ERGI3 Antibody

Images

 
Western Blot: ERGI3 Antibody [NBP2-76928] - Western blot analysis of ERGI3 on different lysates using anti-ERGI3 antibody at 1/500 dilution.Positive control:Lane1: SiHa Lane2: Human placentaLane3: Rat bone marrow
Immunocytochemistry/ Immunofluorescence: ERGI3 Antibody [NBP2-76928] - ICC staining ERGI3 in SiHa cells (green). The nuclear counter stain is DAPI (blue). Cells were fixed in paraformaldehyde, permeabilised with 0.25% ...read more
Immunohistochemistry: ERGI3 Antibody [NBP2-76928] - Immunohistochemical analysis of paraffin-embedded mouse brain tissue using anti-ERGI3 antibody. Counter stained with hematoxylin.
Flow Cytometry: ERGI3 Antibody [NBP2-76928] - Flow cytometric analysis of LOVO cells with ERGI3 antibody at 1/100 dilution (red) compared with an unlabelled control (cells without incubation with primary antibody; ...read more
Immunocytochemistry/ Immunofluorescence: ERGI3 Antibody [NBP2-76928] - ICC staining ERGI3 in LOVO cells (green). The nuclear counter stain is DAPI (blue). Cells were fixed in paraformaldehyde, permeabilised with 0.25% ...read more
Immunohistochemistry: ERGI3 Antibody [NBP2-76928] - Immunohistochemical analysis of paraffin-embedded human colon cancer tissue using anti-ERGI3 antibody. Counter stained with hematoxylin.
Immunohistochemistry: ERGI3 Antibody [NBP2-76928] - Immunohistochemical analysis of paraffin-embedded human placenta tissue using anti-ERGI3 antibody. Counter stained with hematoxylin.
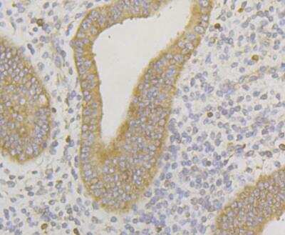
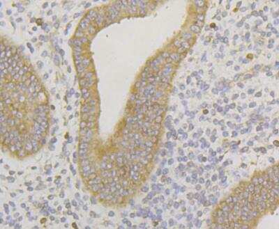
Immunohistochemistry: ERGI3 Antibody [NBP2-76928] - Immunohistochemical analysis of paraffin-embedded human uterus tissue using anti-ERGI3 antibody. Counter stained with hematoxylin.

Product Details

Summary
Product Discontinued
View other related ERGI3 Primary Antibodies

Order Details


    • Catalog Number
      NBP2-76928
    • Availability
      Product Discontinued

    Can't find what you are looking for? Use our Antibody Concierge Service & we will help you locate your antibody!

    Or feel free to contact us for alternative products.

ERGI3 Antibody Summary

Immunogen
Synthetic peptide within Human ERGI3 aa 334-383 / 383. (SwissProt: Q9Y282 Human; SwissProt: Q9CQE7 Mouse)
Localization
Endoplasmic reticulum. Golgi apparatus.
Isotype
IgG
Clonality
Polyclonal
Host
Rabbit
Gene
ERGIC3
Purity
Immunogen affinity purified
Innovator's Reward
Test in a species/application not listed above to receive a full credit towards a future purchase.

Applications/Dilutions

Dilutions
  • Flow Cytometry 1:50-1:100
  • Immunocytochemistry/ Immunofluorescence 1:50-1:200
  • Immunohistochemistry
  • Immunohistochemistry-Paraffin 1:50-1:200
  • Western Blot 1:500
Theoretical MW
55 kDa.
Disclaimer note: The observed molecular weight of the protein may vary from the listed predicted molecular weight due to post translational modifications, post translation cleavages, relative charges, and other experimental factors.

