C14orf93 Antibody (2-F6)

Images

 
Western Blot: C14orf93 Antibody (2-F6) [NBP2-75425] - Analysis of C14orf93 on C14orf93-GST recombinant protein lysate using anti-C14orf93 antibody at 1/1,000 dilution.
Immunocytochemistry/ Immunofluorescence: C14orf93 Antibody (2-F6) [NBP2-75425] - Staining C14orf93 in HepG2 cells (green). The nuclear counter stain is DAPI (blue). Cells were fixed in paraformaldehyde, permeabilised ...read more
Immunohistochemistry-Paraffin: C14orf93 Antibody (2-F6) [NBP2-75425] - Analysis of paraffin-embedded human thyroid tissue using anti-C14orf93 antibody. Counter stained with hematoxylin.
Flow Cytometry: C14orf93 Antibody (2-F6) [NBP2-75425] - Analysis of SH-SY5Y cells with C14orf93 antibody at 1/100 dilution (red) compared with an unlabelled control (cells without incubation with primary antibody; ...read more
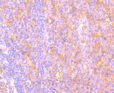
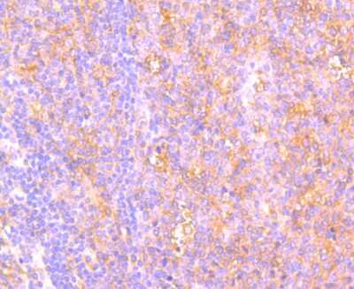
Immunohistochemistry-Paraffin: C14orf93 Antibody (2-F6) [NBP2-75425] - Analysis of paraffin-embedded human spleen tissue using anti-C14orf93 antibody. Counter stained with hematoxylin.
Immunohistochemistry-Paraffin: C14orf93 Antibody (2-F6) [NBP2-75425] - Analysis of paraffin-embedded human colon cancer tissue using anti-C14orf93 antibody. Counter stained with hematoxylin.

Product Details

Summary
Product Discontinued
View other related C14orf93 Primary Antibodies

Order Details


    • Catalog Number
      NBP2-75425
    • Availability
      Product Discontinued

    Can't find what you are looking for? Use our Antibody Concierge Service & we will help you locate your antibody!

    Or feel free to contact us for alternative products.

C14orf93 Antibody (2-F6) Summary

Immunogen
Recombinant protein within Human C14orf93 aa 1-263 / 538. (SwissProt: Q9H972 Human)
Localization
Secreted. Extracellular region.
Isotype
IgG1
Clonality
Monoclonal
Host
Mouse
Gene
C14orf93
Purity
Protein A purified
Innovator's Reward
Test in a species/application not listed above to receive a full credit towards a future purchase.

Applications/Dilutions

Dilutions
  • Flow Cytometry 1:50-1:200
  • Immunocytochemistry/ Immunofluorescence 1:50-1:200
  • Immunohistochemistry
  • Immunohistochemistry-Paraffin 1:50-1:200
  • Western Blot 1:500-1:1000
Theoretical MW
57 kDa.
Disclaimer note: The observed molecular weight of the protein may vary from the listed predicted molecular weight due to post translational modifications, post translation cleavages, relative charges, and other experimental factors.

Packaging, Storage & Formulations

Storage
Store at 4C short term. Aliquot and store at -20C long term. Avoid freeze-thaw cycles.
Buffer
PBS (pH7.4), 0.2% BSA, 50% Glycerol
Preservative
0.05% Sodium Azide
Concentration
2 mg/ml
Purity
Protein A purified

Alternate Names for C14orf93 Antibody (2-F6)

  • chromosome 14 open reading frame 93
  • EC 2.4.2.18
  • EC 2.4.2.21
  • FLJ12154
  • hypothetical protein LOC60686

Limitations

This product is for research use only and is not approved for use in humans or in clinical diagnosis. Primary Antibodies are guaranteed for 1 year from date of receipt.

Customers Who Viewed This Item Also Viewed...

NBP2-47539
Species: Hu
Applications: ChIP, ICC/IF, IHC,  IHC-P
NB100-858
Species: Gp, Hu, Mu, Rt
Applications: Flow, ICC/IF, IHC-WhMt, IHC, IHC-Fr,  IHC-P, PEP-ELISA, WB
AF4210
Species: Hu
Applications: IHC, Simple Western, WB
NB300-605
Species: Hu, Mu, Po, Rt
Applications: Flow, IB, ICC/IF, IHC, IHC-Fr,  IHC-P, In vitro, WB
H00011190-Q01
Species: Hu
Applications: ELISA, AP, PA, PAGE, WB
NB500-249
Species: Hu, Mu, Rt
Applications: Flow, ICC/IF, IHC, IHC-Fr,  IHC-P, IP, KD, Simple Western, WB
NBP1-87040
Species: Hu
Applications: ICC/IF, IHC,  IHC-P, WB
NBP1-88795
Species: Hu
Applications: IHC,  IHC-P, WB

Publications for C14orf93 Antibody (NBP2-75425) (0)

There are no publications for C14orf93 Antibody (NBP2-75425).
By submitting your publication information earn gift cards and discounts for future purchases.

Reviews for C14orf93 Antibody (NBP2-75425) (0)

There are no reviews for C14orf93 Antibody (NBP2-75425). By submitting a review you will receive an Amazon e-Gift Card or Novus Product Discount.
  • Review with no image -- $10/€7/£6/$10 CAD/¥70 Yuan/¥1110 Yen
  • Review with an image -- $25/€18/£15/$25 CAD/¥150 Yuan/¥2500 Yen

Product General Protocols

Find general support by application which include: protocols, troubleshooting, illustrated assays, videos and webinars.

Video Protocols

WB Video Protocol
ICC/IF Video Protocol

FAQs for C14orf93 Antibody (NBP2-75425) (0)

There are no specific FAQs related to this product. Read our general customer & technical service FAQs.

Contact Information

Product PDFs

Calculators

Concentration Calculator

The concentration calculator allows you to quickly calculate the volume, mass or concentration of your vial. Simply enter your mass, volume, or concentration values for your reagent and the calculator will determine the rest.

=
÷

Review this Product

Be the first to review our C14orf93 Antibody (2-F6) and receive a gift card or discount.

Bioinformatics

Gene Symbol C14orf93