TMEM258 Antibody - BSA Free

Images

 
Immunocytochemistry/ Immunofluorescence: TMEM258 Antibody [NBP1-91711] - Staining of human cell line A-431 shows positivity in plasma membrane and cytoplasm.
Immunohistochemistry-Paraffin: TMEM258 Antibody [NBP1-91711] - Staining of human bone marrow shows moderate cytoplasmic positivity in hematopoietic cells.
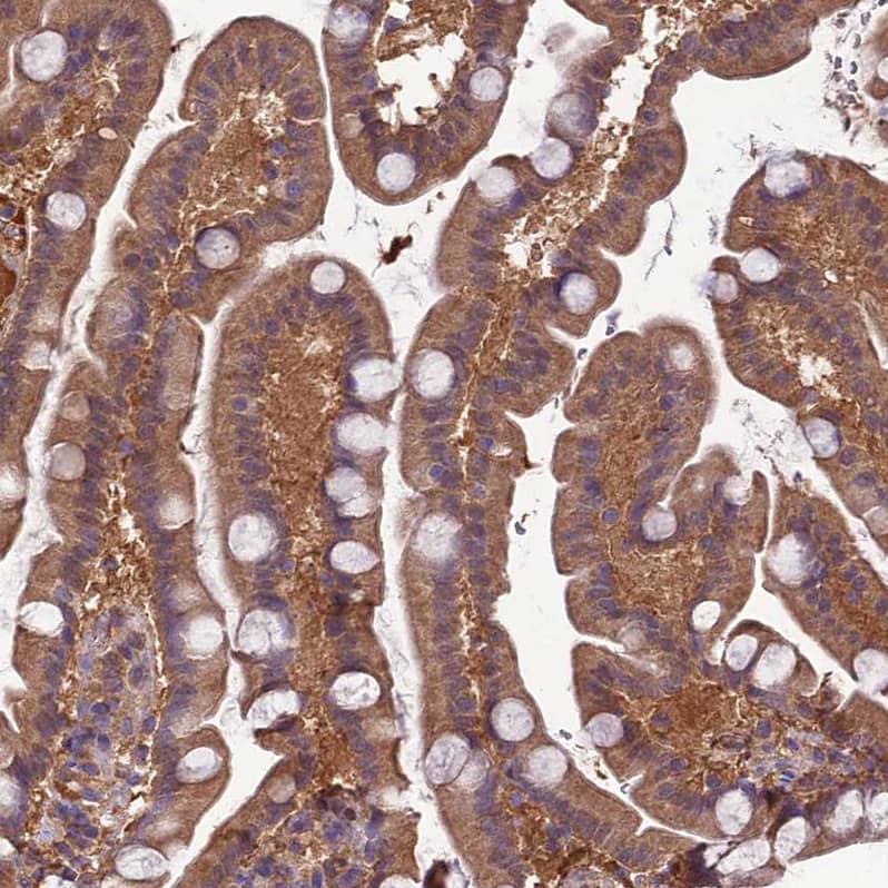
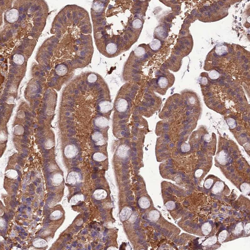
Staining of human Small intestine shows moderate granular cytoplasmic positivity in glandular cells.
Staining of human Cerebral cortex shows moderate granular cytoplasmic positivity in neuronal cells.
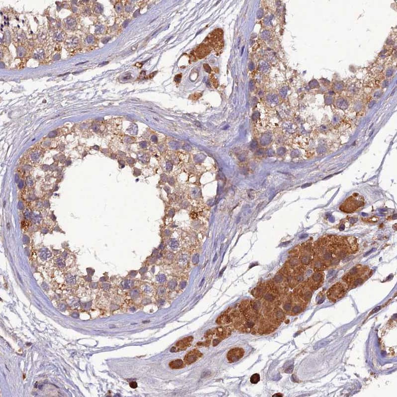
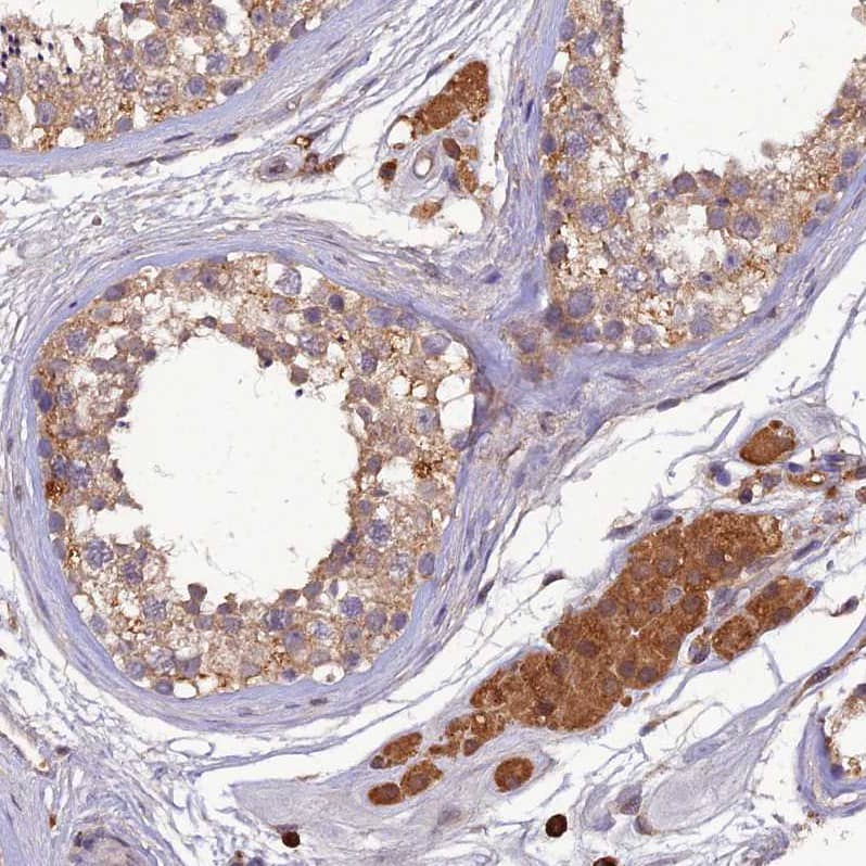
Staining of human Testis shows strong granular cytoplasmic positivity in Leydig cells.
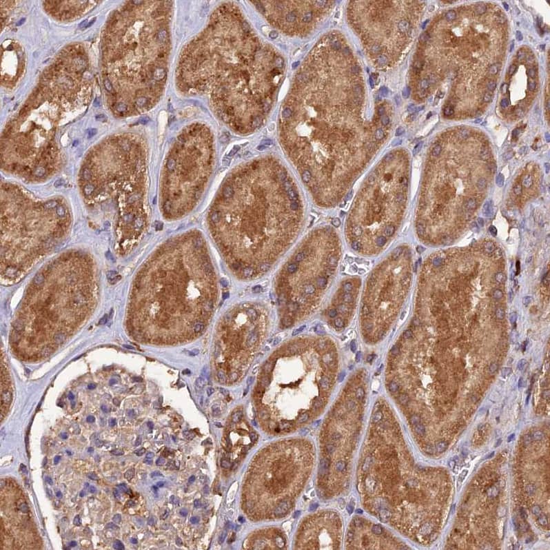
Staining of human Kidney shows moderate granular cytoplasmic positivity in cells in tubules.

