NCKAP5L Antibody - BSA Free

Images

 
Immunocytochemistry/ Immunofluorescence: NCKAP5L Antibody [NBP1-93583] - Immunofluorescent staining of human cell line U-251 MG shows localization to the Golgi apparatus.
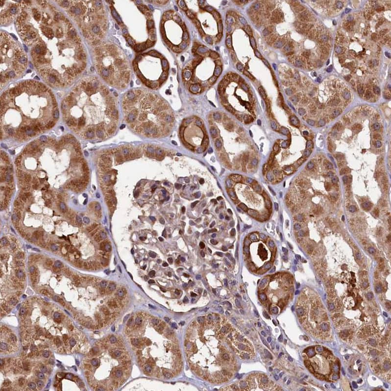
Immunohistochemistry-Paraffin: NCKAP5L Antibody [NBP1-93583] - Staining of human kidney shows strong cytoplasmic positivity in cells of tubules.
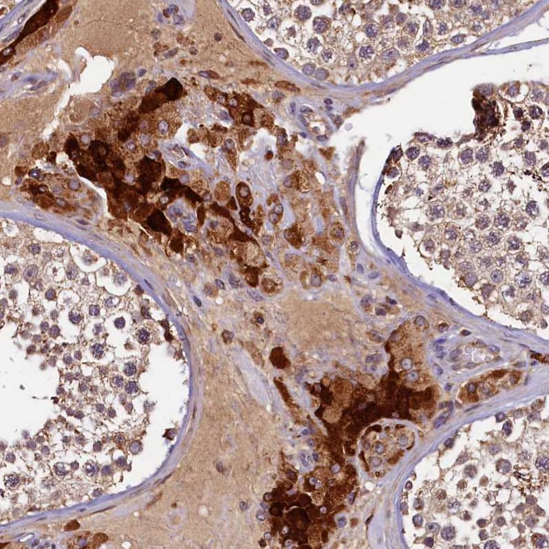
Staining of human testis shows strong cytoplasmic positivity in Leydig cells.
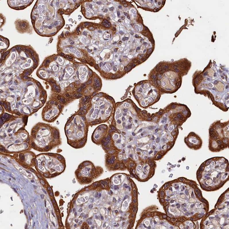
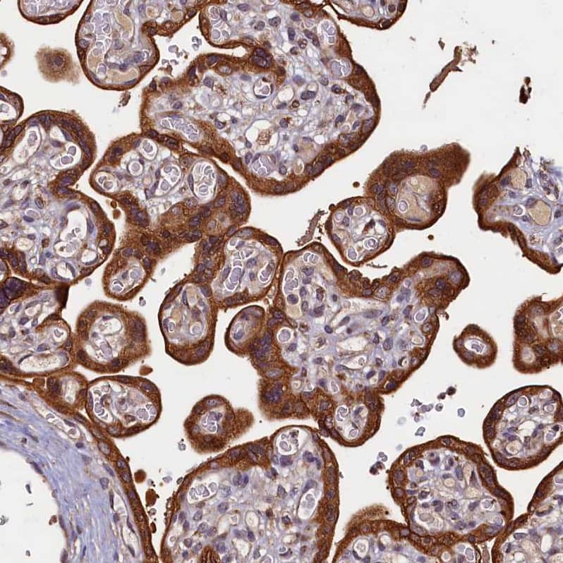
Staining of human placenta shows strong cytoplasmic positivity in trophoblastic cells.
Staining of human skeletal muscle shows strong cytoplasmic positivity in myocytes.
Staining of human kidney shows strong cytoplasmic positivity in cells in tubules.

Product Details

Summary
Reactivity Hu, Mu, RtSpecies Glossary
Applications ICC/IF, IHC
Clonality
Polyclonal
Host
Rabbit
Conjugate
Unconjugated
Format
BSA Free

Order Details

View Available Formulations
Catalog# & Formulation Size Price

NCKAP5L Antibody - BSA Free Summary

Description
Novus Biologicals Rabbit NCKAP5L Antibody - BSA Free (NBP1-93583) is a polyclonal antibody validated for use in IHC and ICC/IF. All Novus Biologicals antibodies are covered by our 100% guarantee.
Immunogen
This antibody was developed against Recombinant Protein corresponding to amino acids: EEKVMKGIEENVLRLQGQERAPGAEVKHRNTSSIASWFGLKKSKLPALNRRTEATKNKEGAGGGSPLRREVKMEARKL
Predicted Species
Mouse (92%), Rat (90%). Backed by our 100% Guarantee.
Isotype
IgG
Clonality
Polyclonal
Host
Rabbit
Gene
NCKAP5L
Purity
Immunogen affinity purified
Innovator's Reward
Test in a species/application not listed above to receive a full credit towards a future purchase.

Applications/Dilutions

Dilutions
  • Immunocytochemistry/ Immunofluorescence 0.25-2 ug/ml
  • Immunohistochemistry 1:50 - 1:200
  • Immunohistochemistry-Paraffin 1:50 - 1:200
Application Notes
For IHC-Paraffin, HIER pH 6 retrieval is recommended. ICC/IF, Fixation Permeabilization: Use PFA/Triton X-100.
Control Peptide
NCKAP5L Protein (NBP1-93583PEP)

Packaging, Storage & Formulations

Storage
Store at 4C short term. Aliquot and store at -20C long term. Avoid freeze-thaw cycles.
Buffer
PBS (pH 7.2) and 40% Glycerol
Preservative
0.02% Sodium Azide
Purity
Immunogen affinity purified

Alternate Names for NCKAP5L Antibody - BSA Free

  • FLJ36581
  • KIAA1602
  • NCK-associated protein 5-like

Limitations

This product is for research use only and is not approved for use in humans or in clinical diagnosis. Primary Antibodies are guaranteed for 1 year from date of receipt.

Customers Who Viewed This Item Also Viewed...

AF6948
Species: Hu
Applications: ICC, WB
NBP1-81758
Species: Hu
Applications: ChIP-EXO-SEQ, ICC/IF, IHC,  IHC-P, WB
NBP1-92559
Species: Hu
Applications: ICC/IF, IHC, IHC-Fr,  IHC-P
NBP1-93583
Species: Hu, Mu, Rt
Applications: ICC/IF, IHC

Publications for NCKAP5L Antibody (NBP1-93583) (0)

There are no publications for NCKAP5L Antibody (NBP1-93583).
By submitting your publication information earn gift cards and discounts for future purchases.

Reviews for NCKAP5L Antibody (NBP1-93583) (0)

There are no reviews for NCKAP5L Antibody (NBP1-93583). By submitting a review you will receive an Amazon e-Gift Card or Novus Product Discount.
  • Review with no image -- $10/€7/£6/$10 CAD/¥70 Yuan/¥1110 Yen
  • Review with an image -- $25/€18/£15/$25 CAD/¥150 Yuan/¥2500 Yen

Product General Protocols

Find general support by application which include: protocols, troubleshooting, illustrated assays, videos and webinars.

Video Protocols

ICC/IF Video Protocol

FAQs for NCKAP5L Antibody (NBP1-93583) (0)

There are no specific FAQs related to this product. Read our general customer & technical service FAQs.

Customers Who Bought This Also Bought

Contact Information

Product PDFs

Calculators

Concentration Calculator

The concentration calculator allows you to quickly calculate the volume, mass or concentration of your vial. Simply enter your mass, volume, or concentration values for your reagent and the calculator will determine the rest.

=
÷

Review this Product

Be the first to review our NCKAP5L Antibody - BSA Free and receive a gift card or discount.

Bioinformatics

Gene Symbol NCKAP5L