ENTPD7 Antibody

Images

 
Western Blot: ENTPD7 Antibody [NBP2-16343] - Sample (30 ug of whole cell lysate) A: NT2D1 7. 5% SDS PAGE gel, diluted at 1:1000.
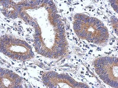
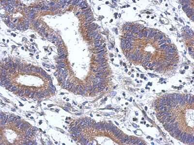
Immunohistochemistry-Paraffin: ENTPD7 Antibody [NBP2-16343] - Immunohistochemical analysis of paraffin-embedded Colon ca, using antibody at 1:500 dilution.

Product Details

Summary
Reactivity Hu, MuSpecies Glossary
Applications WB, IHC
Clonality
Polyclonal
Host
Rabbit
Conjugate
Unconjugated

Order Details

ENTPD7 Antibody Summary

Description
Novus Biologicals Rabbit ENTPD7 Antibody (NBP2-16343) is a polyclonal antibody validated for use in IHC and WB. All Novus Biologicals antibodies are covered by our 100% guarantee.
Immunogen
Recombinant protein encompassing a sequence within the N-terminus region of human ENTPD7. The exact sequence is proprietary.
Localization
Cytoplasmic vesicle membrane; Multi-pass membrane protein (Potential)
Predicted Species
Mouse (96%). Backed by our 100% Guarantee.
Isotype
IgG
Clonality
Polyclonal
Host
Rabbit
Gene
ENTPD7
Purity
Antigen Affinity-purified
Innovator's Reward
Test in a species/application not listed above to receive a full credit towards a future purchase.

Applications/Dilutions

Dilutions
  • Immunohistochemistry 1:100-1:1000
  • Immunohistochemistry-Paraffin 1:100-1:1000
  • Western Blot 1:500-1:3000
Theoretical MW
69 kDa.
Disclaimer note: The observed molecular weight of the protein may vary from the listed predicted molecular weight due to post translational modifications, post translation cleavages, relative charges, and other experimental factors.

Packaging, Storage & Formulations

Storage
Aliquot and store at -20C or -80C. Avoid freeze-thaw cycles.
Buffer
PBS, 1% BSA, 20% Glycerol
Preservative
0.01% Thimerosal
Purity
Antigen Affinity-purified

Alternate Names for ENTPD7 Antibody

  • DKFZp667O124
  • ectonucleoside triphosphate diphosphohydrolase 7
  • FLJ31830
  • LALP1
  • MGC141913
  • RP11-483F11.1

Limitations

This product is for research use only and is not approved for use in humans or in clinical diagnosis. Primary Antibodies are guaranteed for 1 year from date of receipt.

Customers Who Viewed This Item Also Viewed...

NBP1-31851
Species: Hu, Mu, Rt
Applications: ICC/IF, WB
NBP1-90071
Species: Eq, Hu, Mu, Po
Applications: Flow, ICC/IF, IHC,  IHC-P, WB
NBP1-19371
Species: Ca, Hu, Mu, Po, Rb, Rt
Applications: Dual ISH-IHC, Flow, ICC/IF, IHC, IHC-Fr,  IHC-P, Simple Western, WB
DY421
Species: Mu
Applications: ELISA
⚠ WARNING: This product can expose you to chemicals including mercury, which is known to the State of California to cause reproductive toxicity with developmental effects.  For more information go to www.P65Warnings.ca.gov.

Publications for ENTPD7 Antibody (NBP2-16343) (0)

There are no publications for ENTPD7 Antibody (NBP2-16343).
By submitting your publication information earn gift cards and discounts for future purchases.

Reviews for ENTPD7 Antibody (NBP2-16343) (0)

There are no reviews for ENTPD7 Antibody (NBP2-16343). By submitting a review you will receive an Amazon e-Gift Card or Novus Product Discount.
  • Review with no image -- $10/€7/£6/$10 CAD/¥70 Yuan/¥1110 Yen
  • Review with an image -- $25/€18/£15/$25 CAD/¥150 Yuan/¥2500 Yen

Product General Protocols

Find general support by application which include: protocols, troubleshooting, illustrated assays, videos and webinars.

Video Protocols

WB Video Protocol

FAQs for ENTPD7 Antibody (NBP2-16343) (0)

There are no specific FAQs related to this product. Read our general customer & technical service FAQs.

Customers Who Bought This Also Bought

Contact Information

Product PDFs

Calculators

Concentration Calculator

The concentration calculator allows you to quickly calculate the volume, mass or concentration of your vial. Simply enter your mass, volume, or concentration values for your reagent and the calculator will determine the rest.

=
÷

Review this Product

Be the first to review our ENTPD7 Antibody and receive a gift card or discount.

Bioinformatics

Gene Symbol ENTPD7
Uniprot