RIBC2 Antibody - BSA Free

Images

 
Immunohistochemistry-Paraffin: RIBC2 Antibody [NBP1-86814] - Staining of human cerebral cortex shows moderate positivity in neuropil.
Immunohistochemistry-Paraffin: RIBC2 Antibody [NBP1-86814] - Staining of human fallopian tube shows moderate to strong positivity in cilia in glandular cells.
Immunohistochemistry-Paraffin: RIBC2 Antibody [NBP1-86814] - Staining of human bronchus shows moderate positivity in cilia in respiratory epithelial cells.
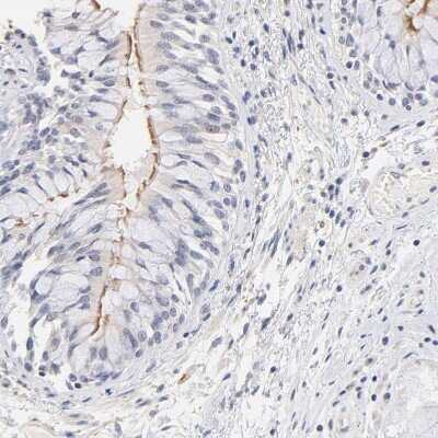
Immunohistochemistry-Paraffin: RIBC2 Antibody [NBP1-86814] - Staining of human skeletal muscle shows no positivity in myocytes as expected.

Product Details

Summary
Reactivity HuSpecies Glossary
Applications IHC
Clonality
Polyclonal
Host
Rabbit
Conjugate
Unconjugated
Format
BSA Free

Order Details

View Available Formulations
Catalog# & Formulation Size Price

RIBC2 Antibody - BSA Free Summary

Description
Novus Biologicals Rabbit RIBC2 Antibody - BSA Free (NBP1-86814) is a polyclonal antibody validated for use in IHC. Anti-RIBC2 Antibody: Cited in 1 publication. All Novus Biologicals antibodies are covered by our 100% guarantee.
Immunogen
This antibody was developed against Recombinant Protein corresponding to amino acids: DKIMCILENRKKRDRKNLCRAINDFQQSFQKPETRREFDLSDPLALKKDLPARQSDNDVRNTISGMQKFMGEDLNFHERKKFQEEQNREWSLQQQREWKNARAEQKCAEALYTETRLQFDETAKHLQKLESTTRKAVCASVKDF
Isotype
IgG
Clonality
Polyclonal
Host
Rabbit
Gene
RIBC2
Purity
Affinity purified
Innovator's Reward
Test in a species/application not listed above to receive a full credit towards a future purchase.

Applications/Dilutions

Dilutions
  • Immunohistochemistry 1:200 - 1:500
  • Immunohistochemistry-Paraffin 1:200 - 1:500
Application Notes
For IHC-Paraffin, HIER pH 6 retrieval is recommended.
Control Peptide
RIBC2 Protein (NBP1-86814PEP)
Publications
Read Publication using NBP1-86814.

Packaging, Storage & Formulations

Storage
Store at 4C short term. Aliquot and store at -20C long term. Avoid freeze-thaw cycles.
Buffer
PBS (pH 7.2) and 40% Glycerol
Preservative
0.02% Sodium Azide
Purity
Affinity purified

Alternate Names for RIBC2 Antibody - BSA Free

  • C22orf11
  • chromosome 22 open reading frame 11
  • DKFZp566F0546
  • FLJ25720
  • RIB43A domain with coiled-coils 2
  • RIB43A-like with coiled-coils protein 2

Limitations

This product is for research use only and is not approved for use in humans or in clinical diagnosis. Primary Antibodies are guaranteed for 1 year from date of receipt.

Publications for RIBC2 Antibody (NBP1-86814)(1)

Reviews for RIBC2 Antibody (NBP1-86814) (0)

There are no reviews for RIBC2 Antibody (NBP1-86814). By submitting a review you will receive an Amazon e-Gift Card or Novus Product Discount.
  • Review with no image -- $10/€7/£6/$10 CAD/¥70 Yuan/¥1110 Yen
  • Review with an image -- $25/€18/£15/$25 CAD/¥150 Yuan/¥2500 Yen

Product General Protocols

Find general support by application which include: protocols, troubleshooting, illustrated assays, videos and webinars.

FAQs for RIBC2 Antibody (NBP1-86814) (0)

There are no specific FAQs related to this product. Read our general customer & technical service FAQs.

Customers Who Bought This Also Bought

Contact Information

Product PDFs

Calculators

Concentration Calculator

The concentration calculator allows you to quickly calculate the volume, mass or concentration of your vial. Simply enter your mass, volume, or concentration values for your reagent and the calculator will determine the rest.

=
÷

Review this Product

Be the first to review our RIBC2 Antibody - BSA Free and receive a gift card or discount.

Bioinformatics

Gene Symbol RIBC2