CD164L2 Antibody - BSA Free

Images

 
Immunocytochemistry/ Immunofluorescence: CD164L2 Antibody [NBP2-38010] - Staining of human cell line hTCEpi shows localization to plasma membrane. Antibody staining is shown in green.
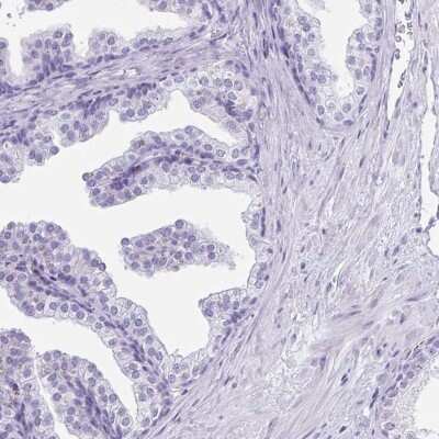
Orthogonal Strategies: Immunohistochemistry-Paraffin: CD164L2 Antibody [NBP2-38010] - Staining in human fallopian tube and prostate tissues using anti-CD164L2 antibody. Corresponding CD164L2 RNA-seq data are ...read more
Immunohistochemistry-Paraffin: CD164L2 Antibody [NBP2-38010] - Staining of human fallopian tube shows high expression.
Immunohistochemistry-Paraffin: CD164L2 Antibody [NBP2-38010] - Staining of human prostate shows low expression as expected.

Product Details

Summary
Reactivity Hu, Mu, RtSpecies Glossary
Applications ICC/IF, IHC
Clonality
Polyclonal
Host
Rabbit
Conjugate
Unconjugated
Format
BSA Free
Validated by:
       

Orthogonal Strategies

 

Order Details

View Available Formulations
Catalog# & Formulation Size Price

CD164L2 Antibody - BSA Free Summary

Description
Novus Biologicals Rabbit CD164L2 Antibody - BSA Free (NBP2-38010) is a polyclonal antibody validated for use in IHC and ICC/IF. All Novus Biologicals antibodies are covered by our 100% guarantee.
Immunogen
This antibody was developed against a recombinant protein corresponding to amino acids: VAFFVLHFLKAKDSTYQTLI
Predicted Species
Mouse (90%), Rat (90%). Backed by our 100% Guarantee.
Isotype
IgG
Clonality
Polyclonal
Host
Rabbit
Gene
CD164L2
Purity
Immunogen affinity purified
Innovator's Reward
Test in a species/application not listed above to receive a full credit towards a future purchase.

Applications/Dilutions

Dilutions
  • Immunocytochemistry/ Immunofluorescence 0.25-2 ug/ml
  • Immunohistochemistry 1:50 - 1:200
  • Immunohistochemistry-Paraffin 1:50 - 1:200
Application Notes
For IHC-Paraffin, HIER pH 6 retrieval is recommended. ICC/IF Fixation/Permeabilization: PFA/Triton X-100.
Control Peptide
CD164L2 Protein (NBP2-38010PEP)

Packaging, Storage & Formulations

Storage
Store at 4C short term. Aliquot and store at -20C long term. Avoid freeze-thaw cycles.
Buffer
PBS (pH 7.2) and 40% Glycerol
Preservative
0.02% Sodium Azide
Purity
Immunogen affinity purified

Alternate Names for CD164L2 Antibody - BSA Free

  • CD164 Sialomucin-Like 2 Protein
  • CD164 Sialomucin-Like 2
  • EAPG6122
  • UNQ6122

Limitations

This product is for research use only and is not approved for use in humans or in clinical diagnosis. Primary Antibodies are guaranteed for 1 year from date of receipt.

Customers Who Viewed This Item Also Viewed...

2367-FC
Species: Hu
Applications: Bind
NB200-540
Species: Ec, Mu
Applications: CyTOF-ready, Flow-IC, Flow, IA, ICC/IF, IHC, IHC-Fr,  IHC-P, IP

Publications for CD164L2 Antibody (NBP2-38010) (0)

There are no publications for CD164L2 Antibody (NBP2-38010).
By submitting your publication information earn gift cards and discounts for future purchases.

Reviews for CD164L2 Antibody (NBP2-38010) (0)

There are no reviews for CD164L2 Antibody (NBP2-38010). By submitting a review you will receive an Amazon e-Gift Card or Novus Product Discount.
  • Review with no image -- $10/€7/£6/$10 CAD/¥70 Yuan/¥1110 Yen
  • Review with an image -- $25/€18/£15/$25 CAD/¥150 Yuan/¥2500 Yen

Product General Protocols

Find general support by application which include: protocols, troubleshooting, illustrated assays, videos and webinars.

Video Protocols

ICC/IF Video Protocol

FAQs for CD164L2 Antibody (NBP2-38010) (0)

There are no specific FAQs related to this product. Read our general customer & technical service FAQs.

Customers Who Bought This Also Bought

Contact Information

Product PDFs

Calculators

Concentration Calculator

The concentration calculator allows you to quickly calculate the volume, mass or concentration of your vial. Simply enter your mass, volume, or concentration values for your reagent and the calculator will determine the rest.

=
÷

Review this Product

Be the first to review our CD164L2 Antibody - BSA Free and receive a gift card or discount.

Bioinformatics

Gene Symbol CD164L2
Uniprot