SPATC1L Antibody (OTI1H6) - Azide and BSA Free

Images

 
Western Blot: SPATC1L Antibody (OTI1H6) - Azide and BSA Free [NBP2-72277] - HEK293T cells were transfected with the pCMV6-ENTRY control (Left lane) or pCMV6-ENTRY C21orf56 (Right lane) cDNA for 48 hrs and lysed. ...read more
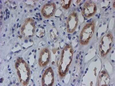
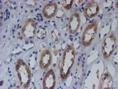
Immunohistochemistry: SPATC1L Antibody (OTI1H6) - Azide and BSA Free [NBP2-72277] - Staining of paraffin-embedded Human Kidney tissue using anti-C21orf56 mouse monoclonal antibody.
Flow Cytometry: SPATC1L Antibody (OTI1H6) - Azide and BSA Free [NBP2-72277] - HEK293T cells transfected with either overexpression plasmid (Red) or empty vector control plasmid (Blue) were immunostaining by ...read more
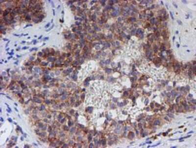
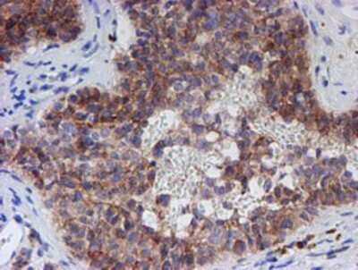
Immunohistochemistry: SPATC1L Antibody (OTI1H6) - Azide and BSA Free [NBP2-72277] - Staining of paraffin-embedded Adenocarcinoma of Human endometrium tissue using anti-C21orf56 mouse monoclonal antibody.
Immunohistochemistry: SPATC1L Antibody (OTI1H6) - Azide and BSA Free [NBP2-72277] - Staining of paraffin-embedded Human pancreas tissue using anti-C21orf56 mouse monoclonal antibody.
Flow Cytometry: SPATC1L Antibody (OTI1H6) - Azide and BSA Free [NBP2-72277] - Analysis of extracts (35ug) from 9 different cell lines by using g anti-C21orf56 monoclonal antibody (HepG2: human; HeLa: human; SVT2: mouse; ...read more
Flow Cytometry: SPATC1L Antibody (OTI1H6) - Azide and BSA Free [NBP2-72277] - Analysis of Jurkat cells, using anti-C21orf56 antibody, (Red), compared to a nonspecific negative control antibody (Blue).

Product Details

Summary
Reactivity Hu, Mu, Rt, CaSpecies Glossary
Applications WB, Flow, IHC, CyTOF-ready
Clone
OTI1H6
Clonality
Monoclonal
Host
Mouse
Conjugate
Unconjugated
Format
Azide and BSA Free
Concentration
LYOPH

Order Details

SPATC1L Antibody (OTI1H6) - Azide and BSA Free Summary

Description
Novus Biologicals Mouse SPATC1L Antibody (OTI1H6) - Azide and BSA Free (NBP2-01999) is a monoclonal antibody validated for use in IHC, WB and Flow. All Novus Biologicals antibodies are covered by our 100% guarantee.
Immunogen
Full length human recombinant protein of human C21orf56(NP_115637) produced in HEK293T cell.
Isotype
IgG1
Clonality
Monoclonal
Host
Mouse
Gene
SPATC1L
Purity
Immunogen affinity purified
Innovator's Reward
Test in a species/application not listed above to receive a full credit towards a future purchase.

Applications/Dilutions

Dilutions
  • CyTOF-ready
  • Flow Cytometry 1:100
  • Immunohistochemistry 1:150
  • Immunohistochemistry-Paraffin
  • Western Blot 1:500-2000
Theoretical MW
20.9 kDa.
Disclaimer note: The observed molecular weight of the protein may vary from the listed predicted molecular weight due to post translational modifications, post translation cleavages, relative charges, and other experimental factors.

Reactivity Notes

Please note that this antibody is reactive to Mouse and derived from the same host, Mouse. Mouse-On-Mouse blocking reagent may be needed for IHC and ICC experiments to reduce high background signal. You can find these reagents under catalog numbers PK-2200-NB and MP-2400-NB. Please contact Technical Support if you have any questions.

Packaging, Storage & Formulations

Storage
Store at -20C. Avoid freeze-thaw cycles.
Buffer
Lyophilized from PBS (pH 7.3) with 8% Trehalose
Preservative
No Preservative
Concentration
LYOPH
Purity
Immunogen affinity purified
Reconstitution Instructions
we recommend adding 100uL distilled water to a final antibody concentration of about 1 mg/mL. To use this carrier-free antibody for conjugation experiment, we strongly recommend performing another round of desalting process.

Alternate Names for SPATC1L Antibody (OTI1H6) - Azide and BSA Free

  • chromosome 21 open reading frame 56
  • DKFZp434N0650
  • MGC99490

Limitations

This product is for research use only and is not approved for use in humans or in clinical diagnosis. Primary Antibodies are guaranteed for 1 year from date of receipt.

Customers Who Viewed This Item Also Viewed...

NB100-168
Species: Hu, Mu(-)
Applications: CyTOF-ready, Flow-IC, Flow, ICC/IF, IHC,  IHC-P, Simple Western, WB
H00004595-M01
Species: Hu, Mu
Applications: ELISA, ICC/IF, IHC,  IHC-P, IP, KD, WB

Publications for SPATC1L Antibody (NBP2-72277) (0)

There are no publications for SPATC1L Antibody (NBP2-72277).
By submitting your publication information earn gift cards and discounts for future purchases.

Reviews for SPATC1L Antibody (NBP2-72277) (0)

There are no reviews for SPATC1L Antibody (NBP2-72277). By submitting a review you will receive an Amazon e-Gift Card or Novus Product Discount.
  • Review with no image -- $10/€7/£6/$10 CAD/¥70 Yuan/¥1110 Yen
  • Review with an image -- $25/€18/£15/$25 CAD/¥150 Yuan/¥2500 Yen

Product General Protocols

Find general support by application which include: protocols, troubleshooting, illustrated assays, videos and webinars.

Video Protocols

WB Video Protocol

FAQs for SPATC1L Antibody (NBP2-72277) (0)

There are no specific FAQs related to this product. Read our general customer & technical service FAQs.

Customers Who Bought This Also Bought

Contact Information

Product PDFs

Calculators

Concentration Calculator

The concentration calculator allows you to quickly calculate the volume, mass or concentration of your vial. Simply enter your mass, volume, or concentration values for your reagent and the calculator will determine the rest.

=
÷

Review this Product

Be the first to review our SPATC1L Antibody (OTI1H6) - Azide and BSA Free and receive a gift card or discount.

Bioinformatics

Gene Symbol SPATC1L