TIMM29 Antibody - BSA Free

Images

 
Immunocytochemistry/ Immunofluorescence: TIMM29 Antibody [NBP1-94151] - Staining of human cell line U-251 MG shows localization to nucleoplasm & mitochondria. Antibody staining is shown in green.
Immunohistochemistry-Paraffin: TIMM29 Antibody [NBP1-94151] - Staining of human duodenum shows strong nuclear positivity in glandular cells.
Western Blot: TIMM29 Antibody [NBP1-94151] - Analysis in human cell line PC-3.
Immunohistochemistry-Paraffin: TIMM29 Antibody [NBP1-94151] - Staining of human cerebral cortex shows strong nuclear positivity in glial cells.
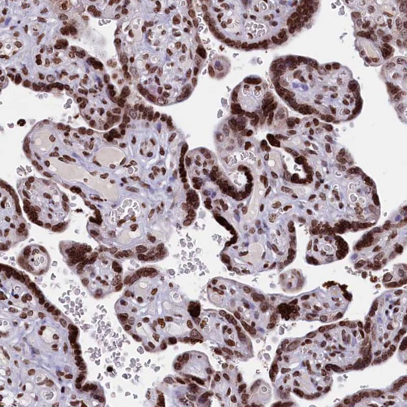
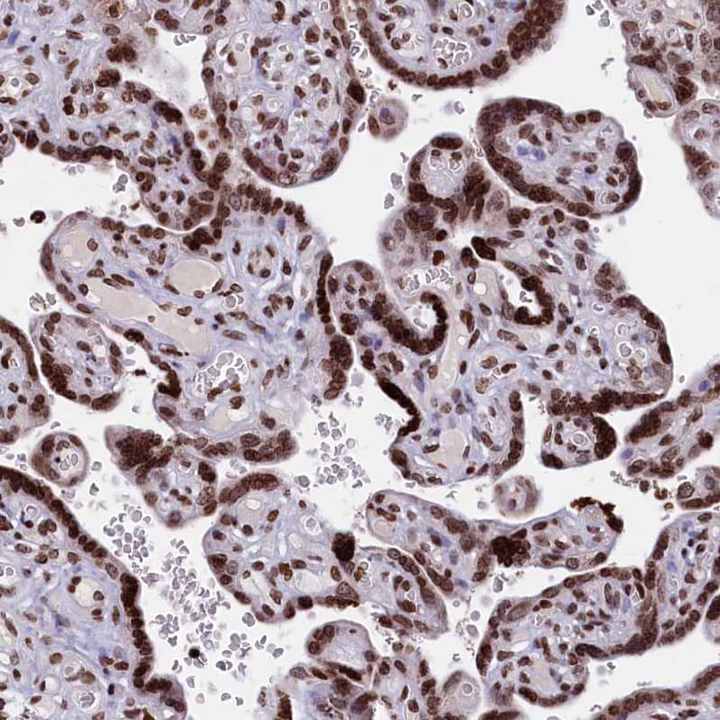
Immunohistochemistry-Paraffin: TIMM29 Antibody [NBP1-94151] - Staining of human placenta shows strong nuclear positivity in trophloblastic cells.
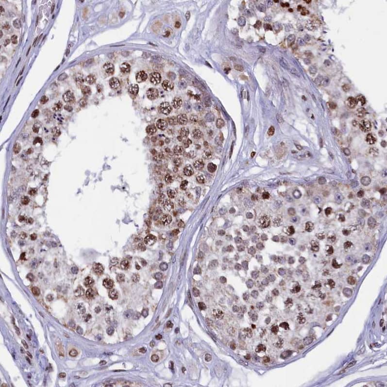
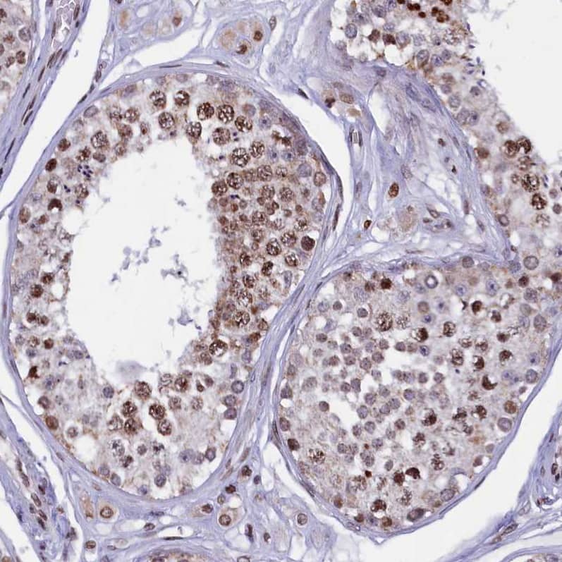
Staining of human testis shows moderate to strong nuclear positivity in cells in seminiferous ducts.
Staining of human placenta shows strong nuclear positivity in trophoblastic cells.
Analysis in mouse cell line NIH-3T3 and rat cell line NBT-II.
Analysis in human cell line PC-3.

