CABS1 Antibody - BSA Free

Images

 
Sample(30 ug whole cell lysate)A:MOLT4 10% SDS PAGENBP1-31573 diluted at 1:1000
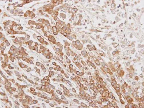
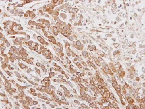
Immunohistochemical analysis of paraffin-embedded MDA-MB468 xenograft, using CABS1(NBP1-31573) antibody at 1:100 dilution. Antigen Retrieval: (EDTA based, pH 8.0) buffer, 15min

Product Details

Summary
Reactivity Hu, PmSpecies Glossary
Applications WB, IHC
Clonality
Polyclonal
Host
Rabbit
Conjugate
Unconjugated
Format
BSA Free

Order Details

CABS1 Antibody - BSA Free Summary

Description
Novus Biologicals Rabbit CABS1 Antibody - BSA Free (NBP1-31573) is a polyclonal antibody validated for use in IHC and WB. All Novus Biologicals antibodies are covered by our 100% guarantee.
Immunogen
Recombinant protein encompassing a sequence within the center region of human CABS1. The exact sequence is proprietary.
Localization
Cytoplasm, Mitochondrion
Predicted Species
Primate (97%). Backed by our 100% Guarantee.
Isotype
IgG
Clonality
Polyclonal
Host
Rabbit
Gene
CABS1
Purity
Antigen Affinity-purified
Innovator's Reward
Test in a species/application not listed above to receive a full credit towards a future purchase.

Applications/Dilutions

Dilutions
  • Immunohistochemistry 1:100-1:1000
  • Immunohistochemistry-Paraffin 1:100-1:1000
  • Western Blot 1:500-1:3000
Theoretical MW
43 kDa.
Disclaimer note: The observed molecular weight of the protein may vary from the listed predicted molecular weight due to post translational modifications, post translation cleavages, relative charges, and other experimental factors.

Packaging, Storage & Formulations

Storage
Aliquot and store at -20C or -80C. Avoid freeze-thaw cycles.
Buffer
0.1M Tris, 0.1M Glycine, 10% Glycerol
Preservative
0.01% Thimerosal
Purity
Antigen Affinity-purified

Alternate Names for CABS1 Antibody - BSA Free

  • C4orf35
  • calcium-binding protein, spermatid-specific 1
  • calcium-binding protein, sperm-specific 1
  • casein-like phosphoprotein
  • chromosome 4 open reading frame 35
  • CLPH
  • FLJ32897
  • NYD-SP26
  • Testis development protein NYD-SP26

Limitations

This product is for research use only and is not approved for use in humans or in clinical diagnosis. Primary Antibodies are guaranteed for 1 year from date of receipt.

Customers Who Viewed This Item Also Viewed...

NBP2-69049
Species: Hu
Applications: IHC,  IHC-P
NBP1-90195
Species: Hu
Applications: IHC,  IHC-P, WB
⚠ WARNING: This product can expose you to chemicals including mercury, which is known to the State of California to cause reproductive toxicity with developmental effects.  For more information go to www.P65Warnings.ca.gov.

Publications for CABS1 Antibody (NBP1-31573) (0)

There are no publications for CABS1 Antibody (NBP1-31573).
By submitting your publication information earn gift cards and discounts for future purchases.

Reviews for CABS1 Antibody (NBP1-31573) (0)

There are no reviews for CABS1 Antibody (NBP1-31573). By submitting a review you will receive an Amazon e-Gift Card or Novus Product Discount.
  • Review with no image -- $10/€7/£6/$10 CAD/¥70 Yuan/¥1110 Yen
  • Review with an image -- $25/€18/£15/$25 CAD/¥150 Yuan/¥2500 Yen

Product General Protocols

Find general support by application which include: protocols, troubleshooting, illustrated assays, videos and webinars.

Video Protocols

WB Video Protocol

FAQs for CABS1 Antibody (NBP1-31573) (0)

There are no specific FAQs related to this product. Read our general customer & technical service FAQs.

Customers Who Bought This Also Bought

Contact Information

Product PDFs

Calculators

Concentration Calculator

The concentration calculator allows you to quickly calculate the volume, mass or concentration of your vial. Simply enter your mass, volume, or concentration values for your reagent and the calculator will determine the rest.

=
÷

Review this Product

Be the first to review our CABS1 Antibody - BSA Free and receive a gift card or discount.

Bioinformatics

Gene Symbol CABS1