TBC1D8B Antibody - BSA Free

Images

 
Immunocytochemistry/ Immunofluorescence: TBC1D8B Antibody [NBP1-82191] - Immunofluorescent staining of human cell line U-2 OS shows localization to cytosol.
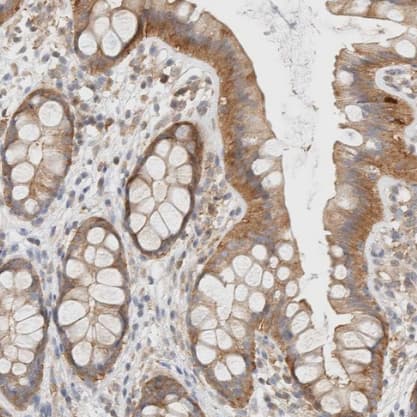
Immunohistochemistry-Paraffin: TBC1D8B Antibody [NBP1-82191] -Staining of human rectum shows strong cytoplasmic positivity in glandular cells.
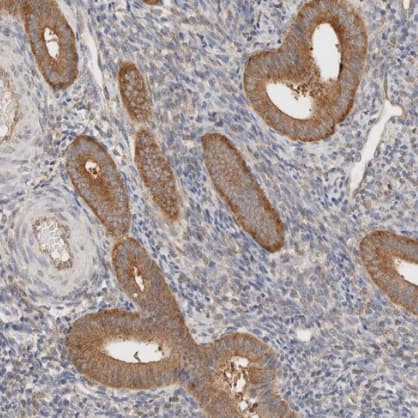
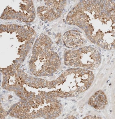
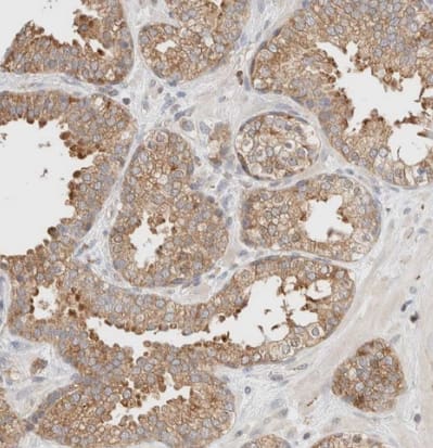
Immunohistochemistry-Paraffin: TBC1D8B Antibody [NBP1-82191] -Staining of human prostate shows strong cytoplasmic positivity in glandular cells.
Immunohistochemistry-Paraffin: TBC1D8B Antibody [NBP1-82191] -Staining of human endometrium shows strong cytoplasmic positivity in glandular cells.
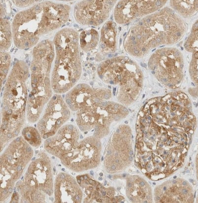
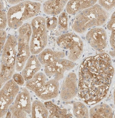
Immunohistochemistry-Paraffin: TBC1D8B Antibody [NBP1-82191] -Staining of human kidney shows strong cytoplasmic positivity in cells in tubules.

Product Details

Summary
Reactivity HuSpecies Glossary
Applications ICC/IF, IHC
Clonality
Polyclonal
Host
Rabbit
Conjugate
Unconjugated
Format
BSA Free

Order Details

View Available Formulations
Catalog# & Formulation Size Price

TBC1D8B Antibody - BSA Free Summary

Description
Novus Biologicals Rabbit TBC1D8B Antibody - BSA Free (NBP1-82191) is a polyclonal antibody validated for use in IHC and ICC/IF. All Novus Biologicals antibodies are covered by our 100% guarantee.
Immunogen
This antibody was developed against Recombinant Protein corresponding to amino acids: LHVSKPANEKEAESAKHSPEKGKGKIDIQAYLSQWQDELFKKEENIKDLPRMNQSQFIQFSKTLYNLFHEDPEEESLYQAIAVVTSLLLRMEEVGRKLHSPTSSAKGFSGTVCGSGGPSEEKTGSHLEKDPCSFREEPQWSFAFEQILA
Isotype
IgG
Clonality
Polyclonal
Host
Rabbit
Gene
TBC1D8B
Purity
Immunogen affinity purified
Innovator's Reward
Test in a species/application not listed above to receive a full credit towards a future purchase.

Applications/Dilutions

Dilutions
  • Immunocytochemistry/ Immunofluorescence 0.25-2 ug/ml
  • Immunohistochemistry 1:50 - 1:200
  • Immunohistochemistry-Paraffin 1:50 - 1:200
Application Notes
For IHC-Paraffin, HIER pH 6 retrieval is recommended. ICC/IF,Fixation Permeabilization: Use PFA/Triton X-100.
Control Peptide
TBC1D8B Protein (NBP1-82191PEP)

Packaging, Storage & Formulations

Storage
Store at 4C short term. Aliquot and store at -20C long term. Avoid freeze-thaw cycles.
Buffer
PBS (pH 7.2) and 40% Glycerol
Preservative
0.02% Sodium Azide
Purity
Immunogen affinity purified

Alternate Names for TBC1D8B Antibody - BSA Free

  • RP11-321G1.1
  • TBC1 domain family, member 8B (with GRAM domain)

Background

TBC1D8B may act as a GTPase-activating protein for Rab family protein(s)

Limitations

This product is for research use only and is not approved for use in humans or in clinical diagnosis. Primary Antibodies are guaranteed for 1 year from date of receipt.

Publications for TBC1D8B Antibody (NBP1-82191) (0)

There are no publications for TBC1D8B Antibody (NBP1-82191).
By submitting your publication information earn gift cards and discounts for future purchases.

Reviews for TBC1D8B Antibody (NBP1-82191) (0)

There are no reviews for TBC1D8B Antibody (NBP1-82191). By submitting a review you will receive an Amazon e-Gift Card or Novus Product Discount.
  • Review with no image -- $10/€7/£6/$10 CAD/¥70 Yuan/¥1110 Yen
  • Review with an image -- $25/€18/£15/$25 CAD/¥150 Yuan/¥2500 Yen

Product General Protocols

Find general support by application which include: protocols, troubleshooting, illustrated assays, videos and webinars.

Video Protocols

ICC/IF Video Protocol

FAQs for TBC1D8B Antibody (NBP1-82191) (0)

There are no specific FAQs related to this product. Read our general customer & technical service FAQs.

Customers Who Bought This Also Bought

Contact Information

Product PDFs

Calculators

Concentration Calculator

The concentration calculator allows you to quickly calculate the volume, mass or concentration of your vial. Simply enter your mass, volume, or concentration values for your reagent and the calculator will determine the rest.

=
÷

Review this Product

Be the first to review our TBC1D8B Antibody - BSA Free and receive a gift card or discount.

Bioinformatics

Gene Symbol TBC1D8B