SAMD13 Antibody - BSA Free

Images

 
Immunocytochemistry/ Immunofluorescence: SAMD13 Antibody [NBP2-31734] - Staining of human cell line SK-MEL-30 shows localization to mitochondria.
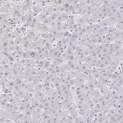
Orthogonal Strategies: Immunohistochemistry-Paraffin: SAMD13 Antibody [NBP2-31734] - Staining in human colon and liver tissues using anti-SAMD13 antibody. Corresponding SAMD13 RNA-seq data are presented for the ...read more
Immunohistochemistry-Paraffin: SAMD13 Antibody [NBP2-31734] - Staining of human colon shows high expression.
Immunohistochemistry-Paraffin: SAMD13 Antibody [NBP2-31734] - Staining of human liver shows low expression as expected.

Product Details

Summary
Reactivity Hu, MuSpecies Glossary
Applications ICC/IF, IHC
Clonality
Polyclonal
Host
Rabbit
Conjugate
Unconjugated
Format
BSA Free
Validated by:
       

Orthogonal Strategies

 

Order Details

View Available Formulations
Catalog# & Formulation Size Price

SAMD13 Antibody - BSA Free Summary

Description
Novus Biologicals Rabbit SAMD13 Antibody - BSA Free (NBP2-31734) is a polyclonal antibody validated for use in IHC and ICC/IF. All Novus Biologicals antibodies are covered by our 100% guarantee.
Immunogen
This antibody was developed against a recombinant protein corresponding to amino acids: ALKIYEYHVKPLQTKHLKNNSS
Predicted Species
Mouse (100%). Backed by our 100% Guarantee.
Isotype
IgG
Clonality
Polyclonal
Host
Rabbit
Gene
SAMD13
Purity
Immunogen affinity purified
Innovator's Reward
Test in a species/application not listed above to receive a full credit towards a future purchase.

Applications/Dilutions

Dilutions
  • Immunocytochemistry/ Immunofluorescence 0.25-2 ug/ml
  • Immunohistochemistry 1:20 - 1:50
  • Immunohistochemistry-Paraffin 1:20 - 1:50
Application Notes
For IHC-Paraffin, HIER pH 6 retrieval is recommended. Immunocytochemistry/Immunofluorescence Fixation Permeabilization: Use PFA/Triton X-100.
Control Peptide
SAMD13 Protein (NBP2-31734PEP)

Packaging, Storage & Formulations

Storage
Store at 4C short term. Aliquot and store at -20C long term. Avoid freeze-thaw cycles.
Buffer
PBS (pH 7.2) and 40% Glycerol
Preservative
0.02% Sodium Azide
Purity
Immunogen affinity purified

Alternate Names for SAMD13 Antibody - BSA Free

  • Dnaj-Like Protein (LOC148418)
  • RP11-376N17.1
  • SAM Domain-Containing Protein 13
  • Sterile Alpha Motif Domain Containing 13
  • Sterile Alpha Motif Domain-Containing Protein 13

Limitations

This product is for research use only and is not approved for use in humans or in clinical diagnosis. Primary Antibodies are guaranteed for 1 year from date of receipt.

Publications for SAMD13 Antibody (NBP2-31734) (0)

There are no publications for SAMD13 Antibody (NBP2-31734).
By submitting your publication information earn gift cards and discounts for future purchases.

Reviews for SAMD13 Antibody (NBP2-31734) (0)

There are no reviews for SAMD13 Antibody (NBP2-31734). By submitting a review you will receive an Amazon e-Gift Card or Novus Product Discount.
  • Review with no image -- $10/€7/£6/$10 CAD/¥70 Yuan/¥1110 Yen
  • Review with an image -- $25/€18/£15/$25 CAD/¥150 Yuan/¥2500 Yen

Product General Protocols

Find general support by application which include: protocols, troubleshooting, illustrated assays, videos and webinars.

Video Protocols

ICC/IF Video Protocol

FAQs for SAMD13 Antibody (NBP2-31734) (0)

There are no specific FAQs related to this product. Read our general customer & technical service FAQs.

Secondary Antibodies

 

Isotype Controls

Additional SAMD13 Products

Research Areas for SAMD13 Antibody (NBP2-31734)

Find related products by research area.

Blogs on SAMD13

There are no specific blogs for SAMD13, but you can read our latest blog posts.

Customers Who Bought This Also Bought

Contact Information

Product PDFs

Calculators

Concentration Calculator

The concentration calculator allows you to quickly calculate the volume, mass or concentration of your vial. Simply enter your mass, volume, or concentration values for your reagent and the calculator will determine the rest.

=
÷

Review this Product

Be the first to review our SAMD13 Antibody - BSA Free and receive a gift card or discount.

Bioinformatics

Gene Symbol SAMD13
Uniprot