GTF3C5 Antibody

Images

 
Western Blot: GTF3C5 Antibody [NB100-60435] - Detection of human and mouse GTF3C5 by western blot. Samples: Whole cell lysate (50 ug) from HeLa, HEK293T, and mouse NIH 3T3 cells prepared using NETN lysis buffer. ...read more
Immunohistochemistry: GTF3C5 Antibody [NB100-60435] - Detection of human GTF3C5/TFIIIC63 by immunohistochemistry. Sample: FFPE section of human breast carcinoma. Antibody: Affinity purified rabbit anti- GTF3C5/TFIIIC63 ...read more
Western Blot: GTF3C5 Antibody [NB100-60435] - Whole cell lysate from HeLa (5, 15 and 50 ug for WB; 1 mg for IP, 20% of IP loaded), 293T (T; 50 ug), and mouse NIH3T3 (M; 50 ug) cells. NB100-60435 used for WB at 0.04 ...read more
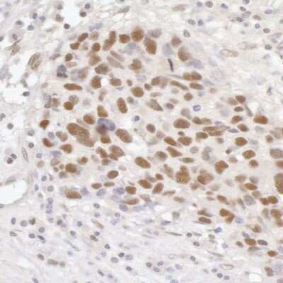
Immunohistochemistry-Paraffin: GTF3C5 Antibody [NB100-60435] - FFPE section of human thyroid carcinoma. Antibody dilution of 1:500.
Immunohistochemistry: GTF3C5 Antibody [NB100-60435] - Sample: FFPE section of human breast carcinoma (left) and mouse teratoma (right). Antibody: Affinity purified rabbit anti- GTF3C5/TFIIIC63 used at a dilution of ...read more
Immunohistochemistry: GTF3C5 Antibody [NB100-60435] - Detection of mouse GTF3C5/TFIIIC63 by immunohistochemistry. Sample: FFPE section of mouse teratoma. Antibody: Affinity purified rabbit anti- GTF3C5/TFIIIC63 ...read more
Immunoprecipitation: GTF3C5 Antibody [NB100-60435] - Detection of human GTF3C5 by western blot of immunoprecipitates. Samples: Whole cell lysate (0.5 or 1.0 mg per IP reaction; 20% of IP loaded) from HEK293T cells ...read more

Product Details

Summary
Reactivity Hu, MuSpecies Glossary
Applications WB, IHC, IP
Clonality
Polyclonal
Host
Rabbit
Conjugate
Unconjugated
Concentration
0.2 mg/ml

Order Details

GTF3C5 Antibody Summary

Description
Novus Biologicals Rabbit GTF3C5 Antibody (NB100-60435) is a polyclonal antibody validated for use in IHC, WB and IP. All Novus Biologicals antibodies are covered by our 100% guarantee.
Immunogen
The immunogen recognized by this antibody maps to a region between residue 469 and 519 of human general transcription factor 3C polypeptide 5 (Transcription factor IIIC 63 kDa subunit) using the numbering given in entry NP_036219.1 (GeneID 9328).
Isotype
IgG
Clonality
Polyclonal
Host
Rabbit
Gene
GTF3C5
Purity
Immunogen affinity purified
Innovator's Reward
Test in a species/application not listed above to receive a full credit towards a future purchase.

Applications/Dilutions

Dilutions
  • Immunohistochemistry
  • Immunohistochemistry-Paraffin 1:10-1:500
  • Immunoprecipitation 1:10-1:500
  • Western Blot 1:100-1:2000
Control
GTF3C5 Overexpression Lysate

Packaging, Storage & Formulations

Storage
Store at 4C. Do not freeze.
Buffer
TBS and 0.1% BSA
Preservative
0.09% Sodium Azide
Concentration
0.2 mg/ml
Purity
Immunogen affinity purified

Alternate Names for GTF3C5 Antibody

  • FLJ20857
  • general transcription factor 3C polypeptide 5
  • general transcription factor IIIC, polypeptide 5 (63kD)
  • general transcription factor IIIC, polypeptide 5, 63kDa
  • TF3C-epsilon
  • TFiiiC2-63
  • TFIIIC63TFIIIC 63 kDa subunit
  • TFIIICepsilon
  • Transcription factor IIIC 63 kDa subunit
  • Transcription factor IIIC subunit epsilon
  • transcription factor IIIC, 63 kD

Background

General transcription factor 3C polypeptide 5 (GTF3C5/TFIIIC63) is a subunit of the TFIIIC DNA-binding factor required for transcription of tRNA and 5S rRNA genes by RNA polymerase III. Human TFIIIC is composed of six subunits: TFIIIC220, TFIIIC110, TFIIIC102, TFIIIC90 and TFIIIC63, and TFIIIC35. GTF3C5/TFIIIC63 interacts with TFIIIB and may facilitate TFIIIB and RNA polymerase III recruitment in association with TFIIIC102, TFIIIB90, and RPC62. Alternate names for GTF3C5/TFIIIC63 include transcription factor IIIC subunit epsilon, TF3C-epsilon, TFIIIC 63 kDa subunit, general transcription factor IIIC polypeptide 5 (63 kDa), and FLJ20857.

Limitations

This product is for research use only and is not approved for use in humans or in clinical diagnosis. Primary Antibodies are guaranteed for 1 year from date of receipt.

Customers Who Viewed This Item Also Viewed...

NB100-60657
Species: Hu, Mu
Applications: ChIP, IHC,  IHC-P, IP (-), WB
NB100-60432
Species: Hu
Applications: IHC,  IHC-P, IP, WB
NBP2-31851
Species: Hu
Applications: ChIP-EXO-SEQ, ICC/IF, IHC,  IHC-P
NBP3-35833
Species: Hu, Mu, Rt
Applications: ELISA, ICC/IF, IHC,  IHC-P, WB

Publications for GTF3C5 Antibody (NB100-60435) (0)

There are no publications for GTF3C5 Antibody (NB100-60435).
By submitting your publication information earn gift cards and discounts for future purchases.

Reviews for GTF3C5 Antibody (NB100-60435) (0)

There are no reviews for GTF3C5 Antibody (NB100-60435). By submitting a review you will receive an Amazon e-Gift Card or Novus Product Discount.
  • Review with no image -- $10/€7/£6/$10 CAD/¥70 Yuan/¥1110 Yen
  • Review with an image -- $25/€18/£15/$25 CAD/¥150 Yuan/¥2500 Yen

Product General Protocols

Find general support by application which include: protocols, troubleshooting, illustrated assays, videos and webinars.

Video Protocols

WB Video Protocol

FAQs for GTF3C5 Antibody (NB100-60435) (0)

There are no specific FAQs related to this product. Read our general customer & technical service FAQs.

Customers Who Bought This Also Bought

Contact Information

Product PDFs

Calculators

Concentration Calculator

The concentration calculator allows you to quickly calculate the volume, mass or concentration of your vial. Simply enter your mass, volume, or concentration values for your reagent and the calculator will determine the rest.

=
÷

Review this Product

Be the first to review our GTF3C5 Antibody and receive a gift card or discount.

Bioinformatics

Gene Symbol GTF3C5
Entrez
Uniprot