Histone H3.1 [p Ser10] Antibody (rHH3/9924) - Azide and BSA Free

Images

 
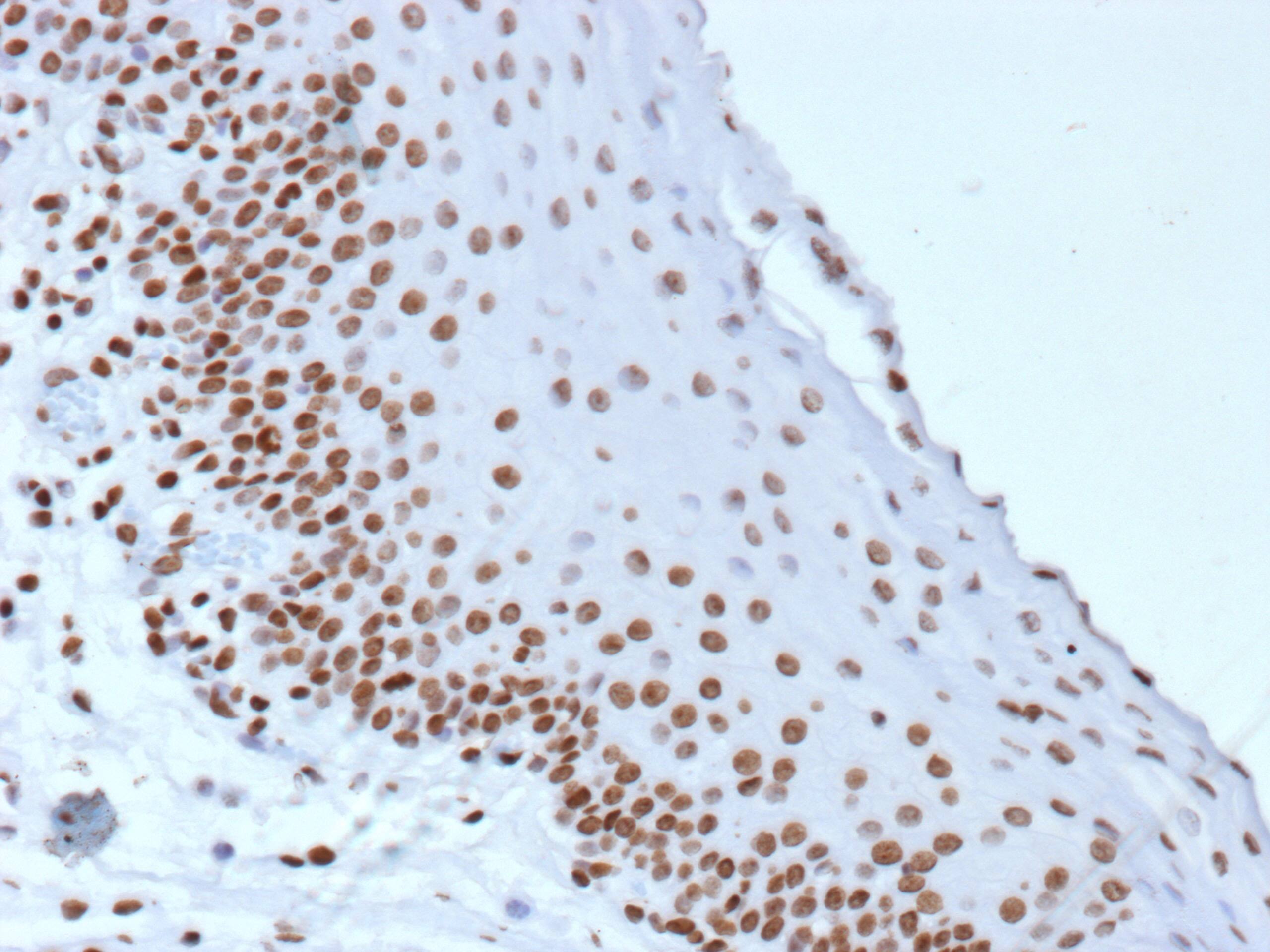
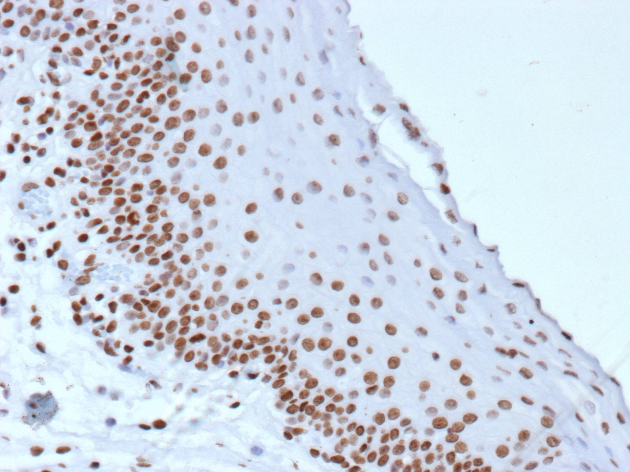
Formalin-fixed, paraffin-embedded human tonsil stained with Histone H3.1 [p Ser10] Antibody (rHH3/9924) - Azide and BSA Free. HIER: