Storkhead Box 2 Antibody - BSA Free

Images

 
Western Blot: Storkhead Box 2 Antibody [NBP2-30480] - Lane 1: Marker [kDa] 250, 130, 95, 72, 55, 36, 28, 17, 10. Lane 2: Human cell line RT-4. Lane 3: Human cell line U-251MG sp
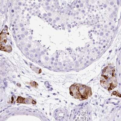
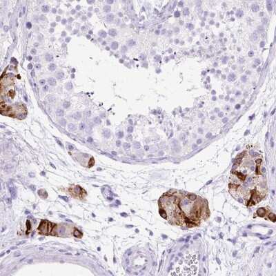
Immunohistochemistry: Storkhead Box 2 Antibody [NBP2-30480] - Staining of human testis shows strong cytoplasmic positivity in Leydig cells.

Product Details

Summary
Reactivity Hu, Mu, RtSpecies Glossary
Applications WB, IHC
Clonality
Polyclonal
Host
Rabbit
Conjugate
Unconjugated
Format
BSA Free

Order Details

Storkhead Box 2 Antibody - BSA Free Summary

Description
Novus Biologicals Rabbit Storkhead Box 2 Antibody - BSA Free (NBP2-30480) is a polyclonal antibody validated for use in IHC and WB. All Novus Biologicals antibodies are covered by our 100% guarantee.
Immunogen
This antibody was developed against a recombinant protein corresponding to amino acids: HLDERIPDRSQCTSPQPGTITPSASGCVRERTLPRNHCDSCHCCREDVHSTHAPTLQRKSAKDCKDPYCPPSLCQVPPTEKSKSTVNFSYKTETLSKPK
Predicted Species
Mouse (94%), Rat (91%). Backed by our 100% Guarantee.
Isotype
IgG
Clonality
Polyclonal
Host
Rabbit
Gene
STOX2
Purity
Affinity purified
Innovator's Reward
Test in a species/application not listed above to receive a full credit towards a future purchase.

Applications/Dilutions

Dilutions
  • Immunohistochemistry 1:50 - 1:200
  • Immunohistochemistry-Paraffin 1:50 - 1:200
  • Western Blot 0.04-0.4 ug/ml
Application Notes
For IHC-Paraffin, HIER pH 6 retrieval is recommended.
Control Peptide
Storkhead Box 2 Protein (NBP2-30480PEP)

Packaging, Storage & Formulations

Storage
Store at 4C short term. Aliquot and store at -20C long term. Avoid freeze-thaw cycles.
Buffer
PBS (pH 7.2) and 40% Glycerol
Preservative
0.02% Sodium Azide
Purity
Affinity purified

Alternate Names for Storkhead Box 2 Antibody - BSA Free

  • KIAA1392
  • Storkhead-Box Protein 2
  • STOX2
  • STOX-2

Limitations

This product is for research use only and is not approved for use in humans or in clinical diagnosis. Primary Antibodies are guaranteed for 1 year from date of receipt.

Customers Who Viewed This Item Also Viewed...

NBP1-85677
Species: Hu
Applications: ICC/IF, IHC,  IHC-P, WB
NBP1-90745
Species: Hu
Applications: ICC/IF, IHC,  IHC-P

Publications for Storkhead Box 2 Antibody (NBP2-30480) (0)

There are no publications for Storkhead Box 2 Antibody (NBP2-30480).
By submitting your publication information earn gift cards and discounts for future purchases.

Reviews for Storkhead Box 2 Antibody (NBP2-30480) (0)

There are no reviews for Storkhead Box 2 Antibody (NBP2-30480). By submitting a review you will receive an Amazon e-Gift Card or Novus Product Discount.
  • Review with no image -- $10/€7/£6/$10 CAD/¥70 Yuan/¥1110 Yen
  • Review with an image -- $25/€18/£15/$25 CAD/¥150 Yuan/¥2500 Yen

Product General Protocols

Find general support by application which include: protocols, troubleshooting, illustrated assays, videos and webinars.

Video Protocols

WB Video Protocol

FAQs for Storkhead Box 2 Antibody (NBP2-30480) (0)

There are no specific FAQs related to this product. Read our general customer & technical service FAQs.

Customers Who Bought This Also Bought

Contact Information

Product PDFs

Calculators

Concentration Calculator

The concentration calculator allows you to quickly calculate the volume, mass or concentration of your vial. Simply enter your mass, volume, or concentration values for your reagent and the calculator will determine the rest.

=
÷

Review this Product

Be the first to review our Storkhead Box 2 Antibody - BSA Free and receive a gift card or discount.

Bioinformatics

Gene Symbol STOX2
Uniprot