Product Details

Summary
Reactivity Hu, Mu, RtSpecies Glossary
Applications ICC/IF, IHC
Clonality
Polyclonal
Host
Rabbit
Conjugate
Unconjugated
Format
BSA Free

Order Details

View Available Formulations
Catalog# & Formulation Size Price

TMEM258 Antibody - BSA Free Summary

Description
Novus Biologicals Rabbit TMEM258 Antibody - BSA Free (NBP1-91711) is a polyclonal antibody validated for use in IHC and ICC/IF. Anti-TMEM258 Antibody: Cited in 1 publication. All Novus Biologicals antibodies are covered by our 100% guarantee.
Immunogen
This antibody was developed against Recombinant Protein corresponding to amino acids: MELEAMSRYTSPVNPAVFPHLTVVL
Predicted Species
Mouse (100%), Rat (100%). Backed by our 100% Guarantee.
Isotype
IgG
Clonality
Polyclonal
Host
Rabbit
Gene
TMEM258
Purity
Immunogen affinity purified
Innovator's Reward
Test in a species/application not listed above to receive a full credit towards a future purchase.

Applications/Dilutions

Dilutions
  • Immunocytochemistry/ Immunofluorescence 0.25-2 ug/ml
  • Immunohistochemistry 1:200 - 1:500
  • Immunohistochemistry-Paraffin 1:200 - 1:500
Application Notes
For IHC-Paraffin, HIER pH 6 retrieval is recommended. ICC/IF Fixation Permeabilization: Use PFA/Triton X-100.
Control Peptide
TMEM258 Recombinant Protein Antigen (NBP1-91711PEP)
Publications
Read Publication using NBP1-91711.

Packaging, Storage & Formulations

Storage
Store at 4C short term. Aliquot and store at -20C long term. Avoid freeze-thaw cycles.
Buffer
PBS (pH 7.2) and 40% Glycerol
Preservative
0.02% Sodium Azide
Purity
Immunogen affinity purified

Alternate Names for TMEM258 Antibody - BSA Free

  • C11orf10
  • chromosome 11 open reading frame 10
  • protein NEF1

Limitations

This product is for research use only and is not approved for use in humans or in clinical diagnosis. Primary Antibodies are guaranteed for 1 year from date of receipt.

Customers Who Viewed This Item Also Viewed...

NB100-150
Species: Hu, Mu
Applications: ChIP, ICC/IF, IP, Simple Western, WB
NBP1-91711
Species: Hu, Mu, Rt
Applications: ICC/IF, IHC

Publications for TMEM258 Antibody (NBP1-91711)(1)

Reviews for TMEM258 Antibody (NBP1-91711) (0)

There are no reviews for TMEM258 Antibody (NBP1-91711). By submitting a review you will receive an Amazon e-Gift Card or Novus Product Discount.
  • Review with no image -- $10/€7/£6/$10 CAD/¥70 Yuan/¥1110 Yen
  • Review with an image -- $25/€18/£15/$25 CAD/¥150 Yuan/¥2500 Yen

Product General Protocols

Find general support by application which include: protocols, troubleshooting, illustrated assays, videos and webinars.

Video Protocols

ICC/IF Video Protocol

FAQs for TMEM258 Antibody (NBP1-91711) (0)

There are no specific FAQs related to this product. Read our general customer & technical service FAQs.

Customers Who Bought This Also Bought

Contact Information

Product PDFs

Calculators

Concentration Calculator

The concentration calculator allows you to quickly calculate the volume, mass or concentration of your vial. Simply enter your mass, volume, or concentration values for your reagent and the calculator will determine the rest.

=
÷

Review this Product

Be the first to review our TMEM258 Antibody - BSA Free and receive a gift card or discount.

Bioinformatics

Gene Symbol TMEM258