Tris/EDTA, pH9.0, 45min. 2 : HRP-polymer, 30min. DAB, 5min.
Western Blot Analysis of MDA-MB-231 lysate using Histone H3.1 [p Ser10] Antibody (rHH3/9924) - Azide and BSA Free
Western Blot Analysis of HeLa, MDA-MB-231 and MCF7 cell lysates using Histone H3.1 [p Ser10] Antibody (rHH3/9924) - Azide and BSA Free
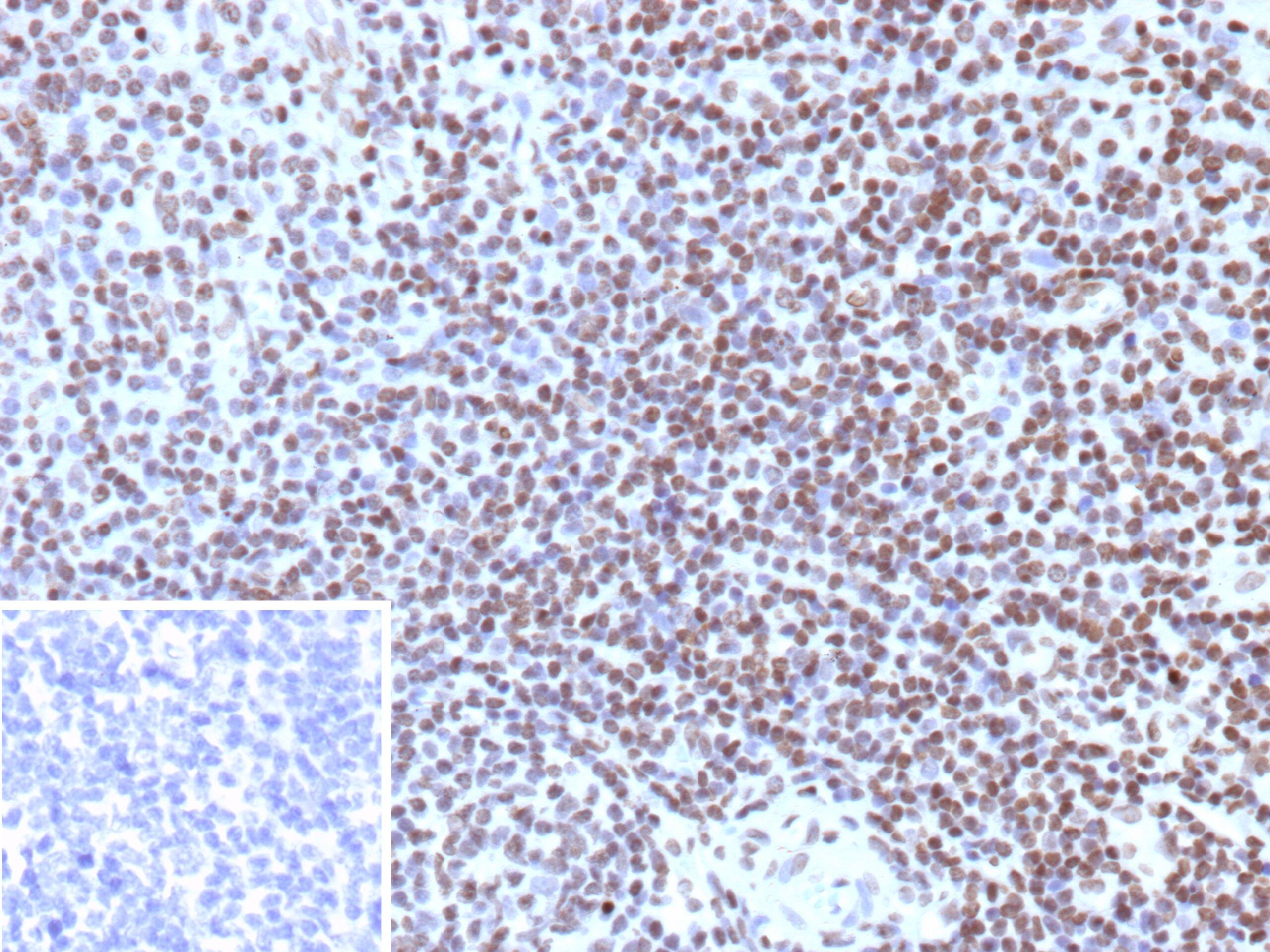
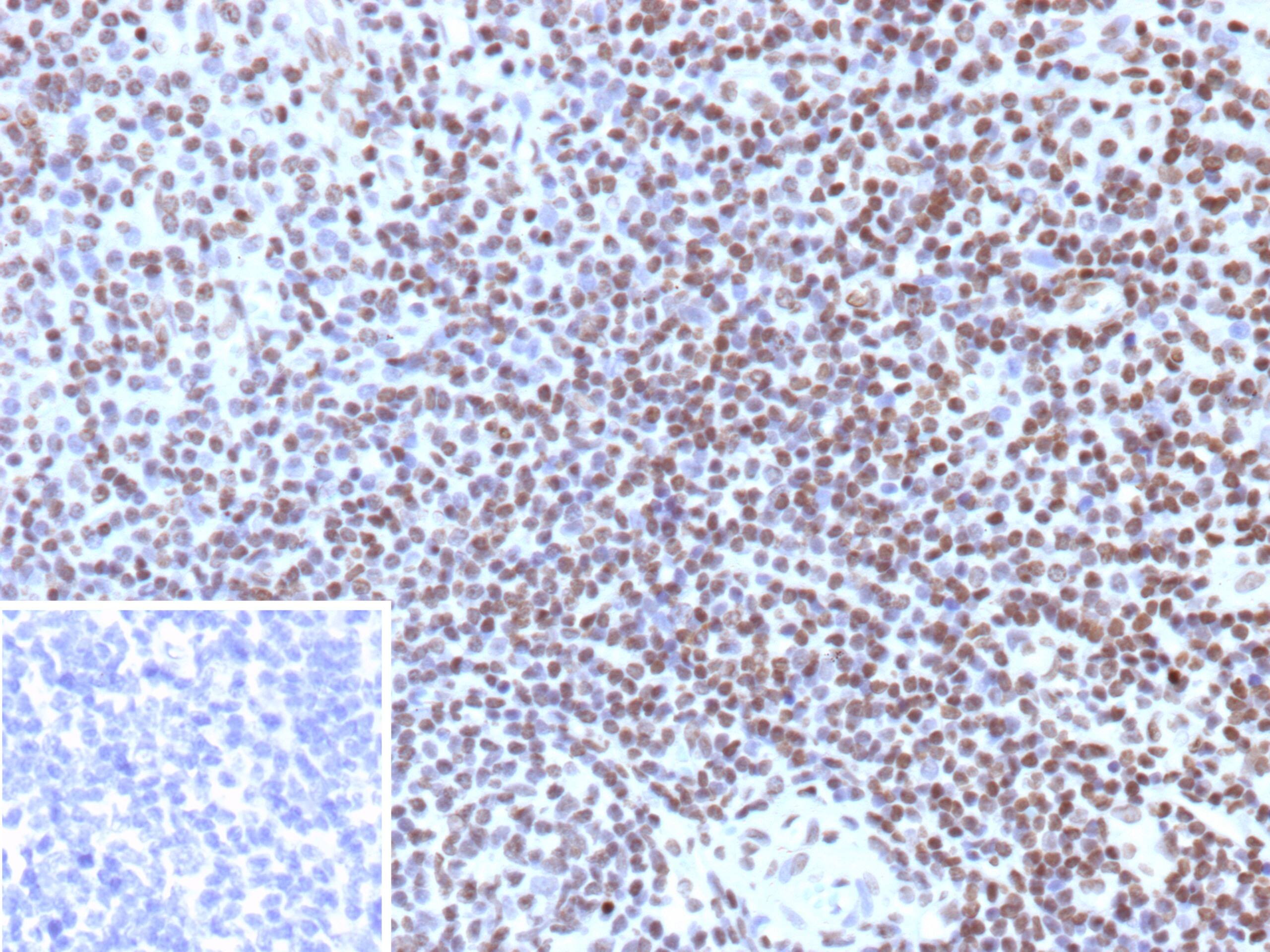
Formalin-fixed, paraffin-embedded human tonsil stained with Histone H3.1 [p Ser10] Antibody (rHH3/9924) - Azide and BSA Free. Inset: PBS instead of primary antibody; secondary only negative control.

