SHCBP1L Antibody - BSA Free

Images

 
Immunohistochemistry-Paraffin: SHCBP1L Antibody [NBP1-90716] - Staining of human cerebral cortex.
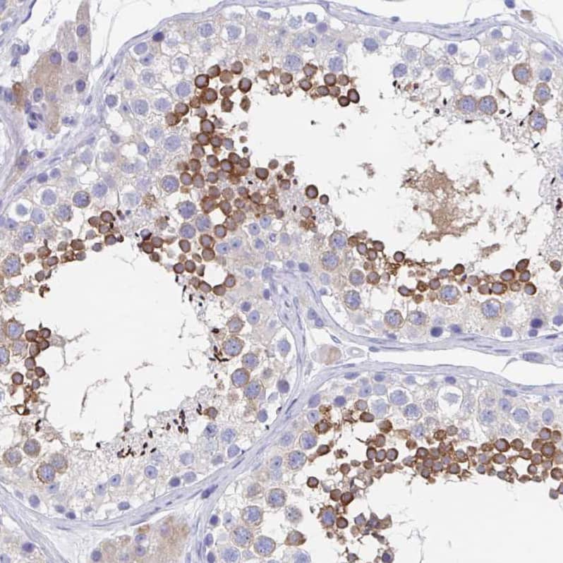
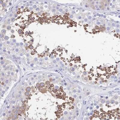
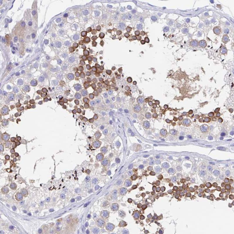
Immunohistochemistry-Paraffin: SHCBP1L Antibody [NBP1-90716] - Staining of human testis shows strong cytoplasmic positivity in cells in seminiferus ducts.
Immunohistochemistry-Paraffin: SHCBP1L Antibody [NBP1-90716] - Staining of human endometrium shows low expression as expected.
Immunohistochemistry-Paraffin: SHCBP1L Antibody [NBP1-90716] - Staining of human testis shows high expression.
Orthogonal Strategies: Immunohistochemistry-Paraffin: SHCBP1L Antibody [NBP1-90716] - Staining in human testis and endometrium tissues using anti-SHCBP1L antibody. Corresponding SHCBP1L RNA-seq data are presented ...read more
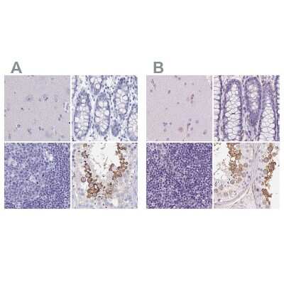
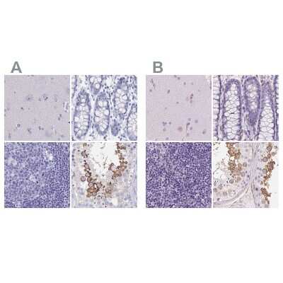
Independent Antibodies: Immunohistochemistry-Paraffin: SHCBP1L Antibody [NBP1-90716] - Staining of human cerebral cortex, colon, lymph node and testis using Anti-SHCBP1L antibody NBP1-90716 (A) shows similar ...read more
Immunohistochemistry-Paraffin: SHCBP1L Antibody [NBP1-90716] - Staining of human lymph node.
Immunohistochemistry-Paraffin: SHCBP1L Antibody [NBP1-90716] - Staining of human colon.
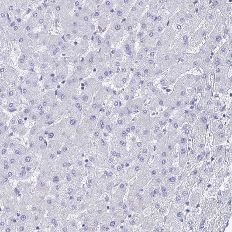
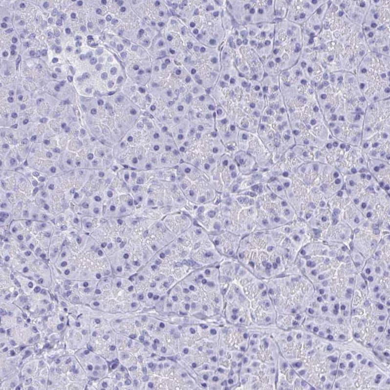
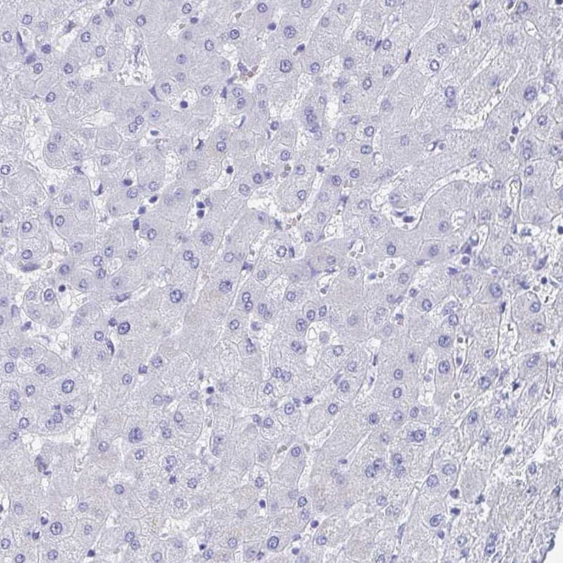
Staining of human liver shows no positivity in hepatocytes as expected.
Staining of human liver).
Orthogonal Strategies: Analysis in human testis and liver tissues using NBP1-90716 antibody. Corresponding SHCBP1L RNA-seq data are presented for the same tissues.
Staining of human pancreas shows no positivity in exocrine glandular cells as expected.
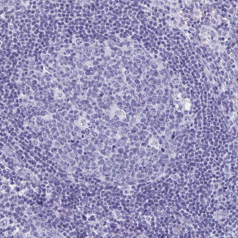
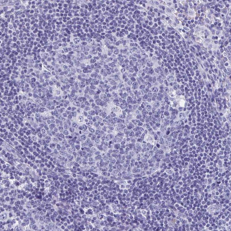
Staining of human lymph node shows no positivity in germinal center cells as expected.
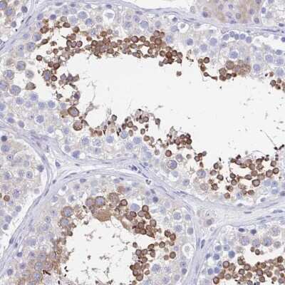
Staining of human testis shows moderate cytoplasmic positivity in subset of cells in seminiferous ducts.

