TYSND1 Antibody - BSA Free

Images

 
Western Blot: TYSND1 Antibody [NBP1-93484] - Lane 1: NIH-3T3 cell lysate (Mouse embryonic fibroblast cells), Lane 2: NBT-II cell lysate (Rat Wistar bladder tumour cells)
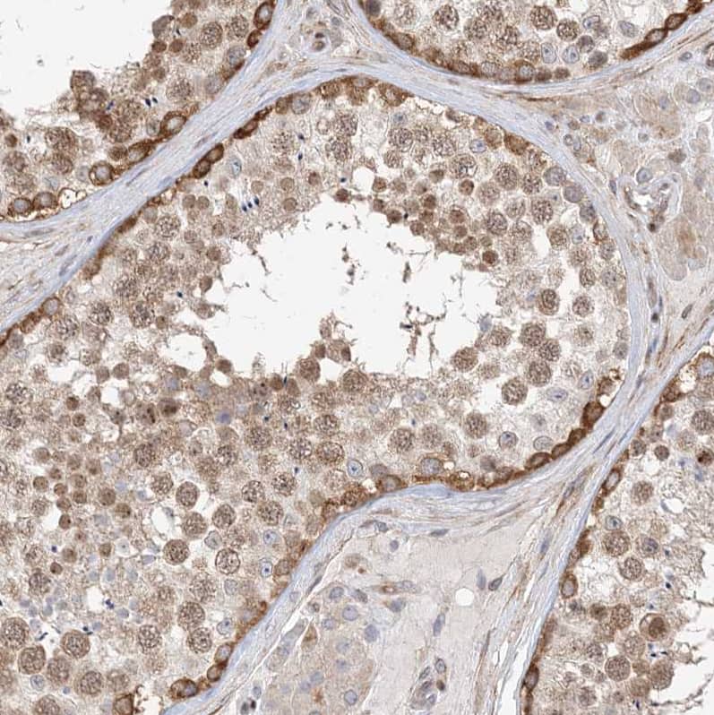
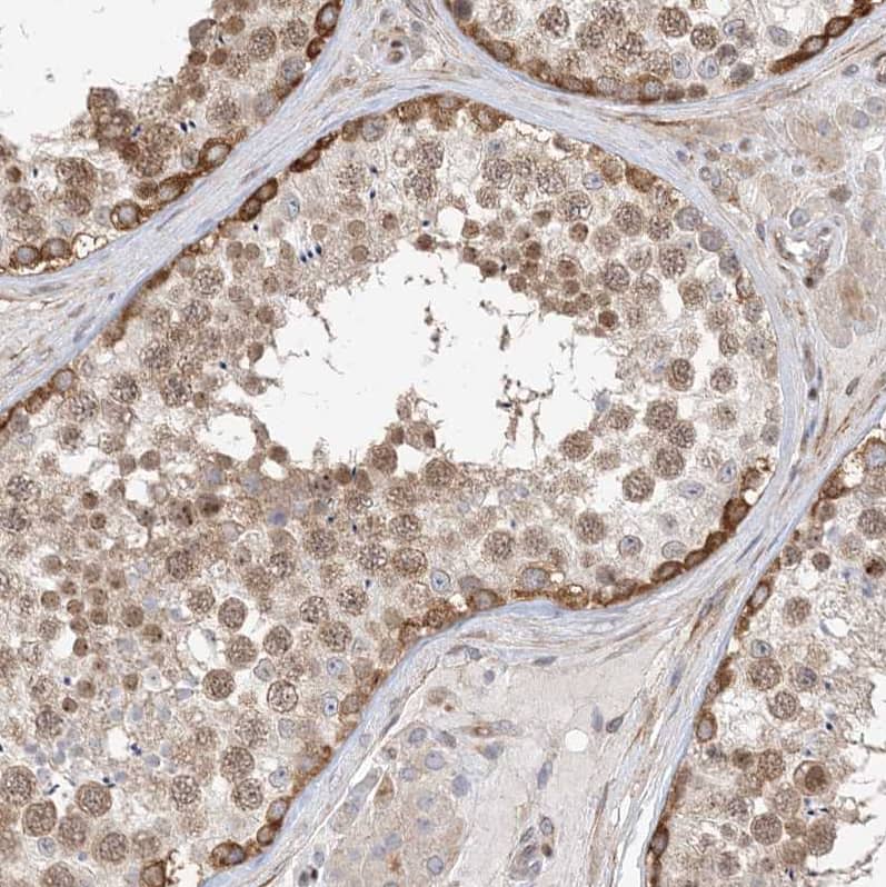
Immunohistochemistry-Paraffin: TYSND1 Antibody [NBP1-93484] - Staining of human testis shows cytoplasmic positivity in cells in seminiferous ducts.