Product Details

Summary
Reactivity HuSpecies Glossary
Applications WB, IHC
Clone
rHH3/9924
Clonality
Monoclonal
Host
Mouse
Conjugate
Unconjugated
Format
Azide and BSA Free
Concentration
1 mg/ml

Order Details

View Available Formulations
Catalog# & Formulation Size Price

Histone H3.1 [p Ser10] Antibody (rHH3/9924) - Azide and BSA Free Summary

Description
1.0 mg/ml of Ab produced in CHO cell mammalian-based expression system.. Prepared in 10 mM PBS WITHOUT BSA & azide. Also availabl at 200 ug/ml with BSA & azide.

Antibody with azide - store at 2 to 8C. Antibody without azide - store at -20 to -80C. Non-hazardous. No MSDS required.
Additional Information
Recombinant Monoclonal Antibody
Immunogen
A synthetic peptide corresponding to (ARK-pS-TGGKAPRKQLc) of Phosphohistone H3 (phospho S10) (Uniprot: P68431)
Modification
p Ser10
Localization
Chromosome, Nucleus
Isotype
IgG2b Kappa
Clonality
Monoclonal
Host
Mouse
Gene
H3C6
Purity
Protein A or G purified
Innovator's Reward
Test in a species/application not listed above to receive a full credit towards a future purchase.

Applications/Dilutions

Dilutions
  • Immunohistochemistry : 1-2ug/ml
  • Western Blot : 2-4ug/ml
Application Notes
Immunohistochemistry: 30 min at RT. Staining of formalin-fixed tissues requires heating tissue sections in 10mM Tris with 1mM EDTA, pH 9.0, for 45 min at 95C followed by cooling at RT for 20 minutes.
Theoretical MW
15 kDa.
Disclaimer note: The observed molecular weight of the protein may vary from the listed predicted molecular weight due to post translational modifications, post translation cleavages, relative charges, and other experimental factors.

Packaging, Storage & Formulations

Storage
Store at -20 to -80C. Avoid freeze-thaw cycles.
Buffer
10 mM PBS
Preservative
No Preservative
Concentration
1 mg/ml
Purity
Protein A or G purified

Alternate Names for Histone H3.1 [p Ser10] Antibody (rHH3/9924) - Azide and BSA Free

  • H3 histone family, member D
  • H3.1HIST1H3D
  • H3/d
  • H3FA
  • H3FB
  • H3FC
  • H3FDHIST1H3F
  • H3FF
  • H3FH
  • H3FI
  • H3FJ
  • H3FK
  • H3FL
  • HIST1H3A
  • HIST1H3B
  • HIST1H3C
  • HIST1H3G
  • HIST1H3H
  • HIST1H3I
  • HIST1H3J
  • histone 1, H3e
  • histone cluster 1, H3e
  • Histone H3.1
  • Histone H3/a
  • Histone H3/b
  • Histone H3/c
  • Histone H3/d
  • Histone H3/f
  • Histone H3/h
  • Histone H3/i
  • Histone H3/j
  • Histone H3/k
  • Histone H3/l

