SLC35E1 Antibody - BSA Free

Images

 
Western Blot: SLC35E1 Antibody [NBP1-94009] - Lane 1: Marker [kDa] 230, 130, 95, 72, 56, 36, 28, 17, 11. Lane 2: Human cell line RT-4. Lane 3: Human cell line U-251MG sp. Lane 4: Human plasma (IgG/HSA depleted). ...read more
Immunocytochemistry/ Immunofluorescence: SLC35E1 Antibody [NBP1-94009] - Immunofluorescent staining of human cell line A-431 shows localization to the Golgi apparatus.
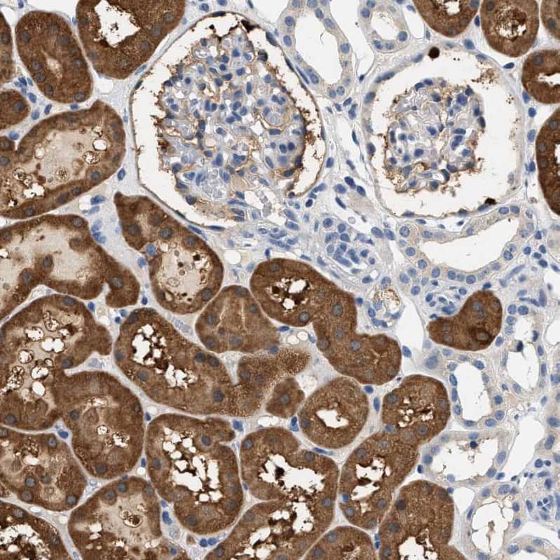
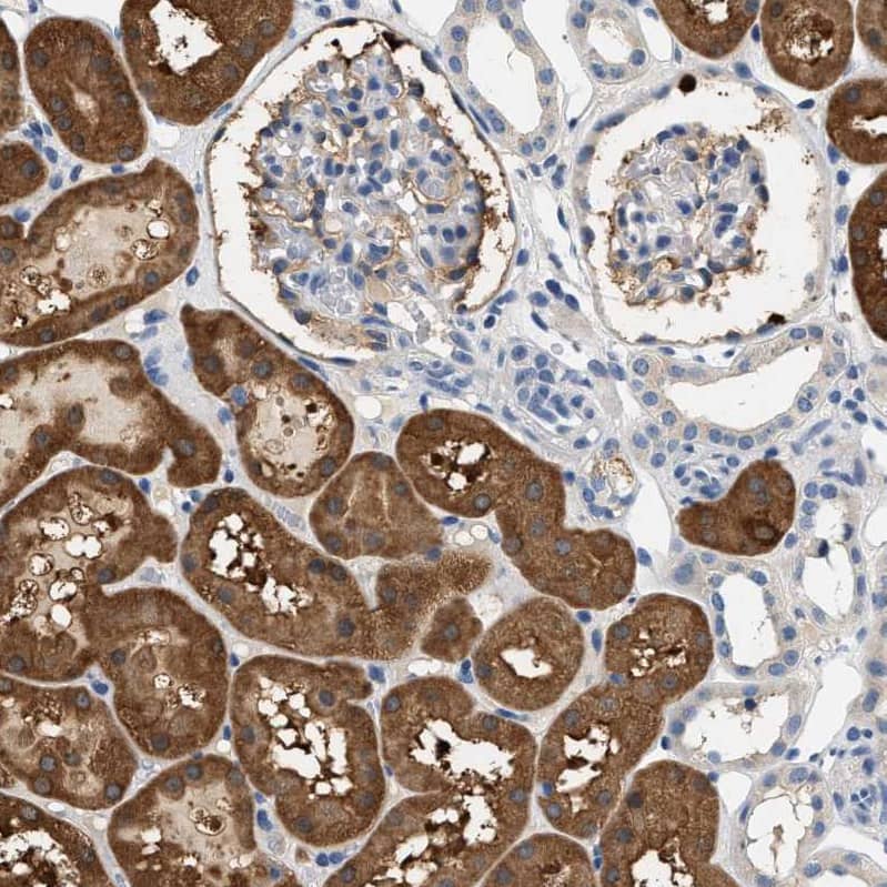
Immunohistochemistry-Paraffin: SLC35E1 Antibody [NBP1-94009] - Staining of human kidney shows cytoplasmic positivity in cells in tubules.
Analysis in human cell line PC-3.
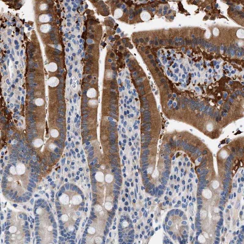
Staining of human duodenum shows moderate to strong cytoplasmic positivity in glandular cells.
Staining of human kidney shows strong cytoplasmic positivity in cells in proximal tubules.
Staining of human liver shows moderate cytoplasmic positivity in hepatocytes.
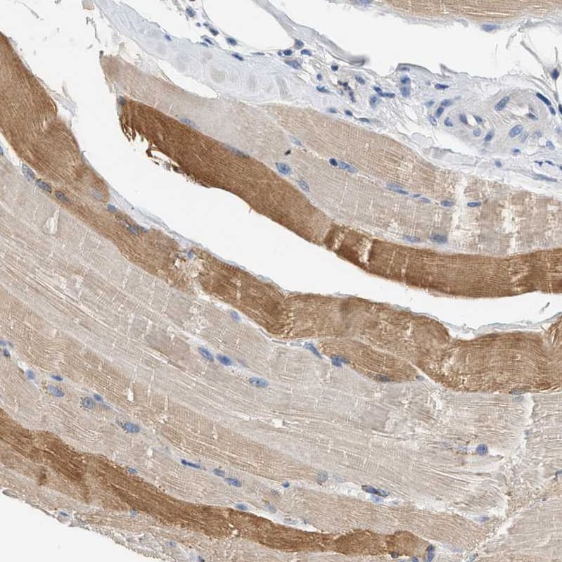
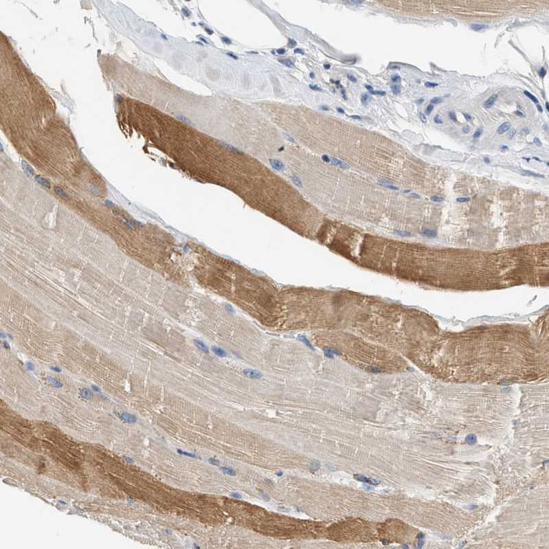
Staining of human skeletal muscle shows weak to moderate cytoplasmic positivity in myocytes.

