Histone H2AE [Hydroxy Tyr39] Antibody (SR4-17)

Images

 
Western Blot: Histone H2AE [Hydroxy Tyr39] Antibody (SR4-17) [NBP2-67337] - Analysis of Histone H2A(hydroxyl Y39) on different lysates using anti-Histone H2A(hydroxyl Y39) antibody at 1/1,000 dilution. Positive control: ...read more
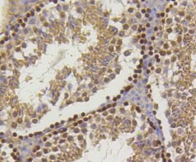
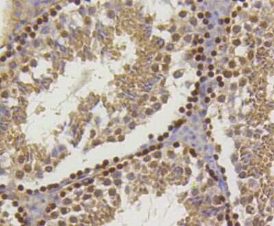
Immunohistochemistry-Paraffin: Histone H2AE [Hydroxy Tyr39] Antibody (SR4-17) [NBP2-67337] - Analysis of paraffin-embedded mouse testis tissue using anti-Histone H2A(hydroxyl Y39) antibody. Counter stained with ...read more
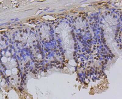
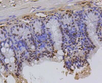
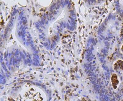
Immunohistochemistry-Paraffin: Histone H2AE [Hydroxy Tyr39] Antibody (SR4-17) [NBP2-67337] - Analysis of paraffin-embedded human colon cancer tissue using anti-Histone H2A(hydroxyl Y39) antibody. Counter stained with ...read more
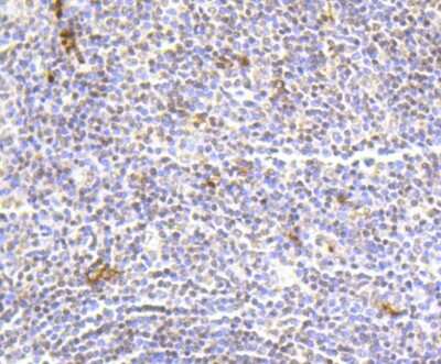
Immunohistochemistry-Paraffin: Histone H2AE [Hydroxy Tyr39] Antibody (SR4-17) [NBP2-67337] - Analysis of paraffin-embedded human tonsil tissue using anti-Histone H2A(hydroxyl Y39) antibody. Counter stained with ...read more
Immunohistochemistry-Paraffin: Histone H2AE [Hydroxy Tyr39] Antibody (SR4-17) [NBP2-67337] - Analysis of paraffin-embedded mouse colon tissue using anti-Histone H2A(hydroxyl Y39) antibody. Counter stained with ...read more

Product Details

Summary
Product Discontinued
View other related Histone H2AE Primary Antibodies

Order Details


    • Catalog Number
      NBP2-67337
    • Availability
      Product Discontinued

    Can't find what you are looking for? Use our Antibody Concierge Service & we will help you locate your antibody!

    Or feel free to contact us for alternative products.

Histone H2AE [Hydroxy Tyr39] Antibody (SR4-17) Summary

Additional Information
Recombinant Monoclonal Antibody.
Immunogen
Recombinant protein within Human Histone H2AE aa 1-83 / 130 (hydroxyl Y39) conjugated to Keyhole Limpet Haemocyanin (KLH). (SwissProt: P04908 Human; SwissProt: P28001 Human; SwissProt: Q93077 Human; SwissProt: P35065 Human; SwissProt: Q99878 Human; SwissProt: C0HKE6 Mouse; SwissProt: C0HKE1 Mouse; SwissProt: P02262 Rat)
Modification
Hydroxy Tyr39
Localization
Chromosome, Nucleosome core, Nucleus.
Isotype
IgG
Clonality
Monoclonal
Host
Rabbit
Gene
HIST1H2AE
Purity
Protein A purified
Innovator's Reward
Test in a species/application not listed above to receive a full credit towards a future purchase.