Western Blot: TYSND1 Antibody [NBP1-93484] - Lane 1: Marker [kDa] 230, 130, 95, 72, 56, 36, 28, 17, 11. Lane 2: Human cell line RT-4. Lane 3: Human cell line U-251MG sp
Staining of human kidney shows moderate granular cytoplasmic positivity in cells in tubules.
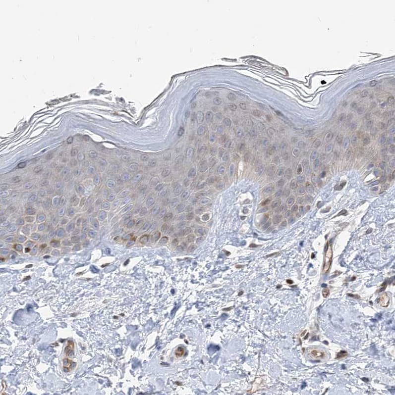
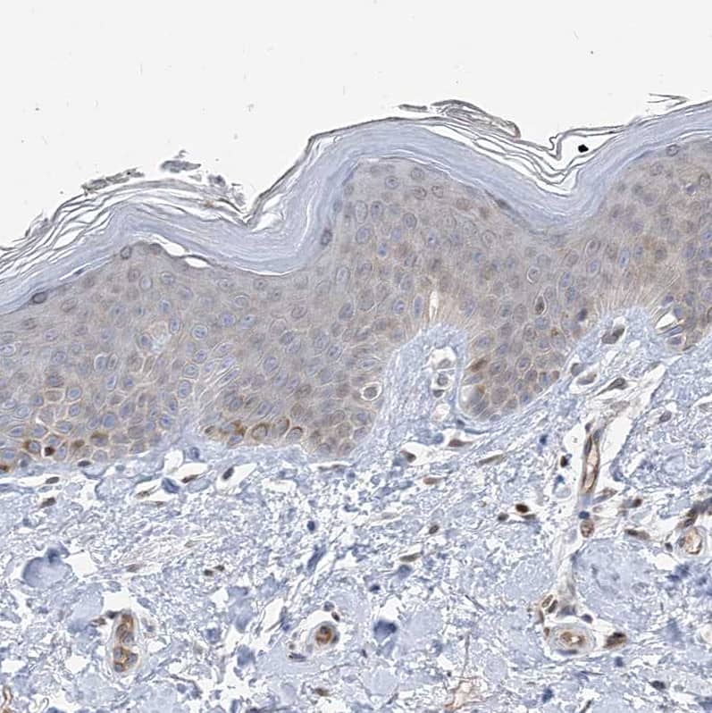
