VN1R1 Antibody

Images

 
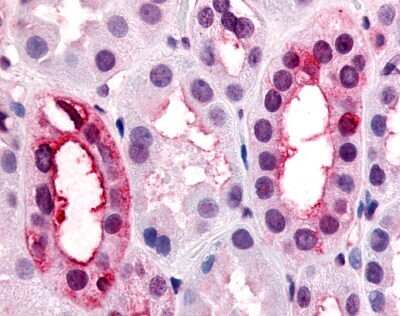
Immunohistochemistry-Paraffin: VN1R1 Antibody [NLS3460] - Analysis of anti-VN1R1 antibody with human kidney, renal tubules at 7 ug/ml.

Product Details

Summary
Product Discontinued
View other related VN1R1 Primary Antibodies

Order Details


    • Catalog Number
      NLS3460
    • Availability
      Product Discontinued

    Can't find what you are looking for? Use our Antibody Concierge Service & we will help you locate your antibody!

    Or feel free to contact us for alternative products.

VN1R1 Antibody Summary

Immunogen
Synthetic 17 amino acid peptide from 2nd extracellular domain of human VN1R1.
Specificity
Human VN1R1. BLAST analysis of the peptide immunogen showed no homology with other human proteins, except VN1R3 (53%).
Predicted Species
Primate (94%), Orangutan (94%), Chimpanzee (94%). Backed by our 100% Guarantee.
Isotype
IgG
Clonality
Polyclonal
Host
Rabbit
Gene
VN1R1
Purity
Immunogen affinity purified
Innovator's Reward
Test in a species/application not listed above to receive a full credit towards a future purchase.

Applications/Dilutions

Dilutions
  • Immunohistochemistry
  • Immunohistochemistry-Paraffin 7 - 18 ug/ml

Reactivity Notes

Predicted cross-reactivity based on sequence identity: Gorilla (100%), Chimpanzee (94%), Orangutan (94%).

Packaging, Storage & Formulations

Storage
Store at 4C short term. Aliquot and store at -20C long term. Avoid freeze-thaw cycles.
Buffer
PBS
Preservative
0.1% Sodium Azide
Concentration
1.0 mg/ml
Purity
Immunogen affinity purified

Alternate Names for VN1R1 Antibody

  • G-protein coupled receptor GPCR24
  • V1RL1hGPCR24
  • V1R-like 1
  • V1r-like receptor 1
  • V3r-related gene protein
  • VNR19I1
  • vomeronasal 1 receptor 1
  • Vomeronasal olfactory receptor chromosome 19 subtype I member 1
  • vomeronasal olfactory receptor, (chromosome 19) subtype I, member 1
  • vomeronasal type-1 receptor 1
  • ZVNH1
  • ZVNR1

Background

VN1R1 is the human homolog of the mouse pheromone receptor V1R. Two single nucleotide polymorphisms have been documented, and they result in amino acid changes (aa 201 S -> F and aa 229 A -> D). VN1R1 expression has been documented in the nasal mucosa. Low levels of expression has also been seen in the brain, lung, and kidney. ESTs have been isolated from brain, lung, and kidney.

Limitations

This product is for research use only and is not approved for use in humans or in clinical diagnosis. Primary Antibodies are guaranteed for 1 year from date of receipt.

Customers Who Viewed This Item Also Viewed...

NBP2-86894
Species: Hu
Applications: WB
NBP1-86869
Species: Hu
Applications: IHC,  IHC-P
NLS272
Species: Ha, Hu, Pm, Mu, Rb, Rt
Applications: IHC, IHC-Fr,  IHC-P
NBP2-48814
Species: Hu
Applications: IHC,  IHC-P
NBP1-86893
Species: Hu
Applications: ICC/IF, IHC,  IHC-P, WB
NB120-2938
Species: Bv, Hu, Mu
Applications: IHC,  IHC-P, WB
NBP2-24720
Species: Hu, Pm
Applications: IHC,  IHC-P, WB
NBP1-68971
Species: Hu
Applications: WB
NBP2-80537
Species: Mu
Applications: IHC,  IHC-P, WB
NBP2-13691
Species: Hu
Applications: IHC,  IHC-P

Publications for VN1R1 Antibody (NLS3460) (0)

There are no publications for VN1R1 Antibody (NLS3460).
By submitting your publication information earn gift cards and discounts for future purchases.

Reviews for VN1R1 Antibody (NLS3460) (0)

There are no reviews for VN1R1 Antibody (NLS3460). By submitting a review you will receive an Amazon e-Gift Card or Novus Product Discount.
  • Review with no image -- $10/€7/£6/$10 CAD/¥70 Yuan/¥1110 Yen
  • Review with an image -- $25/€18/£15/$25 CAD/¥150 Yuan/¥2500 Yen

Product General Protocols

View specific protocols for VN1R1 Antibody (NLS3460): Find general support by application which include: protocols, troubleshooting, illustrated assays, videos and webinars.

FAQs for VN1R1 Antibody (NLS3460) (0)

There are no specific FAQs related to this product. Read our general customer & technical service FAQs.

Secondary Antibodies

 

Isotype Controls

Additional VN1R1 Products

Research Areas for VN1R1 Antibody (NLS3460)

Find related products by research area.

Blogs on VN1R1

There are no specific blogs for VN1R1, but you can read our latest blog posts.

Contact Information

Product PDFs

Calculators

Concentration Calculator

The concentration calculator allows you to quickly calculate the volume, mass or concentration of your vial. Simply enter your mass, volume, or concentration values for your reagent and the calculator will determine the rest.

=
÷

Review this Product

Be the first to review our VN1R1 Antibody and receive a gift card or discount.

Bioinformatics

Gene Symbol VN1R1
Entrez