Product Details

Summary
Reactivity Hu, Mu, RtSpecies Glossary
Applications IHC
Clonality
Polyclonal
Host
Rabbit
Conjugate
Unconjugated
Format
BSA Free

Order Details

View Available Formulations
Catalog# & Formulation Size Price

SHCBP1L Antibody - BSA Free Summary

Description
Novus Biologicals Rabbit SHCBP1L Antibody - BSA Free (NBP1-90716) is a polyclonal antibody validated for use in IHC. All Novus Biologicals antibodies are covered by our 100% guarantee.
Immunogen
This antibody was developed against Recombinant Protein corresponding to amino acids: FPGEYQAANLALLTDDIIIKGVGKREEIMITSEPSRDSFVVSKADNVKLMHLSLIQQGTVDGIVVVESGHMTLENCILKCEGTGVC
Predicted Species
Mouse (93%), Rat (92%). Backed by our 100% Guarantee.
Isotype
IgG
Clonality
Polyclonal
Host
Rabbit
Gene
SHCBP1L
Purity
Immunogen affinity purified
Innovator's Reward
Test in a species/application not listed above to receive a full credit towards a future purchase.

Applications/Dilutions

Dilutions
  • Immunohistochemistry 1:500 - 1:1000
  • Immunohistochemistry-Paraffin 1:500 - 1:1000
Application Notes
For IHC-Paraffin, HIER pH 6 retrieval is recommended. Immunocytochemistry/Immunofluorescence Fixation Permeabilization: Use PFA/Triton X-100.
Control Peptide
SHCBP1L Protein (NBP1-90716PEP)

Packaging, Storage & Formulations

Storage
Store at 4C short term. Aliquot and store at -20C long term. Avoid freeze-thaw cycles.
Buffer
PBS (pH 7.2) and 40% Glycerol
Preservative
0.02% Sodium Azide
Purity
Immunogen affinity purified

Alternate Names for SHCBP1L Antibody - BSA Free

  • C1orf14
  • GE36
  • MGC26911
  • SHC SH2 domain-binding protein 1-like protein
  • SHC SH2-domain binding protein 1-like

Limitations

This product is for research use only and is not approved for use in humans or in clinical diagnosis. Primary Antibodies are guaranteed for 1 year from date of receipt.

Publications for SHCBP1L Antibody (NBP1-90716) (0)

There are no publications for SHCBP1L Antibody (NBP1-90716).
By submitting your publication information earn gift cards and discounts for future purchases.

Reviews for SHCBP1L Antibody (NBP1-90716) (0)

There are no reviews for SHCBP1L Antibody (NBP1-90716). By submitting a review you will receive an Amazon e-Gift Card or Novus Product Discount.
  • Review with no image -- $10/€7/£6/$10 CAD/¥70 Yuan/¥1110 Yen
  • Review with an image -- $25/€18/£15/$25 CAD/¥150 Yuan/¥2500 Yen

Product General Protocols

Find general support by application which include: protocols, troubleshooting, illustrated assays, videos and webinars.

FAQs for SHCBP1L Antibody (NBP1-90716) (0)

There are no specific FAQs related to this product. Read our general customer & technical service FAQs.

Customers Who Bought This Also Bought

Contact Information

Product PDFs

Calculators

Concentration Calculator

The concentration calculator allows you to quickly calculate the volume, mass or concentration of your vial. Simply enter your mass, volume, or concentration values for your reagent and the calculator will determine the rest.

=
÷

Review this Product

Be the first to review our SHCBP1L Antibody - BSA Free and receive a gift card or discount.

Bioinformatics

Gene Symbol SHCBP1L