GPR133 Antibody

Images

 
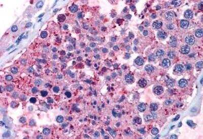
Immunohistochemistry-Paraffin: GPR133 Antibody [NBP1-02401] - Staining of human testis. Immunohistochemistry of formalin-fixed, paraffin-embedded tissue after heat-induced antigen retrieval. Antibody concentration 4.8 ...read more

Product Details

Summary
Product Discontinued
View other related GPR133 Primary Antibodies

Order Details


    • Catalog Number
      NBP1-02401
    • Availability
      Product Discontinued

    Can't find what you are looking for? Use our Antibody Concierge Service & we will help you locate your antibody!

    Or feel free to contact us for alternative products.

GPR133 Antibody Summary

Immunogen
Synthetic 16 amino acid peptide from C-terminal cytoplasmic domain of human GPR133.
Specificity
Human GPR133. BLAST analysis of the peptide immunogen showed no homology with other human proteins.
Isotype
IgG
Clonality
Polyclonal
Host
Rabbit
Gene
ADGRD1
Purity
Immunogen affinity purified
Innovator's Reward
Test in a species/application not listed above to receive a full credit towards a future purchase.

Applications/Dilutions

Dilutions
  • Immunohistochemistry
  • Immunohistochemistry-Paraffin 20 ug/ml

Reactivity Notes

This antibody is reactive to Human. Mouse ( Identity: 93 % Similarity: 93 %)

Packaging, Storage & Formulations

Storage
Store at 4C short term. Aliquot and store at -20C long term. Avoid freeze-thaw cycles.
Buffer
PBS
Preservative
0.1% Sodium Azide
Concentration
1.0 mg/ml
Purity
Immunogen affinity purified

Alternate Names for GPR133 Antibody

  • DKFZp434B1272
  • FLJ16770
  • G protein-coupled receptor 133
  • GPR133
  • G-protein coupled receptor PGR25
  • MGC138514
  • PGR25
  • PGR25MGC138512
  • probable G-protein coupled receptor 133

Background

GPR133 is an Orphan-U GPCR with an unknown ligand.

Limitations

This product is for research use only and is not approved for use in humans or in clinical diagnosis. Primary Antibodies are guaranteed for 1 year from date of receipt.

Customers Who Viewed This Item Also Viewed...

NLS418
Species: Hu
Applications: IHC,  IHC-P
AF4894
Species: Hu
Applications: Neut, WB
MAB8496
Species: Hu
Applications: CyTOF-ready, Flow, IHC
NLS1519
Species: Hu, Pm, Pm
Applications: IHC,  IHC-P
NLS2756
Species: Hu, Pm
Applications: ICC, IHC,  IHC-P
NBP2-38234
Species: Hu
Applications: IHC,  IHC-P
MAB194
Species: Hu, Mu
Applications: CyTOF-ready, Flow, ICC, WB
MAB8458
Species: Hu
Applications: CyTOF-ready, Flow, ICC
NBP1-03561
Species: Hu, Mu
Applications: IHC,  IHC-P, PEP-ELISA, WB
AF5049
Species: Mu
Applications: CyTOF-ready, Flow, ICC, WB
NLS1017
Species: Bt, Bv, Ca, Eq, Hu, Mu
Applications: IHC,  IHC-P
NLS2576
Species: Hu, Pm, Rt
Applications: IHC,  IHC-P

Publications for GPR133 Antibody (NBP1-02401) (0)

There are no publications for GPR133 Antibody (NBP1-02401).
By submitting your publication information earn gift cards and discounts for future purchases.

Reviews for GPR133 Antibody (NBP1-02401) (0)

There are no reviews for GPR133 Antibody (NBP1-02401). By submitting a review you will receive an Amazon e-Gift Card or Novus Product Discount.
  • Review with no image -- $10/€7/£6/$10 CAD/¥70 Yuan/¥1110 Yen
  • Review with an image -- $25/€18/£15/$25 CAD/¥150 Yuan/¥2500 Yen

Product General Protocols

Find general support by application which include: protocols, troubleshooting, illustrated assays, videos and webinars.

FAQs for GPR133 Antibody (NBP1-02401) (0)

There are no specific FAQs related to this product. Read our general customer & technical service FAQs.

Secondary Antibodies

 

Isotype Controls

Additional GPR133 Products

Research Areas for GPR133 Antibody (NBP1-02401)

Find related products by research area.

Blogs on GPR133

There are no specific blogs for GPR133, but you can read our latest blog posts.

Contact Information

Product PDFs

Calculators

Concentration Calculator

The concentration calculator allows you to quickly calculate the volume, mass or concentration of your vial. Simply enter your mass, volume, or concentration values for your reagent and the calculator will determine the rest.

=
÷

Review this Product

Be the first to review our GPR133 Antibody and receive a gift card or discount.

Bioinformatics

Gene Symbol ADGRD1
Uniprot