RBM18 Antibody - BSA Free

Images

 
Immunocytochemistry/ Immunofluorescence: RBM18 Antibody [NBP2-31670] - Staining of human cell line MCF7 shows localization to nucleus, nucleoli fibrillar center & midbody. Antibody staining is shown in green.
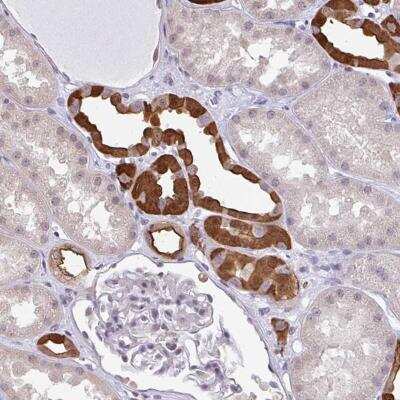
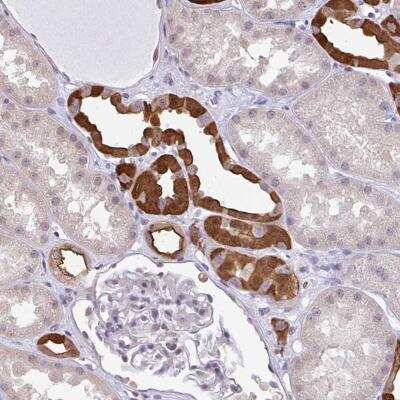
Immunohistochemistry-Paraffin: RBM18 Antibody [NBP2-31670] - Staining of human kidney shows strong cytoplasmic and nuclear positivity in subset of tubules.

Product Details

Summary
Reactivity Hu, Mu, RtSpecies Glossary
Applications ICC/IF, IHC
Clonality
Polyclonal
Host
Rabbit
Conjugate
Unconjugated
Format
BSA Free

Order Details

View Available Formulations
Catalog# & Formulation Size Price

RBM18 Antibody - BSA Free Summary

Description
Novus Biologicals Rabbit RBM18 Antibody - BSA Free (NBP2-31670) is a polyclonal antibody validated for use in IHC and ICC/IF. All Novus Biologicals antibodies are covered by our 100% guarantee.
Immunogen
This antibody was developed against a recombinant protein corresponding to amino acids: LPLENASILSEGSLQEGHRLWIGNLDPKITEYHLLKLLQKFGKVKQFDFLFHKSGALEGQPRGYCFVNFETKQEAEQAIQCLNGKLA
Predicted Species
Mouse (100%), Rat (99%). Backed by our 100% Guarantee.
Isotype
IgG
Clonality
Polyclonal
Host
Rabbit
Gene
RBM18
Purity
Immunogen affinity purified
Innovator's Reward
Test in a species/application not listed above to receive a full credit towards a future purchase.

Applications/Dilutions

Dilutions
  • Immunocytochemistry/ Immunofluorescence 0.25-2 ug/ml
  • Immunohistochemistry 1:50 - 1:200
  • Immunohistochemistry-Paraffin 1:50 - 1:200
Application Notes
For IHC-Paraffin, HIER pH 6 retrieval is recommended. ICC/IF Fixation Permeabilization: Use PFA/Triton X-100.
Control Peptide
RBM18 Protein (NBP2-31670PEP)

Packaging, Storage & Formulations

Storage
Store at 4C short term. Aliquot and store at -20C long term. Avoid freeze-thaw cycles.
Buffer
PBS (pH 7.2) and 40% Glycerol
Preservative
0.02% Sodium Azide
Purity
Immunogen affinity purified

Alternate Names for RBM18 Antibody - BSA Free

  • MGC2734
  • RNA binding motif protein 18
  • RNA-binding motif protein 18

Background

The RBM18 gene encodes a190 amino acid long, 21 kDA probable RNA-binding protein 18 that interacts with genes RAD23B, TMEM27, EPHA3, and NDUFAB1.

Limitations

This product is for research use only and is not approved for use in humans or in clinical diagnosis. Primary Antibodies are guaranteed for 1 year from date of receipt.

Publications for RBM18 Antibody (NBP2-31670) (0)

There are no publications for RBM18 Antibody (NBP2-31670).
By submitting your publication information earn gift cards and discounts for future purchases.

Reviews for RBM18 Antibody (NBP2-31670) (0)

There are no reviews for RBM18 Antibody (NBP2-31670). By submitting a review you will receive an Amazon e-Gift Card or Novus Product Discount.
  • Review with no image -- $10/€7/£6/$10 CAD/¥70 Yuan/¥1110 Yen
  • Review with an image -- $25/€18/£15/$25 CAD/¥150 Yuan/¥2500 Yen

Product General Protocols

Find general support by application which include: protocols, troubleshooting, illustrated assays, videos and webinars.

Video Protocols

ICC/IF Video Protocol

FAQs for RBM18 Antibody (NBP2-31670) (0)

There are no specific FAQs related to this product. Read our general customer & technical service FAQs.

Secondary Antibodies

 

Isotype Controls

Additional RBM18 Products

Array NBP2-31670

Research Areas for RBM18 Antibody (NBP2-31670)

Find related products by research area.

Blogs on RBM18

There are no specific blogs for RBM18, but you can read our latest blog posts.

Customers Who Bought This Also Bought

Contact Information

Product PDFs

Calculators

Concentration Calculator

The concentration calculator allows you to quickly calculate the volume, mass or concentration of your vial. Simply enter your mass, volume, or concentration values for your reagent and the calculator will determine the rest.

=
÷

Review this Product

Be the first to review our RBM18 Antibody - BSA Free and receive a gift card or discount.

Bioinformatics

Gene Symbol RBM18
Uniprot