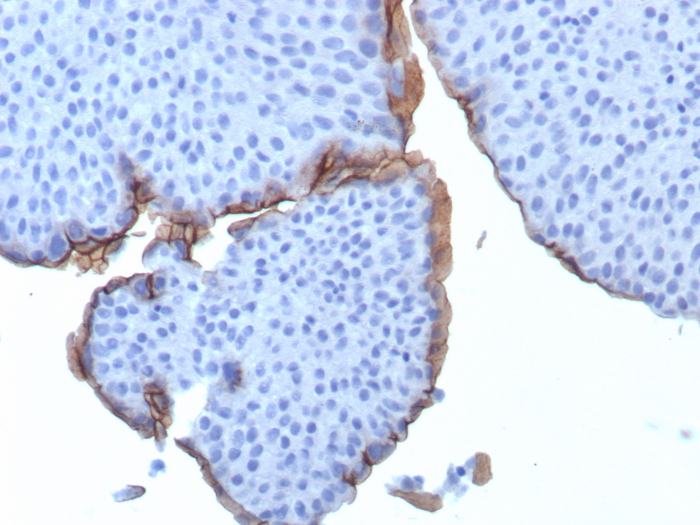
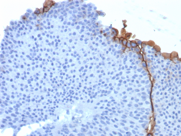
Uroplakin IIIB Antibody - BSA ...
Uroplakin IIIB Antibody - BSA Free
NBP1-92564
Species: Hu
Applications: ICC/IF, IHC
Host: Rabbit Polyclonal
Formulation Catalog # Availability Price  
Proteins
Uroplakin IIIB Recombinant Pr ...
Uroplakin IIIB Recombinant Protein...
NBP1-92564PEP
Species: Hu
Applications: AC

Description

UPK3B is a minor component of the apical plaques of mammalian urothelium that binds and dimerizes with uroplakin-1b (UPK1B; MIM 602380), one of the major conserved urothelium membrane proteins. The other major conserved integral membrane proteins of urothelial plaques are UPK1A (MIM 611557), UPK2 (MIM 611558), and UPK3A (MIM 611559) (Deng et al., 2002 [PubMed 12446744]).[supplied by OMIM]

Bioinformatics

Entrez Human
Uniprot Human
Human
Product By Gene ID 105375355
Alternate Names
  • FLJ32198
  • MGC10902
  • p35
  • UP3b
  • UPIIIB
  • UPIIIbP35
  • uroplakin 3B
  • Uroplakin IIIb
  • uroplakin-3b