GTPBP5 Antibody - BSA Free

Images

 
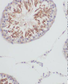
Immunohistochemistry: GTPBP5 Antibody - BSA Free [NBP3-46156] - Immunohistochemistry of paraffin-embedded human testis using (GTPBP5 antibody) at dilution of 1:100
Western Blot: GTPBP5 Antibody - BSA Free [NBP3-46156] - Jurkat cells were subjected to SDS PAGE followed by western blot with (GTPBP5 antibody) at dilution of 1:500

Product Details

Summary
Reactivity Hu, Mu, RtSpecies Glossary
Applications WB, ELISA, IHC
Clonality
Polyclonal
Host
Rabbit
Conjugate
Unconjugated
Format
BSA Free

Order Details

GTPBP5 Antibody - BSA Free Summary

Description
Novus Biologicals Rabbit GTPBP5 Antibody - BSA Free (NBP3-46156) is a polyclonal antibody validated for use in IHC, WB and ELISA. All Novus Biologicals antibodies are covered by our 100% guarantee.
Immunogen
GTP binding protein 5(putative). (Uniprot# Q9H4K7)
Isotype
IgG
Clonality
Polyclonal
Host
Rabbit
Gene
GTPBP5
Purity
Immunogen affinity purified
Innovator's Reward
Test in a species/application not listed above to receive a full credit towards a future purchase.

Applications/Dilutions

Dilutions
  • ELISA
  • Immunohistochemistry 1:20-1:200
  • Western Blot 1:500-1:2000
Theoretical MW
44 kDa.
Disclaimer note: The observed molecular weight of the protein may vary from the listed predicted molecular weight due to post translational modifications, post translation cleavages, relative charges, and other experimental factors.

Packaging, Storage & Formulations

Storage
Store at -20C. Avoid freeze-thaw cycles.
Buffer
PBS, 50% Glycerol, pH (7.3)
Preservative
0.02% Sodium Azide
Purity
Immunogen affinity purified

Alternate Names for GTPBP5 Antibody - BSA Free

  • dJ1005F21.2
  • FLJ10741
  • GTP binding protein 5 (putative)
  • GTP-binding protein 5 (putative)
  • GTP-binding protein 5
  • MGC29512
  • ObgH1OBGH1
  • Protein obg homolog 1

Background

Small G proteins, such as GTPBP5, act as molecular switches that play crucial roles in the regulation of fundamental cellular processes such as protein synthesis, nuclear transport, membrane trafficking, and signal transduction (Hirano et al., 2006 [PubMed 17054726]).[supplied by OMIM]

Limitations

This product is for research use only and is not approved for use in humans or in clinical diagnosis. Primary Antibodies are guaranteed for 1 year from date of receipt.

Customers Who Viewed This Item Also Viewed...

NBP1-85055
Species: Hu
Applications: IHC,  IHC-P, WB
NBP3-46156
Species: Hu, Mu, Rt
Applications: WB, ELISA, IHC

Publications for GTPBP5 Antibody (NBP3-46156) (0)

There are no publications for GTPBP5 Antibody (NBP3-46156).
By submitting your publication information earn gift cards and discounts for future purchases.

Reviews for GTPBP5 Antibody (NBP3-46156) (0)

There are no reviews for GTPBP5 Antibody (NBP3-46156). By submitting a review you will receive an Amazon e-Gift Card or Novus Product Discount.
  • Review with no image -- $10/€7/£6/$10 CAD/¥70 Yuan/¥1110 Yen
  • Review with an image -- $25/€18/£15/$25 CAD/¥150 Yuan/¥2500 Yen

Product General Protocols

Find general support by application which include: protocols, troubleshooting, illustrated assays, videos and webinars.

Video Protocols

WB Video Protocol

FAQs for GTPBP5 Antibody (NBP3-46156) (0)

There are no specific FAQs related to this product. Read our general customer & technical service FAQs.

Customers Who Bought This Also Bought

Contact Information

Product PDFs

Calculators

Concentration Calculator

The concentration calculator allows you to quickly calculate the volume, mass or concentration of your vial. Simply enter your mass, volume, or concentration values for your reagent and the calculator will determine the rest.

=
÷

Review this Product

Be the first to review our GTPBP5 Antibody - BSA Free and receive a gift card or discount.

Bioinformatics

Gene Symbol GTPBP5