Staining of human skin shows weak cytoplasmic positivity in squamous epithelial cells.
Staining of human testis shows moderate granular cytoplasmic positivity in cells in seminiferous ducts.
Analysis in mouse cell line NIH-3T3 and rat cell line NBT-II.
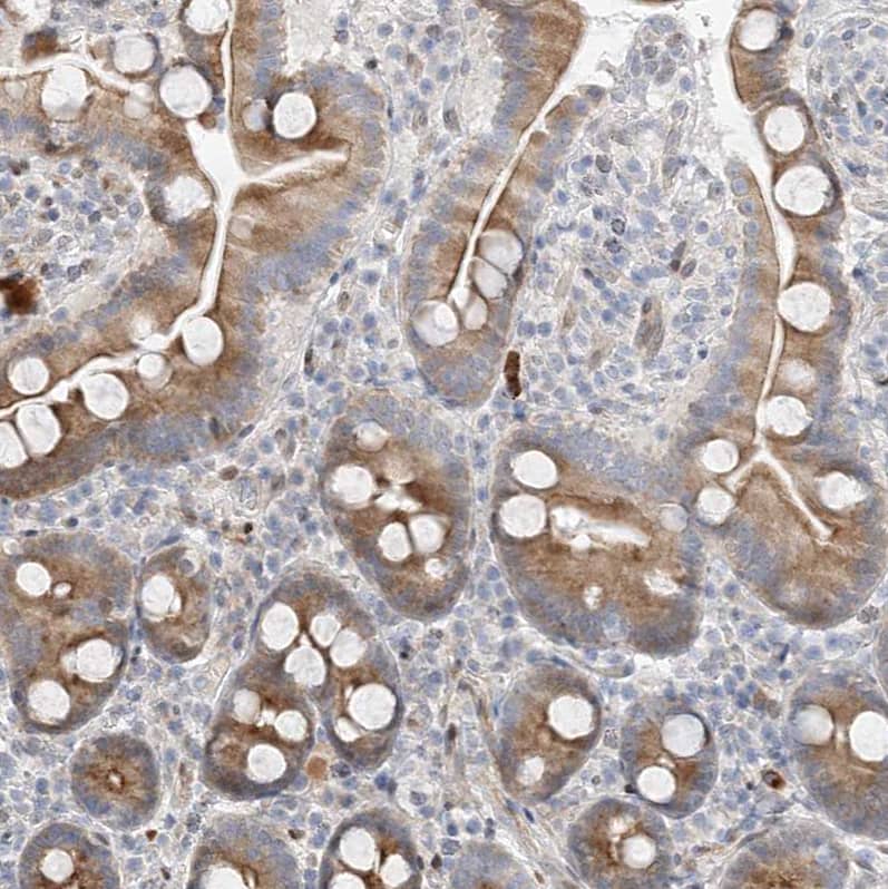
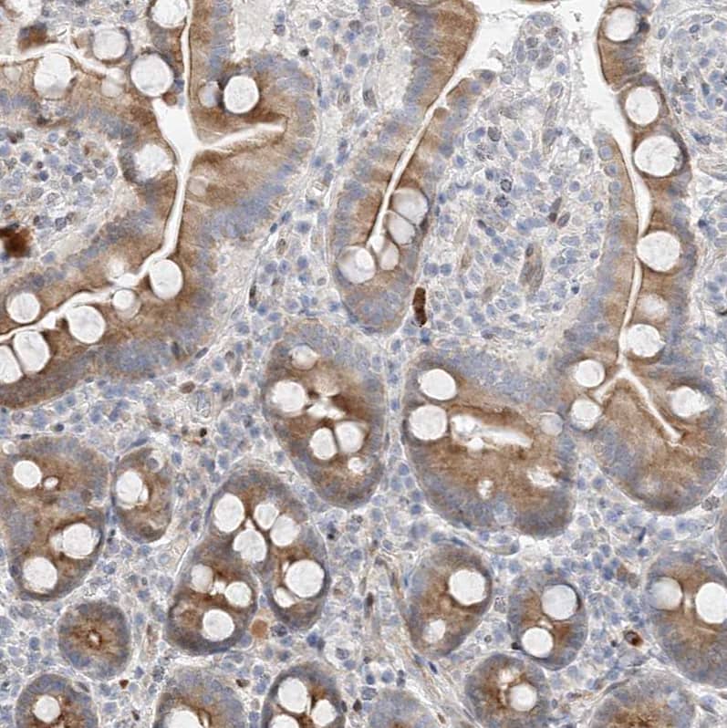
Staining of human duodenum shows moderate cytoplasmic positivity in glandular cells.

