TTPAL Antibody - BSA Free

Images

 
Staining of human lymphoid tissues shows strong cytoplasmic membranous positivity in non-germinal center cells and germinal center cells.
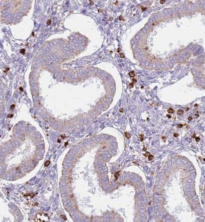
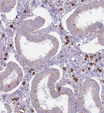
TTPAL- Antibody- NBP1-92544 -IHC-P-Staining of human endometrium shows strong cytoplasmic positivity in stromal cells.
Staining of human endometrium shows strong cytoplasmic positivity in stromal cells.
Staining of human lymphoid tissues shows strong cytoplasmic membranous positivity in non-germinal center cells and germinal center cells.
Analysis in control (vector only transfected HEK293T lysate) and TTPAL over-expression lysate (Co-expressed with a C-terminal myc-DDK tag (~3.1 kDa) in mammalian HEK293T cells).
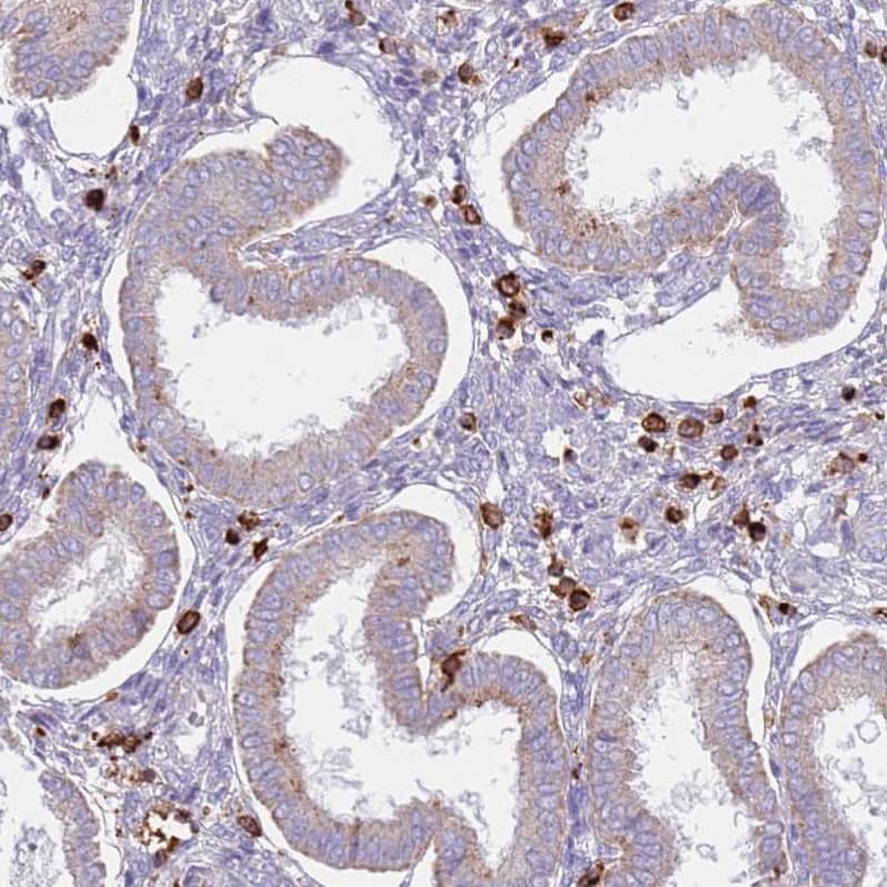
Staining of human pancreas shows strong cytoplasmic positivity in exocrine glandular cells.
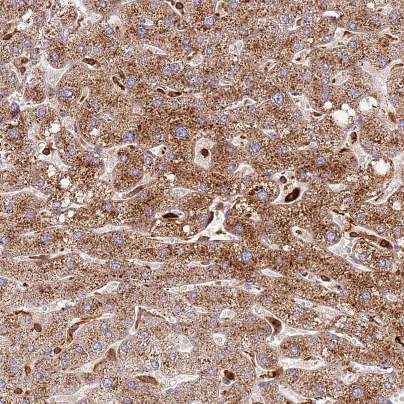
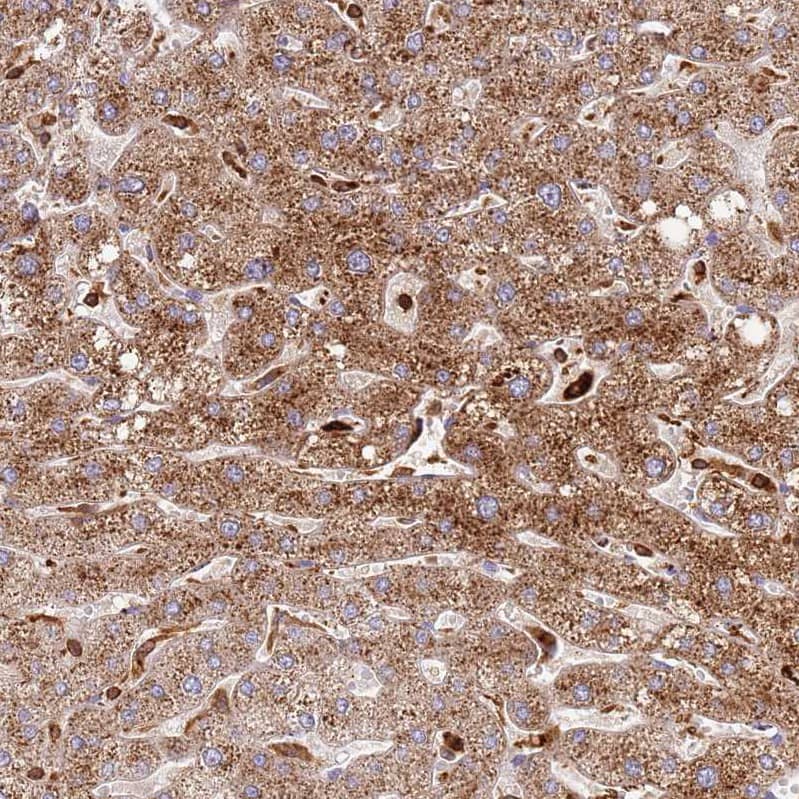
Staining of human liver shows strong positivity in cytoplasm granular in hepatocytes.

