RPUSD4 Antibody - BSA Free

Images

 
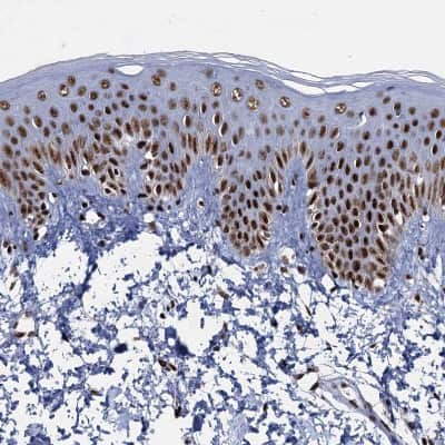
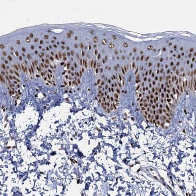
Immunohistochemistry-Paraffin: RPUSD4 Antibody [NBP1-82231] - Staining of human skin shows strong nuclear positivity in squamous epithelial cells.
Immunohistochemistry-Paraffin: RPUSD4 Antibody [NBP1-82231] - Staining of human rectum shows strong nuclear positivity in glandular cells.
Immunohistochemistry-Paraffin: RPUSD4 Antibody [NBP1-82231] - Staining of human fallopian tube shows strong nuclear positivity in glandular cells.
Immunohistochemistry-Paraffin: RPUSD4 Antibody [NBP1-82231] - Staining of human skeletal muscle shows strong nuclear positivity in myocytes.

Product Details

Summary
Reactivity Hu, Mu, RtSpecies Glossary
Applications ICC/IF, IHC
Clonality
Polyclonal
Host
Rabbit
Conjugate
Unconjugated
Format
BSA Free

Order Details

View Available Formulations
Catalog# & Formulation Size Price

RPUSD4 Antibody - BSA Free Summary

Description
Novus Biologicals Rabbit RPUSD4 Antibody - BSA Free (NBP1-82231) is a polyclonal antibody validated for use in IHC and ICC/IF. Anti-RPUSD4 Antibody: Cited in 1 publication. All Novus Biologicals antibodies are covered by our 100% guarantee.
Immunogen
This antibody was developed against Recombinant Protein corresponding to amino acids: NLVVINKPYGLPVHGGPGVQLCITDVLPILAKMLHGHKAEPLHLCHRLDKETTGVMVLAWDKDMAHQVQELFRTRQVVKKYWAITVHVP
Predicted Species
Mouse (94%), Rat (94%). Backed by our 100% Guarantee.
Isotype
IgG
Clonality
Polyclonal
Host
Rabbit
Gene
RPUSD4
Purity
Immunogen affinity purified
Innovator's Reward
Test in a species/application not listed above to receive a full credit towards a future purchase.

Applications/Dilutions

Dilutions
  • Immunocytochemistry/ Immunofluorescence
  • Immunohistochemistry 1:50 - 1:200
  • Immunohistochemistry-Paraffin 1:50-1:200
Application Notes
For IHC-Paraffin, HIER pH 6 retrieval is recommended. ICC/IF reactivity reported in (PMID: 23435261).
Control Peptide
RPUSD4 Protein (NBP1-82231PEP)
Publications
Read Publication using NBP1-82231.

Reactivity Notes

Reactivity reported in scientific literature (PMID: 23435261)

Packaging, Storage & Formulations

Storage
Store at 4C short term. Aliquot and store at -20C long term. Avoid freeze-thaw cycles.
Buffer
PBS (pH 7.2) and 40% Glycerol
Preservative
0.02% Sodium Azide
Purity
Immunogen affinity purified

Alternate Names for RPUSD4 Antibody - BSA Free

  • FLJ14494
  • RNA pseudouridylate synthase domain containing 4
  • RNA pseudouridylate synthase domain-containing protein 4

Limitations

This product is for research use only and is not approved for use in humans or in clinical diagnosis. Primary Antibodies are guaranteed for 1 year from date of receipt.

Publications for RPUSD4 Antibody (NBP1-82231)(1)

Reviews for RPUSD4 Antibody (NBP1-82231) (0)

There are no reviews for RPUSD4 Antibody (NBP1-82231). By submitting a review you will receive an Amazon e-Gift Card or Novus Product Discount.
  • Review with no image -- $10/€7/£6/$10 CAD/¥70 Yuan/¥1110 Yen
  • Review with an image -- $25/€18/£15/$25 CAD/¥150 Yuan/¥2500 Yen

Product General Protocols

Find general support by application which include: protocols, troubleshooting, illustrated assays, videos and webinars.

Video Protocols

ICC/IF Video Protocol

FAQs for RPUSD4 Antibody (NBP1-82231) (0)

There are no specific FAQs related to this product. Read our general customer & technical service FAQs.

Customers Who Bought This Also Bought

Contact Information

Product PDFs

Calculators

Concentration Calculator

The concentration calculator allows you to quickly calculate the volume, mass or concentration of your vial. Simply enter your mass, volume, or concentration values for your reagent and the calculator will determine the rest.

=
÷

Review this Product

Be the first to review our RPUSD4 Antibody - BSA Free and receive a gift card or discount.

Bioinformatics

Gene Symbol RPUSD4