PRRT4 Antibody - BSA Free

Images

 
Western Blot: PRRT4 Antibody [NBP2-37917] - Lane 1: Marker [kDa] 250, 130, 95, 72, 55, 36, 28, 17, 10. Lane 2: Human cell line RT-4
Immunocytochemistry/ Immunofluorescence: PRRT4 Antibody [NBP2-37917] - Staining of human cell line SH-SY5Y shows localization to nucleoplasm, plasma membrane & peroxisomes.
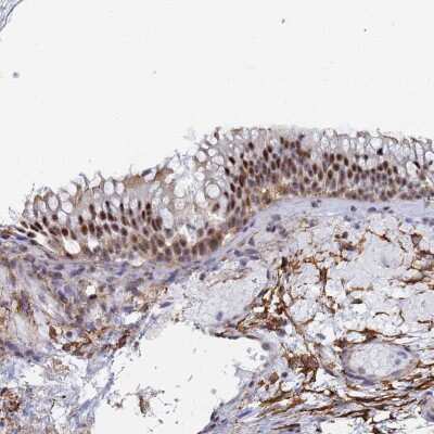
Immunohistochemistry: PRRT4 Antibody [NBP2-37917] - Staining of human nasopharynx shows strong nuclear positivity in respiratory epithelial cells.

Product Details

Summary
Reactivity HuSpecies Glossary
Applications WB, ICC/IF, IHC
Clonality
Polyclonal
Host
Rabbit
Conjugate
Unconjugated
Format
BSA Free

Order Details

View Available Formulations
Catalog# & Formulation Size Price

PRRT4 Antibody - BSA Free Summary

Description
Novus Biologicals Rabbit PRRT4 Antibody - BSA Free (NBP2-37917) is a polyclonal antibody validated for use in IHC, WB and ICC/IF. All Novus Biologicals antibodies are covered by our 100% guarantee.
Immunogen
This antibody was developed against a recombinant protein corresponding to amino acids: PATTLTPVPQSEASMLSLNLGLNFKFHLRGPAAVWGSPVTETQPLSLGPGQEPGEEVASGLRTDPLWELLVGSSGNSLTEWGS
Isotype
IgG
Clonality
Polyclonal
Host
Rabbit
Gene
PRRT4
Purity
Immunogen affinity purified
Innovator's Reward
Test in a species/application not listed above to receive a full credit towards a future purchase.

Applications/Dilutions

Dilutions
  • Immunocytochemistry/ Immunofluorescence 0.25-2 ug/ml
  • Immunohistochemistry 1:200 - 1:500
  • Immunohistochemistry-Paraffin 1:200 - 1:500
  • Western Blot 0.04-0.4 ug/ml
Application Notes
For IHC-Paraffin, HIER pH 6 retrieval is recommended. ICC/IF, Fixation Permeabilization: Use PFA/Triton X-100.
Control Peptide
PRRT4 Protein (NBP2-37917PEP)

Reactivity Notes

Immunogen displays the following percentage of sequence identity for non-tested species: Mouse (82%), Rat (81%)

Packaging, Storage & Formulations

Storage
Store at 4C short term. Aliquot and store at -20C long term. Avoid freeze-thaw cycles.
Buffer
PBS (pH 7.2) and 40% Glycerol
Preservative
0.02% Sodium Azide
Purity
Immunogen affinity purified

Alternate Names for PRRT4 Antibody - BSA Free

  • Proline-Rich Transmembrane Protein 4

Limitations

This product is for research use only and is not approved for use in humans or in clinical diagnosis. Primary Antibodies are guaranteed for 1 year from date of receipt.

Publications for PRRT4 Antibody (NBP2-37917) (0)

There are no publications for PRRT4 Antibody (NBP2-37917).
By submitting your publication information earn gift cards and discounts for future purchases.

Reviews for PRRT4 Antibody (NBP2-37917) (0)

There are no reviews for PRRT4 Antibody (NBP2-37917). By submitting a review you will receive an Amazon e-Gift Card or Novus Product Discount.
  • Review with no image -- $10/€7/£6/$10 CAD/¥70 Yuan/¥1110 Yen
  • Review with an image -- $25/€18/£15/$25 CAD/¥150 Yuan/¥2500 Yen

Product General Protocols

Find general support by application which include: protocols, troubleshooting, illustrated assays, videos and webinars.

Video Protocols

WB Video Protocol
ICC/IF Video Protocol

FAQs for PRRT4 Antibody (NBP2-37917) (0)

There are no specific FAQs related to this product. Read our general customer & technical service FAQs.

Customers Who Bought This Also Bought

Contact Information

Product PDFs

Calculators

Concentration Calculator

The concentration calculator allows you to quickly calculate the volume, mass or concentration of your vial. Simply enter your mass, volume, or concentration values for your reagent and the calculator will determine the rest.

=
÷

Review this Product

Be the first to review our PRRT4 Antibody - BSA Free and receive a gift card or discount.

Bioinformatics

Gene Symbol PRRT4
Uniprot