Packaging, Storage & Formulations

Storage
Store at 4C short term. Aliquot and store at -20C long term. Avoid freeze-thaw cycles.
Buffer
PBS (pH7.4), 0.2% BSA, 50% Glycerol
Preservative
0.05% Sodium Azide
Concentration
1 mg/ml
Purity
Immunogen affinity purified

Alternate Names for ERGI3 Antibody

  • C20orf47
  • CGI-54
  • chromosome 20 open reading frame 47
  • dJ477O4.2
  • endoplasmic reticulum-Golgi intermediate compartment protein 3
  • endoplasmic reticulum-localized protein ERp43
  • ERGIC and golgi 3
  • Erv46
  • NY-BR-84
  • PRO0989
  • SDBCAG84
  • serologically defined breast cancer antigen 84
  • Serologically defined breast cancer antigen NY-BR-84

Background

Possible role in transport between endoplasmic reticulum and Golgi (By similari

Limitations

This product is for research use only and is not approved for use in humans or in clinical diagnosis. Primary Antibodies are guaranteed for 1 year from date of receipt.

Customers Who Viewed This Item Also Viewed...

NBP2-03381
Species: Ca, Hu, Pm, Mu, Pm, Rt
Applications: Flow, ICC/IF, IHC,  IHC-P, WB
NBP2-56121
Species: Hu
Applications: ICC/IF, IHC,  IHC-P
NBP1-83962
Species: Hu
Applications: ICC/IF, IHC,  IHC-P, WB
H00008992-P01
Species: Hu
Applications: ELISA, AP, PA, WB
NBP2-34031
Species: Hu
Applications: ICC/IF, IHC,  IHC-P, WB
NBP2-33414
Species: Hu
Applications: ICC/IF, IHC,  IHC-P, WB
NBP2-31844
Species: Hu
Applications: ICC/IF, IHC,  IHC-P
NBP3-45596
Species: Hu, Mu, Rt
Applications: ELISA, IHC, IP, WB
NB110-55288
Species: Fi, Hu, Mu, Pm, Rt
Applications: Flow-IC, Flow, ICC/IF, IHC,  IHC-P, IP, Simple Western, WB
NBP1-80963
Species: Hu, Mu, Rt
Applications: ICC/IF, IHC,  IHC-P, WB
NBP1-33736
Species: Hu, Mu, Rt
Applications: ICC/IF, IHC,  IHC-P, IP, WB
NBP2-76928
Species: Hu, Mu, Rt
Applications: WB, Flow, ICC/IF, IHC

Publications for ERGI3 Antibody (NBP2-76928) (0)

There are no publications for ERGI3 Antibody (NBP2-76928).
By submitting your publication information earn gift cards and discounts for future purchases.

Reviews for ERGI3 Antibody (NBP2-76928) (0)

There are no reviews for ERGI3 Antibody (NBP2-76928). By submitting a review you will receive an Amazon e-Gift Card or Novus Product Discount.
  • Review with no image -- $10/€7/£6/$10 CAD/¥70 Yuan/¥1110 Yen
  • Review with an image -- $25/€18/£15/$25 CAD/¥150 Yuan/¥2500 Yen

Product General Protocols

Find general support by application which include: protocols, troubleshooting, illustrated assays, videos and webinars.

Video Protocols

WB Video Protocol
ICC/IF Video Protocol

FAQs for ERGI3 Antibody (NBP2-76928) (0)

There are no specific FAQs related to this product. Read our general customer & technical service FAQs.

Secondary Antibodies

 

Isotype Controls

Additional ERGI3 Products

Research Areas for ERGI3 Antibody (NBP2-76928)

Find related products by research area.

Blogs on ERGI3

There are no specific blogs for ERGI3, but you can read our latest blog posts.

Contact Information

Product PDFs

Calculators

Concentration Calculator

The concentration calculator allows you to quickly calculate the volume, mass or concentration of your vial. Simply enter your mass, volume, or concentration values for your reagent and the calculator will determine the rest.

=
÷

Review this Product

Be the first to review our ERGI3 Antibody and receive a gift card or discount.

Bioinformatics

Gene Symbol ERGIC3