Product Details

Summary
Reactivity Hu, Mu, RtSpecies Glossary
Applications WB, IHC
Clonality
Polyclonal
Host
Rabbit
Conjugate
Unconjugated
Format
BSA Free

Order Details

View Available Formulations
Catalog# & Formulation Size Price

TTPAL Antibody - BSA Free Summary

Description
Novus Biologicals Rabbit TTPAL Antibody - BSA Free (NBP1-92544) is a polyclonal antibody validated for use in IHC and WB. All Novus Biologicals antibodies are covered by our 100% guarantee.
Immunogen
This antibody was developed against Recombinant Protein corresponding to amino acids: ARKFDYDRALQLLVNYHSCRRSWPEVFNNLKPSALKDVLASGFLTVLPHTDPRGCHVVCIRPDRWIPSNYPITENIRAIYLTLE
Predicted Species
Mouse (93%), Rat (94%). Backed by our 100% Guarantee.
Isotype
IgG
Clonality
Polyclonal
Host
Rabbit
Gene
TTPAL
Purity
Immunogen affinity purified
Innovator's Reward
Test in a species/application not listed above to receive a full credit towards a future purchase.

Applications/Dilutions

Dilutions
  • Immunohistochemistry 1:50 - 1:200
  • Immunohistochemistry-Paraffin 1:50 - 1:200
  • Western Blot 0.04-0.4 ug/ml
Application Notes
For IHC-Paraffin, HIER pH 6 retrieval is recommended.
Control Peptide
TTPAL Protein (NBP1-92544PEP)
Publications
Read Publication using NBP1-92544.

Packaging, Storage & Formulations

Storage
Store at 4C short term. Aliquot and store at -20C long term. Avoid freeze-thaw cycles.
Buffer
PBS (pH 7.2) and 40% Glycerol
Preservative
0.02% Sodium Azide
Purity
Immunogen affinity purified

Alternate Names for TTPAL Antibody - BSA Free

  • alpha-tocopherol transfer protein-like
  • C20orf121
  • chromosome 20 open reading frame 121
  • dJ179M20.3
  • DKFZp686E0870
  • MGC2470
  • tocopherol (alpha) transfer protein-like

Background

TTPAL may act as a protein that binds a hydrophobic ligand (Potential)

Limitations

This product is for research use only and is not approved for use in humans or in clinical diagnosis. Primary Antibodies are guaranteed for 1 year from date of receipt.

Publications for TTPAL Antibody (NBP1-92544)(1)

Reviews for TTPAL Antibody (NBP1-92544) (0)

There are no reviews for TTPAL Antibody (NBP1-92544). By submitting a review you will receive an Amazon e-Gift Card or Novus Product Discount.
  • Review with no image -- $10/€7/£6/$10 CAD/¥70 Yuan/¥1110 Yen
  • Review with an image -- $25/€18/£15/$25 CAD/¥150 Yuan/¥2500 Yen

Product General Protocols

Find general support by application which include: protocols, troubleshooting, illustrated assays, videos and webinars.

Video Protocols

WB Video Protocol

FAQs for TTPAL Antibody (NBP1-92544) (0)

There are no specific FAQs related to this product. Read our general customer & technical service FAQs.

Customers Who Bought This Also Bought

Contact Information

Product PDFs

Calculators

Concentration Calculator

The concentration calculator allows you to quickly calculate the volume, mass or concentration of your vial. Simply enter your mass, volume, or concentration values for your reagent and the calculator will determine the rest.

=
÷

Review this Product

Be the first to review our TTPAL Antibody - BSA Free and receive a gift card or discount.

Bioinformatics

Gene Symbol TTPAL