Filter ResultsClear All
clearclear

Protein/Target

clearclearclearclearclearclearclearclear

Modification

clearclearclearclearclearclearclear

Has Sample Size

clear

Promotional Item

Sort By:
page of 5

Collagen I alpha 1 Antibodies

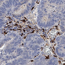
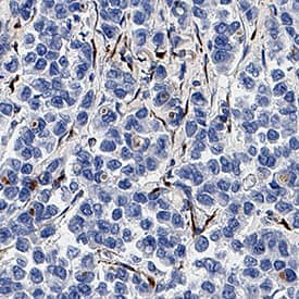
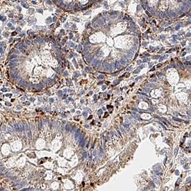
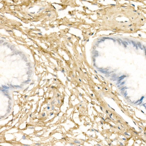
Collagen type I (also known as collagen alpha, COL1A1, and alpha-1 type I collagen) is a fibril-forming collagen found in cartilage and connective tissues, expressed in fibroblasts, osteoblasts, and odontoblasts. We offer antibodies to detect Collagen I alpha 1 that have been cited in 65+ publications with 5+ customer reviews. Browse our extensive catalog for polyclonal antibodies, monoclonal antibodies and Collagen type I conjugated antibodies. Validated research applications include ELISA, ICC, Immunofluorescence, IHC, IHC-Paraffin, IHC-Frozen, Simple Western, and Western Blot. Our collagen alpha antibodies can be used in a variety of model species including Human, Mouse, Rat, Primate, Bovine, Equine, Canine, Avian, Feline, Rabbit, Porcine, and Sheep. Choose the anti-Collagen type I antibody best suited for your research needs by viewing the technical details, images, references, reviews and related products. Each Collagen I alpha 1 antibody is fully covered by our Guarantee+.
Alternate Names for Collagen I alpha 1 Antibodies
anti-Collagen I alpha 1 antibody, anti-COL1A1 antibody, anti-Alpha-1 type I collagen antibody, anti-Collagen 1 alpha 1 antibody, anti-Collagen 1 antibody, anti-collagen alpha 1 chain type I antibody, anti-collagen alpha-1(I) chain antibody, anti-collagen of skin, tendon and bone, alpha-1 chain antibody, anti-collagen, type I, alpha 1 antibody, anti-Collagen-1 antibody, anti-Collagen1 antibody, anti-OI4 antibody, anti-pro-alpha-1 collagen type 1 antibody
55 Results for "collagen-i-alpha-1" in Primary Antibodies
Hu, Mu, Rt, Am, Av, Ma, Sh, Bv, Ca, Ch, Eq, Fe, Av-Bi, Gt, Gp, Ha, Pm, Rb, Vo, Xp
Species Glossary
Reactivity: Hu, Mu, Rt, Am, Av, Ma, Sh, Bv, Ca, Ch, Eq, Fe, Av-Bi, Gt, Gp, Ha, Pm, Rb, Vo, Xp
WB, Simple Western, ICC/IF, IHC
Applications: WB, Simple Western, ICC/IF, IHC
Rabbit Polyclonal
Host: Rabbit Polyclonal
Sample Size Available
Sizes: Sample Size Available
Unconjugated  
Available Formulations
Formulation Catalog # Availability Price  
compare
(select up to 3 products from this page to compare)
Hu, Mu, Rt, Po, Bv, Eq, Fe, Ma, Rb
Species Glossary
Reactivity: Hu, Mu, Rt, Po, Bv, Eq, Fe, Ma, Rb
WB, DB, ELISA, ICC/IF, IHC
Applications: WB, DB, ELISA, ICC/IF, IHC
Mouse Monoclonal
Host: Mouse Monoclonal
Sample Size Available
Sizes: Sample Size Available
Unconjugated  
compare
(select up to 3 products from this page to compare)
Hu
Species Glossary
Reactivity: Hu
WB, Simple Western, IP, ICC/IF
Applications: WB, Simple Western, IP, ICC/IF
Sheep Polyclonal
Host: Sheep Polyclonal
Sample Size Available
Sizes: Sample Size Available
Unconjugated  
Available Conjugates:
Available Formulations
Formulation Catalog # Availability Price  
compare
(select up to 3 products from this page to compare)
100 μg
Mu
Species Glossary
Reactivity: Mu
WB, Simple Western, IHC, ICC/IF, mIF
Applications: WB, Simple Western, IHC, ICC/IF, mIF
Rat Monoclonal
Host: Rat Monoclonal
Sample Size Available
Sizes: Sample Size Available
Unconjugated  
Available Conjugates:
Available Formulations
Formulation Catalog # Availability Price  
compare
(select up to 3 products from this page to compare)
100 μg
Hu
Species Glossary
Reactivity: Hu
WB, IHC, mIF
Applications: WB, IHC, mIF
Rabbit Monoclonal
Host: Rabbit Monoclonal
Sample Size Available
Sizes: Sample Size Available
Unconjugated  
Available Conjugates:
Available Formulations
Formulation Catalog # Availability Price  
compare
(select up to 3 products from this page to compare)
Hu, Mu, Po, Bt, Bv, Ca, Eq, Pm, Sh
Species Glossary
Reactivity: Hu, Mu, Po, Bt, Bv, Ca, Eq, Pm, Sh
ICC/IF, IHC, WB (-)
Applications: ICC/IF, IHC, WB (-)
Rabbit Polyclonal
Host: Rabbit Polyclonal
Sample Size Available
Sizes: Sample Size Available
Unconjugated  
Available Conjugates:
Available Formulations
Formulation Catalog # Availability Price  
compare
(select up to 3 products from this page to compare)
Hu, Mu, Rt
Species Glossary
Reactivity: Hu, Mu, Rt
WB, ELISA, ICC/IF, IHC
Applications: WB, ELISA, ICC/IF, IHC
Rabbit Polyclonal
Host: Rabbit Polyclonal
Sample Size Available
Sizes: Sample Size Available
Unconjugated  
Available Formulations
Formulation Catalog # Availability Price  
compare
(select up to 3 products from this page to compare)
Hu
Species Glossary
Reactivity: Hu
WB, ELISA
Applications: WB, ELISA
Rabbit Polyclonal
Host: Rabbit Polyclonal
Unconjugated  
compare
(select up to 3 products from this page to compare)
0.1 ml
Hu, Mu, Rt
Species Glossary
Reactivity: Hu, Mu, Rt
WB, ELISA, ICC/IF, IHC
Applications: WB, ELISA, ICC/IF, IHC
Rabbit Polyclonal
Host: Rabbit Polyclonal
Sample Size Available
Sizes: Sample Size Available
Unconjugated  
Available Formulations
Formulation Catalog # Availability Price  
compare
(select up to 3 products from this page to compare)
0.1 ml
Hu
Species Glossary
Reactivity: Hu
ICC/IF, IHC
Applications: ICC/IF, IHC
Rabbit Polyclonal
Host: Rabbit Polyclonal
Sample Size Available
Sizes: Sample Size Available
Unconjugated  
Available Formulations
Formulation Catalog # Availability Price  
compare
(select up to 3 products from this page to compare)
page of 5