Product Details

Summary
Reactivity Hu, Mu, RtSpecies Glossary
Applications WB, ICC/IF, IHC
Clonality
Polyclonal
Host
Rabbit
Conjugate
Unconjugated
Format
BSA Free

Order Details

View Available Formulations
Catalog# & Formulation Size Price

TIMM29 Antibody - BSA Free Summary

Description
Novus Biologicals Rabbit TIMM29 Antibody - BSA Free (NBP1-94151) is a polyclonal antibody validated for use in IHC, WB and ICC/IF. All Novus Biologicals antibodies are covered by our 100% guarantee.
Immunogen
This antibody was developed against Recombinant Protein corresponding to amino acids: LDVGFVGRWWVLGAWMRDCDINDDEFLHLPAHLRVVGPQQLHSETNERLFDEKYKPVVLTDDQVDQALWEEQVLQKEKKD
Isotype
IgG
Clonality
Polyclonal
Host
Rabbit
Gene
TIMM29
Purity
Immunogen affinity purified
Innovator's Reward
Test in a species/application not listed above to receive a full credit towards a future purchase.

Applications/Dilutions

Dilutions
  • Immunocytochemistry/ Immunofluorescence 0.25-2 ug/ml
  • Immunohistochemistry 1:500 - 1:1000
  • Immunohistochemistry-Paraffin 1:500-1:1000
  • Western Blot 0.04 - 0.4 ug/ml
Application Notes
For IHC-Paraffin, HIER pH 6 retrieval is recommended. ICC/IF Fixation Permeabilization: Use PFA/Triton X-100.
Control Peptide
TIMM29 Recombinant Protein Antigen (NBP1-94151PEP)

Packaging, Storage & Formulations

Storage
Store at 4C short term. Aliquot and store at -20C long term. Avoid freeze-thaw cycles.
Buffer
PBS (pH 7.2) and 40% Glycerol
Preservative
0.02% Sodium Azide
Purity
Immunogen affinity purified

Alternate Names for TIMM29 Antibody - BSA Free

  • chromosome 19 open reading frame 52
  • hypothetical protein LOC90580

Limitations

This product is for research use only and is not approved for use in humans or in clinical diagnosis. Primary Antibodies are guaranteed for 1 year from date of receipt.

Publications for TIMM29 Antibody (NBP1-94151) (0)

There are no publications for TIMM29 Antibody (NBP1-94151).
By submitting your publication information earn gift cards and discounts for future purchases.

Reviews for TIMM29 Antibody (NBP1-94151) (0)

There are no reviews for TIMM29 Antibody (NBP1-94151). By submitting a review you will receive an Amazon e-Gift Card or Novus Product Discount.
  • Review with no image -- $10/€7/£6/$10 CAD/¥70 Yuan/¥1110 Yen
  • Review with an image -- $25/€18/£15/$25 CAD/¥150 Yuan/¥2500 Yen

Product General Protocols

Find general support by application which include: protocols, troubleshooting, illustrated assays, videos and webinars.

Video Protocols

WB Video Protocol
ICC/IF Video Protocol

FAQs for TIMM29 Antibody (NBP1-94151) (0)

There are no specific FAQs related to this product. Read our general customer & technical service FAQs.

Customers Who Bought This Also Bought

Contact Information

Product PDFs

Calculators

Concentration Calculator

The concentration calculator allows you to quickly calculate the volume, mass or concentration of your vial. Simply enter your mass, volume, or concentration values for your reagent and the calculator will determine the rest.

=
÷

Review this Product

Be the first to review our TIMM29 Antibody - BSA Free and receive a gift card or discount.

Bioinformatics

Gene Symbol TIMM29