Applications/Dilutions

Dilutions
  • Immunohistochemistry
  • Immunohistochemistry-Paraffin 1:50-1:200
  • Western Blot 1:500

Packaging, Storage & Formulations

Storage
Store at 4C short term. Aliquot and store at -20C long term. Avoid freeze-thaw cycles.
Buffer
TBS (pH7.4), 0.05% BSA, 40% Glycerol
Preservative
0.05% Sodium Azide
Concentration
1 mg/ml
Purity
Protein A purified

Alternate Names for Histone H2AE [Hydroxy Tyr39] Antibody (SR4-17)

  • H2A histone family, member M
  • H2A/m
  • H2AFA
  • H2AFMHistone H2A/m
  • HIST1H2AE
  • histone 1, H2ab
  • histone cluster 1, H2ab
  • histone H2A type 1-B/E
  • Histone H2A.2
  • Histone H2A/a

Background

Histone H2AE is 124 amino acids long, weighing approximately 13 kDa, and is part of a group of basic nuclear proteins called histones, which are responsible for nucleosome structure of the chromosomal fiber in eukaryotes and is a core component of the nucleosome. Current studies are being done on several diseases and disorders including riddle syndrome, systemic lupus erythematosus, lupus srythematosus, and immunodeficiency. This protein has also been shown to have interactions with HIST1H4A, HIST1H4B, HIST1H4C, HIST1H4D, and HIST1H4E in pathways such as the proteasome degradation, nucleosome assembly, cell cycle, and systemic lupus erythematosus pathways.

Limitations

This product is for research use only and is not approved for use in humans or in clinical diagnosis. Primary Antibodies are guaranteed for 1 year from date of receipt.

Customers Who Viewed This Item Also Viewed...

NBP2-07996
Species: Hu
Applications: WB
NBP2-52486
Species: Hu
Applications: CyTOF-ready, ELISA, Flow, ICC/IF, IHC,  IHC-P, WB
NBP2-06572
Species: Hu
Applications: WB
NB100-56346
Species: Hu, Mu, Sh
Applications: ELISA, Flow, IHC,  IHC-P, WB
NLS3775
Species: Hu, Pm
Applications: ICC/IF, IHC,  IHC-P
NBP1-85351
Species: Hu, Mu, Rt
Applications: ICC/IF, IHC,  IHC-P, WB
NBP2-07993
Species: Hu
Applications: WB
NBP2-61153
Species: Hu, Mu, Rt
Applications: IHC,  IHC-P, WB
NBP3-46113
Species: Hu, Mu, Rt
Applications: ELISA, IHC, IP, , WB
AF5215
Species: Hu, Mu
Applications: ICC, WB
NBL1-11570
Species: Hu
Applications: WB
H00008365-M01
Species: Hu
Applications: ELISA, ICC/IF, S-ELISA
NBL1-11567
Species: Hu
Applications: WB
NBP2-67337
Species: Hu, Mu, Rt
Applications: WB, IHC

Publications for Histone H2AE Antibody (NBP2-67337) (0)

There are no publications for Histone H2AE Antibody (NBP2-67337).
By submitting your publication information earn gift cards and discounts for future purchases.

Reviews for Histone H2AE Antibody (NBP2-67337) (0)

There are no reviews for Histone H2AE Antibody (NBP2-67337). By submitting a review you will receive an Amazon e-Gift Card or Novus Product Discount.
  • Review with no image -- $10/€7/£6/$10 CAD/¥70 Yuan/¥1110 Yen
  • Review with an image -- $25/€18/£15/$25 CAD/¥150 Yuan/¥2500 Yen

Product General Protocols

Find general support by application which include: protocols, troubleshooting, illustrated assays, videos and webinars.

Video Protocols

WB Video Protocol

FAQs for Histone H2AE Antibody (NBP2-67337) (0)

There are no specific FAQs related to this product. Read our general customer & technical service FAQs.

Secondary Antibodies

 

Isotype Controls

Additional Histone H2AE Products

Array NBP2-67337

Research Areas for Histone H2AE Antibody (NBP2-67337)

Find related products by research area.

Blogs on Histone H2AE

There are no specific blogs for Histone H2AE, but you can read our latest blog posts.

Contact Information

Product PDFs

Calculators

Concentration Calculator

The concentration calculator allows you to quickly calculate the volume, mass or concentration of your vial. Simply enter your mass, volume, or concentration values for your reagent and the calculator will determine the rest.

=
÷

Review this Product

Be the first to review our Histone H2AE [Hydroxy Tyr39] Antibody (SR4-17) and receive a gift card or discount.

Bioinformatics

Gene Symbol HIST1H2AE