RNF219 Antibody - BSA Free

Images

 
Immunocytochemistry/ Immunofluorescence: RNF219 Antibody [NBP1-88401] - Staining of human cell line A-431 shows localization to nucleoplasm, nuclear bodies & cytosol.
Immunohistochemistry-Paraffin: RNF219 Antibody [NBP1-88401] - Staining of human cerebral cortex.
Immunohistochemistry-Paraffin: RNF219 Antibody [NBP1-88401] - Staining of human pancreas shows low expression as expected.
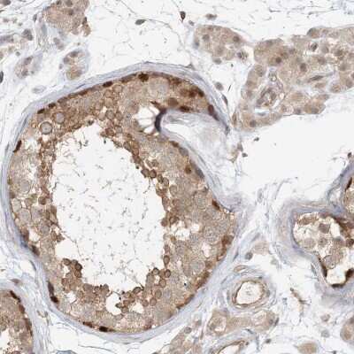
Immunohistochemistry-Paraffin: RNF219 Antibody [NBP1-88401] - Staining of human testis shows high expression.
Orthogonal Strategies: Immunohistochemistry-Paraffin: RNF219 Antibody [NBP1-88401] - Staining in human testis and pancreas tissues using anti-RNF219 antibody. Corresponding RNF219 RNA-seq data are presented for ...read more
Independent Antibodies: Immunohistochemistry-Paraffin: RNF219 Antibody [NBP1-88401] - Staining of human cerebral cortex, kidney, lymph node and testis using Anti-RNF219 antibody NBP1-88401 (A) shows similar ...read more
Immunohistochemistry-Paraffin: RNF219 Antibody [NBP1-88401] - Staining of human lymph node.
Immunohistochemistry-Paraffin: RNF219 Antibody [NBP1-88401] - Staining of human kidney.

Product Details

Summary
Reactivity HuSpecies Glossary
Applications ICC/IF, IHC
Clonality
Polyclonal
Host
Rabbit
Conjugate
Unconjugated
Format
BSA Free

Order Details

View Available Formulations
Catalog# & Formulation Size Price

RNF219 Antibody - BSA Free Summary

Description
Novus Biologicals Rabbit RNF219 Antibody - BSA Free (NBP1-88401) is a polyclonal antibody validated for use in IHC and ICC/IF. Anti-RNF219 Antibody: Cited in 1 publication. All Novus Biologicals antibodies are covered by our 100% guarantee.
Immunogen
This antibody was developed against Recombinant Protein corresponding to amino acids: SKGSLTNDQLENGSEWKPTSFFLLSPSDQEMNEDFSLHSSSCPVTNEIKPPSCLFQTEFSQGILLSSSHRLFEDQRFGSSLFK
Isotype
IgG
Clonality
Polyclonal
Host
Rabbit
Gene
RNF219
Purity
Immunogen affinity purified
Innovator's Reward
Test in a species/application not listed above to receive a full credit towards a future purchase.

Applications/Dilutions

Dilutions
  • Immunocytochemistry/ Immunofluorescence 0.25-2 ug/ml
  • Immunohistochemistry 1:50 - 1:200
  • Immunohistochemistry-Paraffin 1:50 - 1:200
Application Notes
For IHC-Paraffin, HIER pH 6 retrieval is recommended. Immunocytochemistry/Immunofluorescence Fixation Permeabilization: Use PFA/Triton X-100.
Control Peptide
RNF219 Protein (NBP1-88401PEP)
Publications
Read Publication using NBP1-88401.

Reactivity Notes

Reactivity reported in scientific literature (PMID: 23435261)

Packaging, Storage & Formulations

Storage
Store at 4C short term. Aliquot and store at -20C long term. Avoid freeze-thaw cycles.
Buffer
PBS (pH 7.2) and 40% Glycerol
Preservative
0.02% Sodium Azide
Purity
Immunogen affinity purified

Alternate Names for RNF219 Antibody - BSA Free

  • C13orf7
  • chromosome 13 open reading frame 7
  • DKFZp686A01276
  • DKFZp686N15250
  • DKFZp686O03173
  • FLJ13449
  • FLJ25774
  • ring finger protein 219

Limitations

This product is for research use only and is not approved for use in humans or in clinical diagnosis. Primary Antibodies are guaranteed for 1 year from date of receipt.

Publications for RNF219 Antibody (NBP1-88401)(1)

Reviews for RNF219 Antibody (NBP1-88401) (0)

There are no reviews for RNF219 Antibody (NBP1-88401). By submitting a review you will receive an Amazon e-Gift Card or Novus Product Discount.
  • Review with no image -- $10/€7/£6/$10 CAD/¥70 Yuan/¥1110 Yen
  • Review with an image -- $25/€18/£15/$25 CAD/¥150 Yuan/¥2500 Yen

Product General Protocols

Find general support by application which include: protocols, troubleshooting, illustrated assays, videos and webinars.

Video Protocols

ICC/IF Video Protocol

FAQs for RNF219 Antibody (NBP1-88401) (0)

There are no specific FAQs related to this product. Read our general customer & technical service FAQs.

Customers Who Bought This Also Bought

Contact Information

Product PDFs

Calculators

Concentration Calculator

The concentration calculator allows you to quickly calculate the volume, mass or concentration of your vial. Simply enter your mass, volume, or concentration values for your reagent and the calculator will determine the rest.

=
÷

Review this Product

Be the first to review our RNF219 Antibody - BSA Free and receive a gift card or discount.

Bioinformatics

Gene Symbol RNF219