Product Details

Summary
Reactivity Hu, RtSpecies Glossary
Applications WB, IHC
Clonality
Polyclonal
Host
Rabbit
Conjugate
Unconjugated
Format
BSA Free

Order Details

View Available Formulations
Catalog# & Formulation Size Price

TYSND1 Antibody - BSA Free Summary

Description
Novus Biologicals Rabbit TYSND1 Antibody - BSA Free (NBP1-93484) is a polyclonal antibody validated for use in IHC and WB. All Novus Biologicals antibodies are covered by our 100% guarantee.
Immunogen
This antibody was developed against Recombinant Protein corresponding to amino acids: ATQETCPYDIAVVSLEEDLDDVPIPVPAEHFHEGEAVSVVGFGVFGQSCGPSVTSGILSAVVQVNGTPVMLQTTCAV
Isotype
IgG
Clonality
Polyclonal
Host
Rabbit
Gene
TYSND1
Purity
Immunogen affinity purified
Innovator's Reward
Test in a species/application not listed above to receive a full credit towards a future purchase.

Applications/Dilutions

Dilutions
  • Immunohistochemistry 1:50 - 1:200
  • Immunohistochemistry-Paraffin 1:50 - 1:200
  • Western Blot 0.04 - 0.4 ug/ml
Application Notes
For IHC-Paraffin, HIER pH 6 retrieval is recommended.
Control Peptide
TYSND1 Protein (NBP1-93484PEP)

Reactivity Notes

Immunogen displays the following percentage of sequence identity for non-tested species: Mouse (86%), Rat (86%)

Packaging, Storage & Formulations

Storage
Store at 4C short term. Aliquot and store at -20C long term. Avoid freeze-thaw cycles.
Buffer
PBS (pH 7.2) and 40% Glycerol
Preservative
0.02% Sodium Azide
Purity
Immunogen affinity purified

Alternate Names for TYSND1 Antibody - BSA Free

  • MGC131934
  • trypsin domain containing 1

Limitations

This product is for research use only and is not approved for use in humans or in clinical diagnosis. Primary Antibodies are guaranteed for 1 year from date of receipt.

Customers Who Viewed This Item Also Viewed...

NBP1-57578
Species: Hu
Applications: WB
NBP1-93484
Species: Hu, Rt
Applications: WB, IHC

Publications for TYSND1 Antibody (NBP1-93484) (0)

There are no publications for TYSND1 Antibody (NBP1-93484).
By submitting your publication information earn gift cards and discounts for future purchases.

Reviews for TYSND1 Antibody (NBP1-93484) (0)

There are no reviews for TYSND1 Antibody (NBP1-93484). By submitting a review you will receive an Amazon e-Gift Card or Novus Product Discount.
  • Review with no image -- $10/€7/£6/$10 CAD/¥70 Yuan/¥1110 Yen
  • Review with an image -- $25/€18/£15/$25 CAD/¥150 Yuan/¥2500 Yen

Product General Protocols

Find general support by application which include: protocols, troubleshooting, illustrated assays, videos and webinars.

Video Protocols

WB Video Protocol

FAQs for TYSND1 Antibody (NBP1-93484) (0)

There are no specific FAQs related to this product. Read our general customer & technical service FAQs.

Customers Who Bought This Also Bought

Contact Information

Product PDFs

Calculators

Concentration Calculator

The concentration calculator allows you to quickly calculate the volume, mass or concentration of your vial. Simply enter your mass, volume, or concentration values for your reagent and the calculator will determine the rest.

=
÷

Review this Product

Be the first to review our TYSND1 Antibody - BSA Free and receive a gift card or discount.

Bioinformatics

Gene Symbol TYSND1