TMEM88B Antibody - BSA Free

Images

 
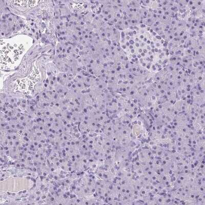
Orthogonal Strategies: Immunohistochemistry-Paraffin: TMEM88B Antibody [NBP2-38078] - Staining in human cerebral cortex and pancreas tissues using anti-TMEM88B antibody. Corresponding TMEM88B RNA-seq data are ...read more
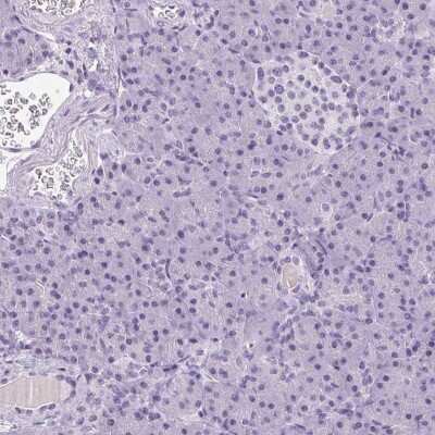
Immunohistochemistry-Paraffin: TMEM88B Antibody [NBP2-38078] - Staining of human pancreas shows low expression as expected.
Immunohistochemistry-Paraffin: TMEM88B Antibody [NBP2-38078] - Staining of human cerebral cortex shows high expression.

Product Details

Summary
Reactivity Hu, Mu, RtSpecies Glossary
Applications IHC
Clonality
Polyclonal
Host
Rabbit
Conjugate
Unconjugated
Format
BSA Free
Validated by:
       

Orthogonal Strategies

 

Order Details

View Available Formulations
Catalog# & Formulation Size Price

TMEM88B Antibody - BSA Free Summary

Description
Novus Biologicals Rabbit TMEM88B Antibody - BSA Free (NBP2-38078) is a polyclonal antibody validated for use in IHC. All Novus Biologicals antibodies are covered by our 100% guarantee.
Immunogen
This antibody was developed against a recombinant protein corresponding to amino acids: FLCHSRVHPAPGPRCRALFSDRG
Predicted Species
Mouse (96%), Rat (96%). Backed by our 100% Guarantee.
Isotype
IgG
Clonality
Polyclonal
Host
Rabbit
Gene
TMEM88B
Purity
Immunogen affinity purified
Innovator's Reward
Test in a species/application not listed above to receive a full credit towards a future purchase.

Applications/Dilutions

Dilutions
  • Immunohistochemistry 1:200 - 1:500
  • Immunohistochemistry-Paraffin 1:200 - 1:500
Application Notes
For IHC-Paraffin, HIER pH 6 retrieval is recommended.
Control Peptide
TMEM88B Protein (NBP2-38078PEP)
Reviewed Applications
Read 1 Review rated 5
using
NBP2-38078 in the following applications:

Packaging, Storage & Formulations

Storage
Store at 4C short term. Aliquot and store at -20C long term. Avoid freeze-thaw cycles.
Buffer
PBS (pH 7.2) and 40% Glycerol
Preservative
0.02% Sodium Azide
Purity
Immunogen affinity purified

Alternate Names for TMEM88B Antibody - BSA Free

  • Transmembrane Protein 88B

Limitations

This product is for research use only and is not approved for use in humans or in clinical diagnosis. Primary Antibodies are guaranteed for 1 year from date of receipt.

Publications for TMEM88B Antibody (NBP2-38078) (0)

There are no publications for TMEM88B Antibody (NBP2-38078).
By submitting your publication information earn gift cards and discounts for future purchases.

Review for TMEM88B Antibody (NBP2-38078) (1) 51

Average Rating: 5
(Based on 1 review)
We have 1 review tested in 1 species: Mouse.

Reviews using NBP2-38078:
Filter by Applications
IHC-Fr
(1)
All Applications
Filter by Species
Mouse
(1)
All Species
Images Ratings Applications Species Date Details
  5
reviewed by:
Wataru KIMURA
IHC-Fr Mouse 06/30/2018
View

Summary

ApplicationImmunohistochemistry-Frozen
Sample TestedAdult heart
SpeciesMouse
Lotr93378

Product General Protocols

Find general support by application which include: protocols, troubleshooting, illustrated assays, videos and webinars.

FAQs for TMEM88B Antibody (NBP2-38078) (0)

There are no specific FAQs related to this product. Read our general customer & technical service FAQs.

Customers Who Bought This Also Bought

Contact Information

Product PDFs

Calculators

Concentration Calculator

The concentration calculator allows you to quickly calculate the volume, mass or concentration of your vial. Simply enter your mass, volume, or concentration values for your reagent and the calculator will determine the rest.

=
÷

Recent Reviews

5
5
1
4
0
3
0
2
0
1
0

 
Wataru KIMURA
06/30/2018
Application: IHC-Fr
Species: Mouse

Bioinformatics

Gene Symbol TMEM88B
Uniprot