SPATA2L Antibody (OTI3F6) - Azide and BSA Free

Images

 
Western Blot: SPATA2L Antibody (OTI3F6) - Azide and BSA Free [NBP2-74310] - Analysis of HEK293T cells were transfected with the pCMV6-ENTRY control (Left lane) or pCMV6-ENTRY SPATA2L .
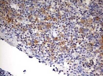
Immunohistochemistry: SPATA2L Antibody (OTI3F6) - Azide and BSA Free [NBP2-74310] - Analysis of Human lymph node tissue.
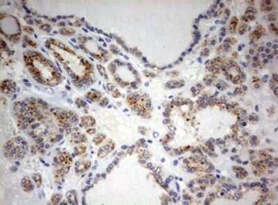
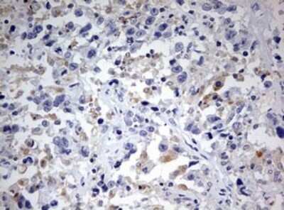
Immunohistochemistry: SPATA2L Antibody (OTI3F6) - Azide and BSA Free [NBP2-74310] - Analysis of Adenocarcinoma of Human ovary tissue.
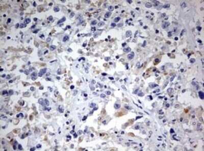
Immunohistochemistry: SPATA2L Antibody (OTI3F6) - Azide and BSA Free [NBP2-74310] - Analysis of Carcinoma of Human thyroid tissue.
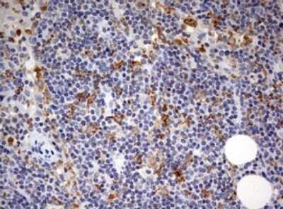
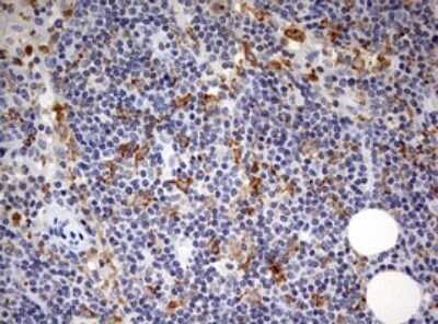
Immunohistochemistry: SPATA2L Antibody (OTI3F6) - Azide and BSA Free [NBP2-74310] - Analysis of Human tonsil tissue. Dilution: 1:150

Product Details

Summary
Reactivity Hu, Mu, RtSpecies Glossary
Applications WB, IHC
Clone
OTI3F6
Clonality
Monoclonal
Host
Mouse
Conjugate
Unconjugated
Format
Azide and BSA Free
Concentration
LYOPH

Order Details

SPATA2L Antibody (OTI3F6) - Azide and BSA Free Summary

Description
Novus Biologicals Mouse SPATA2L Antibody (OTI3F6) - Azide and BSA Free (NBP2-45940) is a monoclonal antibody validated for use in IHC and WB. All Novus Biologicals antibodies are covered by our 100% guarantee.
Immunogen
Human recombinant protein fragment corresponding to amino acids 179-424 of human SPATA2L (NP_689552) produced in E.coli.
Isotype
IgG2a
Clonality
Monoclonal
Host
Mouse
Gene
SPATA2L
Purity
Immunogen affinity purified
Innovator's Reward
Test in a species/application not listed above to receive a full credit towards a future purchase.

Applications/Dilutions

Dilutions
  • Immunohistochemistry
  • Immunohistochemistry-Paraffin
  • Western Blot 1:2000
Theoretical MW
46 kDa.
Disclaimer note: The observed molecular weight of the protein may vary from the listed predicted molecular weight due to post translational modifications, post translation cleavages, relative charges, and other experimental factors.

Reactivity Notes

Please note that this antibody is reactive to Mouse and derived from the same host, Mouse. Mouse-On-Mouse blocking reagent may be needed for IHC and ICC experiments to reduce high background signal. You can find these reagents under catalog numbers PK-2200-NB and MP-2400-NB. Please contact Technical Support if you have any questions.

Packaging, Storage & Formulations

Storage
Store at -20C. Avoid freeze-thaw cycles.
Buffer
Lyophilized from PBS (pH 7.3) with 8% Trehalose
Preservative
No Preservative
Concentration
LYOPH
Purity
Immunogen affinity purified
Reconstitution Instructions
we recommend adding 100uL distilled water to a final antibody concentration of about 1 mg/mL. To use this carrier-free antibody for conjugation experiment, we strongly recommend performing another round of desalting process.

Alternate Names for SPATA2L Antibody (OTI3F6) - Azide and BSA Free

  • C16orf76
  • chromosome 16 open reading frame 76
  • MGC26885
  • SPATA2-like protein
  • spermatogenesis associated 2-like
  • spermatogenesis-associated protein 2-like protein
  • tamo

Limitations

This product is for research use only and is not approved for use in humans or in clinical diagnosis. Primary Antibodies are guaranteed for 1 year from date of receipt.

Customers Who Viewed This Item Also Viewed...

NBP1-83213
Species: Hu
Applications: IHC,  IHC-P, WB
NBP2-61832
Species: Hu, Pm, Mu, Rt
Applications: ELISA, Flow, ICC/IF, IHC,  IHC-P, WB
AF2699
Species: Mu
Applications: Simple Western, WB
NB100-56583
Species: Hu, Rb, Rt
Applications: Flow, IHC,  IHC-P, KO, Simple Western, WB

Publications for SPATA2L Antibody (NBP2-74310) (0)

There are no publications for SPATA2L Antibody (NBP2-74310).
By submitting your publication information earn gift cards and discounts for future purchases.

Reviews for SPATA2L Antibody (NBP2-74310) (0)

There are no reviews for SPATA2L Antibody (NBP2-74310). By submitting a review you will receive an Amazon e-Gift Card or Novus Product Discount.
  • Review with no image -- $10/€7/£6/$10 CAD/¥70 Yuan/¥1110 Yen
  • Review with an image -- $25/€18/£15/$25 CAD/¥150 Yuan/¥2500 Yen

Product General Protocols

Find general support by application which include: protocols, troubleshooting, illustrated assays, videos and webinars.

Video Protocols

WB Video Protocol

FAQs for SPATA2L Antibody (NBP2-74310) (0)

There are no specific FAQs related to this product. Read our general customer & technical service FAQs.

Secondary Antibodies

 

Isotype Controls

Additional SPATA2L Products

Research Areas for SPATA2L Antibody (NBP2-74310)

Find related products by research area.

Blogs on SPATA2L

There are no specific blogs for SPATA2L, but you can read our latest blog posts.

Customers Who Bought This Also Bought

Contact Information

Product PDFs

Calculators

Concentration Calculator

The concentration calculator allows you to quickly calculate the volume, mass or concentration of your vial. Simply enter your mass, volume, or concentration values for your reagent and the calculator will determine the rest.

=
÷

Review this Product

Be the first to review our SPATA2L Antibody (OTI3F6) - Azide and BSA Free and receive a gift card or discount.

Bioinformatics

Gene Symbol SPATA2L