Background

In eukaryotes, DNA is wrapped around histone octamers to form the basic unit of chromatin structure. The octamer is composed of Histones H2A, H2B, H3 and H4, and it associates with approximately 200 base pairs of DNA to form the nucleosome. The association of DNA with histones results in dense packing of chromatin, which restricts proteins involved in gene transcription from binding to DNA. Histone H3, the core protein of the nucleosome, becomes phosphorylated at the end of prophase. The two major sites of phosphorylation are the mitosis-specific site Ser 10 and Ser 28, both of which are extensively phosphorylated in DNA-bound forms of Histone H3 and in nucleosomal Histone H3. The nucleosome structure of Histone H3 promotes N-terminal phosphorylation in vitro. Phosphorylation of Histone H3 at Ser 10 is an essenti

Limitations

This product is for research use only and is not approved for use in humans or in clinical diagnosis. Primary Antibodies are guaranteed for 1 year from date of receipt.

Customers Who Viewed This Item Also Viewed...

NBP2-06572
Species: Hu
Applications: WB
NBP2-07996
Species: Hu
Applications: WB
NBP2-52486
Species: Hu
Applications: CyTOF-ready, ELISA, Flow, ICC/IF, IHC,  IHC-P, WB
NB500-171
Species: Hu, I, Mu, Rt, Xp, Ye
Applications: ChIP, IB, ICC/IF, IHC,  IHC-P, Single-Cell Western, WB
NLS3775
Species: Hu, Pm
Applications: ICC/IF, IHC,  IHC-P
NBP1-85351
Species: Hu, Mu, Rt
Applications: ICC/IF, IHC,  IHC-P, WB
NBP3-48615
Species: Hu, Mu, Rt
Applications: ICC/IF, IHC,  IHC-P, WB
NBP3-33534
Species: Hu, Mu, Rt
Applications: ELISA, IHC,  IHC-P, WB
NBP3-46113
Species: Hu, Mu, Rt
Applications: ELISA, IHC, IP, , WB
AF5215
Species: Hu, Mu
Applications: ICC, WB
NBL1-11570
Species: Hu
Applications: WB
H00008365-M01
Species: Hu
Applications: ELISA, ICC/IF, S-ELISA
NBL1-11567
Species: Hu
Applications: WB
NBP3-13389
Species: Hu
Applications: IHC,  IHC-P, WB
NB500-212
Species: Hu
Applications: ICC/IF, IP, KD, WB
NBP3-45056
Species: Hu
Applications: WB, IHC

Publications for Histone H3.1 Antibody (NBP3-45056) (0)

There are no publications for Histone H3.1 Antibody (NBP3-45056).
By submitting your publication information earn gift cards and discounts for future purchases.

Reviews for Histone H3.1 Antibody (NBP3-45056) (0)

There are no reviews for Histone H3.1 Antibody (NBP3-45056). By submitting a review you will receive an Amazon e-Gift Card or Novus Product Discount.
  • Review with no image -- $10/€7/£6/$10 CAD/¥70 Yuan/¥1110 Yen
  • Review with an image -- $25/€18/£15/$25 CAD/¥150 Yuan/¥2500 Yen

Product General Protocols

Find general support by application which include: protocols, troubleshooting, illustrated assays, videos and webinars.

Video Protocols

WB Video Protocol

FAQs for Histone H3.1 Antibody (NBP3-45056) (0)

There are no specific FAQs related to this product. Read our general customer & technical service FAQs.

Secondary Antibodies

 

Isotype Controls

Additional Histone H3.1 Products

Research Areas for Histone H3.1 Antibody (NBP3-45056)

Find related products by research area.

Blogs on Histone H3.1.

H3.1 - A core histone essential for genome storage and organization
Histones are the main protein component of chromatin and are essential for the storage and compaction of the genome. DNA wraps around histone oligomers to make up nucleosomes, the individual subunits of chromatin. By altering the accessibility of t...  Read full blog post.

Customers Who Bought This Also Bought

Contact Information

Product PDFs

Calculators

Concentration Calculator

The concentration calculator allows you to quickly calculate the volume, mass or concentration of your vial. Simply enter your mass, volume, or concentration values for your reagent and the calculator will determine the rest.

=
÷

Review this Product

Be the first to review our Histone H3.1 [p Ser10] Antibody (rHH3/9924) - Azide and BSA Free and receive a gift card or discount.

Bioinformatics

Gene Symbol H3C6