Ring Finger Protein 212B Antibody - BSA Free

Images

 
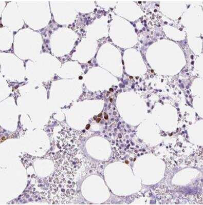
Immunohistochemistry: C14orf164 Antibody [NBP2-31000] - Staining of human bone marrow shows strong cytoplasmic positivity in hematopoietic cells.

Product Details

Summary
Reactivity HuSpecies Glossary
Applications IHC
Clonality
Polyclonal
Host
Rabbit
Conjugate
Unconjugated
Format
BSA Free

Order Details

View Available Formulations
Catalog# & Formulation Size Price

Ring Finger Protein 212B Antibody - BSA Free Summary

Description
Novus Biologicals Rabbit Ring Finger Protein 212B Antibody - BSA Free (NBP2-31000) is a polyclonal antibody validated for use in IHC. All Novus Biologicals antibodies are covered by our 100% guarantee.
Immunogen
This antibody was developed against a recombinant protein corresponding to amino acids: ASTHSLSYRTSSASSGQGIFSFRPSPNGHSGHTRVLTPNNFAQRESTTTLESLPSFQLPVLQTLYQQRRHMGLPSGR
Isotype
IgG
Clonality
Polyclonal
Host
Rabbit
Gene
RNF212B
Purity
Immunogen affinity purified
Innovator's Reward
Test in a species/application not listed above to receive a full credit towards a future purchase.

Applications/Dilutions

Dilutions
  • Immunohistochemistry 1:20 - 1:50
  • Immunohistochemistry-Paraffin 1:20 - 1:50
Application Notes
For IHC-Paraffin, HIER pH 6 retrieval is recommended.
Control Peptide
Ring Finger Protein 212B Recombinant Protein Antigen (NBP2-31000PEP)

Packaging, Storage & Formulations

Storage
Store at 4C short term. Aliquot and store at -20C long term. Avoid freeze-thaw cycles.
Buffer
PBS (pH 7.2) and 40% Glycerol
Preservative
0.02% Sodium Azide
Purity
Immunogen affinity purified

Alternate Names for Ring Finger Protein 212B Antibody - BSA Free

  • Chromosome 14 Open Reading Frame 164
  • RING Finger Protein C14orf164
  • RING Finger Protein C14orf164-Like

Limitations

This product is for research use only and is not approved for use in humans or in clinical diagnosis. Primary Antibodies are guaranteed for 1 year from date of receipt.

Publications for Ring Finger Protein 212B Antibody (NBP2-31000) (0)

There are no publications for Ring Finger Protein 212B Antibody (NBP2-31000).
By submitting your publication information earn gift cards and discounts for future purchases.

Reviews for Ring Finger Protein 212B Antibody (NBP2-31000) (0)

There are no reviews for Ring Finger Protein 212B Antibody (NBP2-31000). By submitting a review you will receive an Amazon e-Gift Card or Novus Product Discount.
  • Review with no image -- $10/€7/£6/$10 CAD/¥70 Yuan/¥1110 Yen
  • Review with an image -- $25/€18/£15/$25 CAD/¥150 Yuan/¥2500 Yen

Product General Protocols

Find general support by application which include: protocols, troubleshooting, illustrated assays, videos and webinars.

FAQs for Ring Finger Protein 212B Antibody (NBP2-31000) (0)

There are no specific FAQs related to this product. Read our general customer & technical service FAQs.

Secondary Antibodies

 

Isotype Controls

Additional Ring Finger Protein 212B Products

Blogs on Ring Finger Protein 212B

There are no specific blogs for Ring Finger Protein 212B, but you can read our latest blog posts.

Customers Who Bought This Also Bought

Contact Information

Product PDFs

Calculators

Concentration Calculator

The concentration calculator allows you to quickly calculate the volume, mass or concentration of your vial. Simply enter your mass, volume, or concentration values for your reagent and the calculator will determine the rest.

=
÷

Review this Product

Be the first to review our Ring Finger Protein 212B Antibody - BSA Free and receive a gift card or discount.

Bioinformatics

Gene Symbol RNF212B
Uniprot