KIAA1586 Antibody - BSA Free

Images

 
Immunocytochemistry/ Immunofluorescence: KIAA1586 Antibody [NBP1-86291] - Immunofluorescent staining of human cell line U-251 MG shows localization to nuclear membrane.
Orthogonal Strategies: Immunohistochemistry-Paraffin: KIAA1586 Antibody [NBP1-86291] - Staining in human testis and skeletal muscle tissues using anti-KIAA1586 antibody. Corresponding KIAA1586 RNA-seq data are ...read more
Immunohistochemistry-Paraffin: KIAA1586 Antibody [NBP1-86291] - Staining of human skeletal muscle shows low expression as expected.
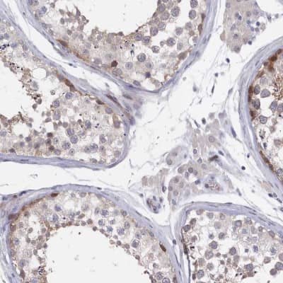
Immunohistochemistry-Paraffin: KIAA1586 Antibody [NBP1-86291] - Staining of human testis shows high expression.
Analysis in control (vector only transfected HEK293T lysate) and KIAA1586 over-expression lysate (Co-expressed with a C-terminal myc-DDK tag (~3.1 kDa) in mammalian HEK293T cells).

Product Details

Summary
Reactivity HuSpecies Glossary
Applications WB, ICC/IF, IHC
Clonality
Polyclonal
Host
Rabbit
Conjugate
Unconjugated
Format
BSA Free
Validated by:
       

Orthogonal Strategies

 

Order Details

View Available Formulations
Catalog# & Formulation Size Price

KIAA1586 Antibody - BSA Free Summary

Description
Novus Biologicals Rabbit KIAA1586 Antibody - BSA Free (NBP1-86291) is a polyclonal antibody validated for use in IHC, WB and ICC/IF. Anti-KIAA1586 Antibody: Cited in 1 publication. All Novus Biologicals antibodies are covered by our 100% guarantee.
Immunogen
This antibody was developed against Recombinant Protein corresponding to amino acids: NKTTRQASLRKKIREHDVSKAHGKIQDLLKESTNDSICNLVHKQNNKNIDATVKVFNTVYSLVKHNRPLSDIEGARELQEKNGEVNCLNTRYSATRI
Isotype
IgG
Clonality
Polyclonal
Host
Rabbit
Gene
KIAA1586
Purity
Immunogen affinity purified
Innovator's Reward
Test in a species/application not listed above to receive a full credit towards a future purchase.

Applications/Dilutions

Dilutions
  • Immunocytochemistry/ Immunofluorescence 0.25-2 ug/ml
  • Immunohistochemistry 1:50 - 1:200
  • Immunohistochemistry-Paraffin 1:50 - 1:200
  • Western Blot 0.04-0.4 ug/ml
Application Notes
For IHC-Paraffin, HIER pH 6 retrieval is recommended. ICC/IF Fixation Permeabilization: Use PFA/Triton X-100.
Control Peptide
KIAA1586 Protein (NBP1-86291PEP)
Publications
Read Publication using
NBP1-86291 in the following applications:

  • WB
    1 publication

Packaging, Storage & Formulations

Storage
Store at 4C short term. Aliquot and store at -20C long term. Avoid freeze-thaw cycles.
Buffer
PBS (pH 7.2) and 40% Glycerol
Preservative
0.02% Sodium Azide
Purity
Immunogen affinity purified

Alternate Names for KIAA1586 Antibody - BSA Free

  • FLJ30162
  • hypothetical protein LOC57691
  • KIAA1586

Limitations

This product is for research use only and is not approved for use in humans or in clinical diagnosis. Primary Antibodies are guaranteed for 1 year from date of receipt.

Customers Who Viewed This Item Also Viewed...

NBP2-94743
Species: Hu, Mu, Rt
Applications: ELISA, WB
NB100-56087
Species: Hu
Applications: ICC/IF, IHC,  IHC-P, IP, WB
NBP1-86366
Species: Hu
Applications: ICC/IF, IHC,  IHC-P, WB

Publications for KIAA1586 Antibody (NBP1-86291)(1)

We have publications tested in 1 confirmed species: Human.

We have publications tested in 1 application: WB.


Filter By Application
WB
(1)
All Applications
Filter By Species
Human
(1)
All Species

Reviews for KIAA1586 Antibody (NBP1-86291) (0)

There are no reviews for KIAA1586 Antibody (NBP1-86291). By submitting a review you will receive an Amazon e-Gift Card or Novus Product Discount.
  • Review with no image -- $10/€7/£6/$10 CAD/¥70 Yuan/¥1110 Yen
  • Review with an image -- $25/€18/£15/$25 CAD/¥150 Yuan/¥2500 Yen

Product General Protocols

Find general support by application which include: protocols, troubleshooting, illustrated assays, videos and webinars.

Video Protocols

WB Video Protocol
ICC/IF Video Protocol

FAQs for KIAA1586 Antibody (NBP1-86291) (0)

There are no specific FAQs related to this product. Read our general customer & technical service FAQs.

Customers Who Bought This Also Bought

Contact Information

Product PDFs

Calculators

Concentration Calculator

The concentration calculator allows you to quickly calculate the volume, mass or concentration of your vial. Simply enter your mass, volume, or concentration values for your reagent and the calculator will determine the rest.

=
÷

Review this Product

Be the first to review our KIAA1586 Antibody - BSA Free and receive a gift card or discount.

Bioinformatics

Gene Symbol KIAA1586