MRPS6 Antibody

Images

 
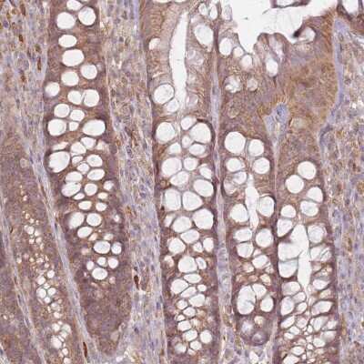
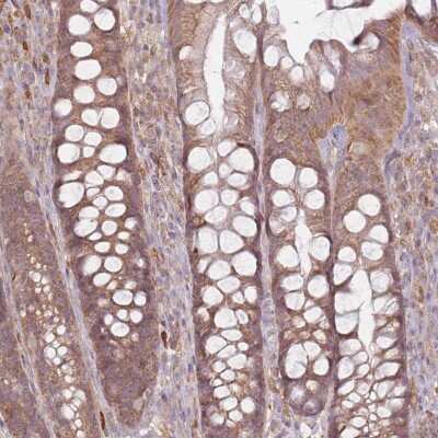
Immunohistochemistry-Paraffin: MRPS6 Antibody [NBP2-30496] - Staining of human rectum shows moderate cytoplasmic positivity in glandular cells.

Product Details

Summary
Product Discontinued
View other related MRPS6 Primary Antibodies

Order Details


    • Catalog Number
      NBP2-30496
    • Availability
      Product Discontinued

    Can't find what you are looking for? Use our Antibody Concierge Service & we will help you locate your antibody!

    Or feel free to contact us for alternative products.

MRPS6 Antibody Summary

Immunogen
This antibody was developed against a recombinant protein corresponding to amino acids: SAHSQQHNRGGYFLVDFYAPTAAVESMVEHLSRDIDVIRGNIVKHPLTQELKECEGIVPVPLAEKLYSTKKRKK
Isotype
IgG
Clonality
Polyclonal
Host
Rabbit
Gene
MRPS6
Purity
Immunogen affinity purified
Innovator's Reward
Test in a species/application not listed above to receive a full credit towards a future purchase.

Applications/Dilutions

Dilutions
  • Immunohistochemistry 1:20 - 1:50
  • Immunohistochemistry-Paraffin 1:20 - 1:50
Application Notes
For IHC-Paraffin, HIER pH 6 retrieval is recommended.
Control Peptide
MRPS6 Protein (NBP2-30496PEP)

Reactivity Notes

Immunogen displays the following percentage of sequence identity for non-tested species: Mouse (82%), Rat (84%)

Packaging, Storage & Formulations

Storage
Store at 4C short term. Aliquot and store at -20C long term. Avoid freeze-thaw cycles.
Buffer
PBS (pH 7.2) and 40% Glycerol
Preservative
0.02% Sodium Azide
Purity
Immunogen affinity purified

Alternate Names for MRPS6 Antibody

  • C21orf101
  • mitochondrial ribosomal protein S6
  • MRP-S6chromosome 21 open reading frame 101
  • RPMS628S ribosomal protein S6, mitochondrial
  • S6mt

Background

MRPS6, also known as Mitochondrial Ribosomal Protein S6, consists of a 125 amino acid isoform that is 14 kDa, and is a part of the mitochondrial ribosome small subunit 28S, which is involved in protein synthesis. Current disease research is being conducted on the relationship between MRPS6 and myocardial infarction and gigantism. The protein is linked to the process of translation and interacts with KIAA1377, LRIF1, ICT1, SRRM2, and ESR1.

Limitations

This product is for research use only and is not approved for use in humans or in clinical diagnosis. Primary Antibodies are guaranteed for 1 year from date of receipt.

Customers Who Viewed This Item Also Viewed...

NBP1-02399
Species: Bt, Bv, Ca, Ha, Hu, Pm, Rb
Applications: IHC,  IHC-P
NB100-1595
Species: Hu, Mu
Applications: IHC,  IHC-P, IP, WB
NBP1-87799
Species: Hu, Mu, Rt
Applications: ICC/IF, IHC,  IHC-P, WB
NBP1-86687
Species: Hu
Applications: IHC,  IHC-P, WB
NBP2-13075
Species: Ba, Hu, Pm, Mu, Rt
Applications: DB, ELISA, IB, ICC/IF, IHC-FrFl, IHC, IHC-Fr,  IHC-P, IP, WB
NBP1-86595
Species: Hu
Applications: IHC,  IHC-P, WB
NBP1-82648
Species: Hu
Applications: ICC/IF, IHC,  IHC-P, WB
NBP1-87964
Species: Hu
Applications: IHC,  IHC-P

Publications for MRPS6 Antibody (NBP2-30496) (0)

There are no publications for MRPS6 Antibody (NBP2-30496).
By submitting your publication information earn gift cards and discounts for future purchases.

Reviews for MRPS6 Antibody (NBP2-30496) (0)

There are no reviews for MRPS6 Antibody (NBP2-30496). By submitting a review you will receive an Amazon e-Gift Card or Novus Product Discount.
  • Review with no image -- $10/€7/£6/$10 CAD/¥70 Yuan/¥1110 Yen
  • Review with an image -- $25/€18/£15/$25 CAD/¥150 Yuan/¥2500 Yen

Product General Protocols

Find general support by application which include: protocols, troubleshooting, illustrated assays, videos and webinars.

FAQs for MRPS6 Antibody (NBP2-30496) (0)

There are no specific FAQs related to this product. Read our general customer & technical service FAQs.

Contact Information

Product PDFs

Calculators

Concentration Calculator

The concentration calculator allows you to quickly calculate the volume, mass or concentration of your vial. Simply enter your mass, volume, or concentration values for your reagent and the calculator will determine the rest.

=
÷

Review this Product

Be the first to review our MRPS6 Antibody and receive a gift card or discount.

Bioinformatics

Gene Symbol MRPS6
Uniprot