Product Details

Summary
Reactivity HuSpecies Glossary
Applications WB, ICC/IF, IHC
Clonality
Polyclonal
Host
Rabbit
Conjugate
Unconjugated
Format
BSA Free

Order Details

View Available Formulations
Catalog# & Formulation Size Price

SLC35E1 Antibody - BSA Free Summary

Description
Novus Biologicals Rabbit SLC35E1 Antibody - BSA Free (NBP1-94009) is a polyclonal antibody validated for use in IHC, WB and ICC/IF. All Novus Biologicals antibodies are covered by our 100% guarantee.
Immunogen
This antibody was developed against Recombinant Protein corresponding to amino acids: NKTKYDANQQARKHLLPVTTADLSSKERHRSPLEKPHNGLLFPQHGDYQYGRNNILTDHFQYSRQSYPNSYSLNRYDV
Isotype
IgG
Clonality
Polyclonal
Host
Rabbit
Gene
SLC35E1
Purity
Immunogen affinity purified
Innovator's Reward
Test in a species/application not listed above to receive a full credit towards a future purchase.

Applications/Dilutions

Dilutions
  • Immunocytochemistry/ Immunofluorescence 0.25-2 ug/ml
  • Immunohistochemistry 1:200 - 1:500
  • Immunohistochemistry-Paraffin 1:200 - 1:500
  • Western Blot 0.04-0.4 ug/ml
Application Notes
For IHC-Paraffin, HIER pH 6 retrieval is recommended. Immunocytochemistry/Immunofluorescence Fixation Permeabilization: Use PFA/Triton X-100.
Control Peptide
SLC35E1 Protein (NBP1-94009PEP)

Packaging, Storage & Formulations

Storage
Store at 4C short term. Aliquot and store at -20C long term. Avoid freeze-thaw cycles.
Buffer
PBS (pH 7.2) and 40% Glycerol
Preservative
0.02% Sodium Azide
Purity
Immunogen affinity purified

Alternate Names for SLC35E1 Antibody - BSA Free

  • FLJ14251
  • FLJ36689
  • solute carrier family 35 member E1
  • solute carrier family 35, member E1

Limitations

This product is for research use only and is not approved for use in humans or in clinical diagnosis. Primary Antibodies are guaranteed for 1 year from date of receipt.

Customers Who Viewed This Item Also Viewed...

NB100-56565
Species: Hu, Mu, Rt
Applications: ICC/IF, IHC, IHC-Fr,  IHC-P, Simple Western, WB
NBP2-14951
Species: Hu, Mu, Rt
Applications: ChIP, ICC/IF, IHC,  IHC-P, IP, WB

Publications for SLC35E1 Antibody (NBP1-94009) (0)

There are no publications for SLC35E1 Antibody (NBP1-94009).
By submitting your publication information earn gift cards and discounts for future purchases.

Reviews for SLC35E1 Antibody (NBP1-94009) (0)

There are no reviews for SLC35E1 Antibody (NBP1-94009). By submitting a review you will receive an Amazon e-Gift Card or Novus Product Discount.
  • Review with no image -- $10/€7/£6/$10 CAD/¥70 Yuan/¥1110 Yen
  • Review with an image -- $25/€18/£15/$25 CAD/¥150 Yuan/¥2500 Yen

Product General Protocols

Find general support by application which include: protocols, troubleshooting, illustrated assays, videos and webinars.

Video Protocols

WB Video Protocol
ICC/IF Video Protocol

FAQs for SLC35E1 Antibody (NBP1-94009) (0)

There are no specific FAQs related to this product. Read our general customer & technical service FAQs.

Customers Who Bought This Also Bought

Contact Information

Product PDFs

Calculators

Concentration Calculator

The concentration calculator allows you to quickly calculate the volume, mass or concentration of your vial. Simply enter your mass, volume, or concentration values for your reagent and the calculator will determine the rest.

=
÷

Review this Product

Be the first to review our SLC35E1 Antibody - BSA Free and receive a gift card or discount.

Bioinformatics

Gene Symbol SLC35E1