PRRC1 Antibody - BSA Free

Images

 
Analysis in human cell line RH-30.
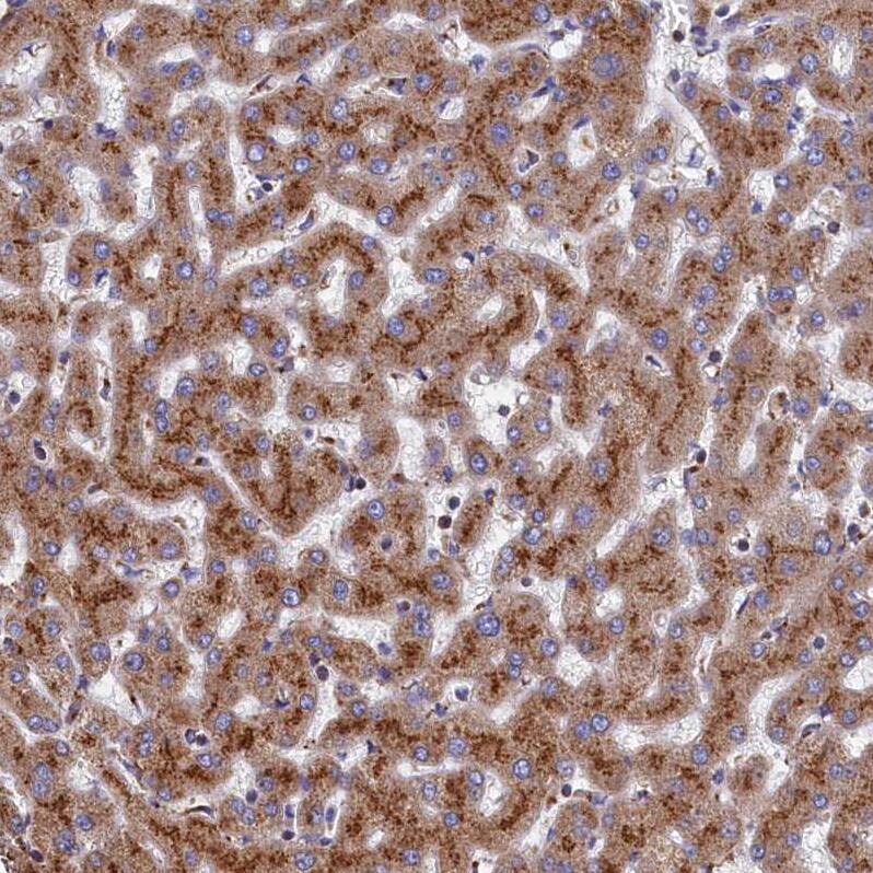
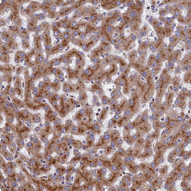
Staining of human liver shows strong cytoplasmic granular positivity in hepatocytes.
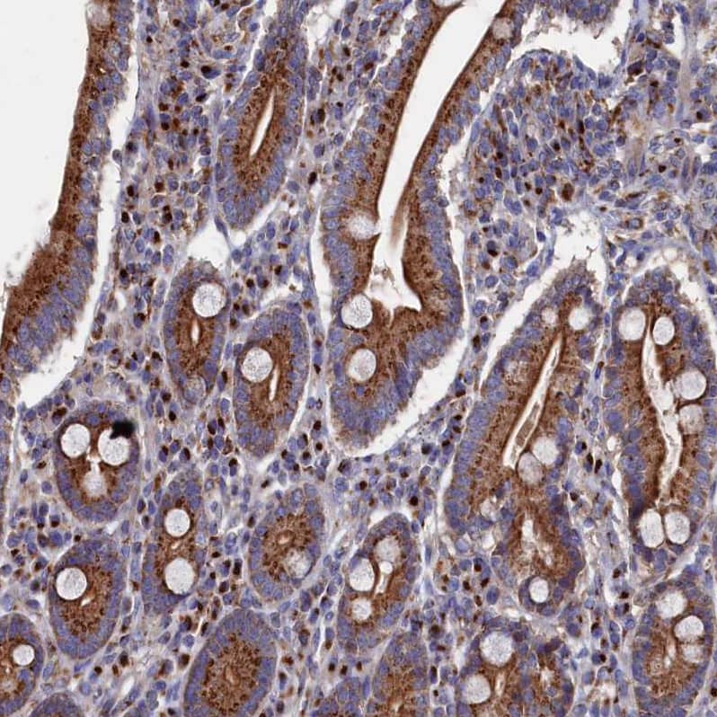
Staining of human duodenum shows strong cytoplasmic granular positivity in glandular cells.
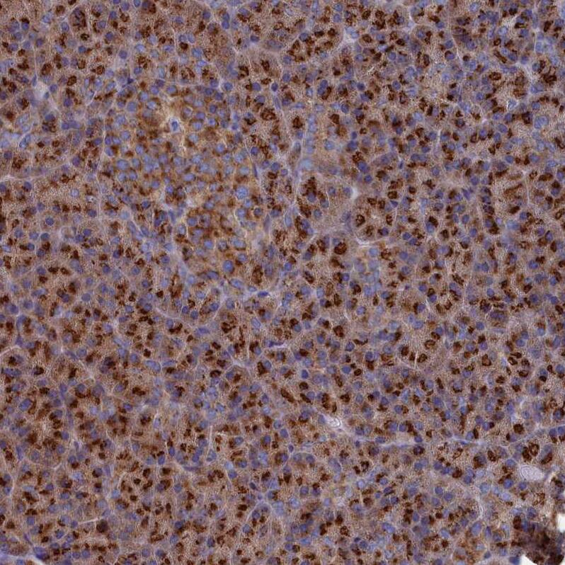
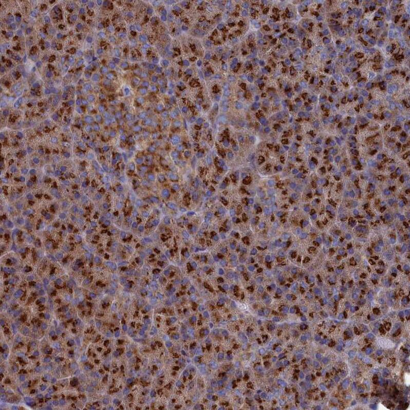
Staining of human pancreas shows strong cytoplasmic granular positivity in exocrine glandular cells.
Staining of human skeletal muscle shows no positivity in myocytes as expected.

Product Details

Summary
Reactivity Hu, Mu, RtSpecies Glossary
Applications WB, IHC
Clonality
Polyclonal
Host
Rabbit
Conjugate
Unconjugated
Format
BSA Free

Order Details

View Available Formulations
Catalog# & Formulation Size Price

PRRC1 Antibody - BSA Free Summary

Description
Novus Biologicals Rabbit PRRC1 Antibody - BSA Free (NBP1-83514) is a polyclonal antibody validated for use in IHC and WB. All Novus Biologicals antibodies are covered by our 100% guarantee.
Immunogen
This antibody was developed against Recombinant Protein corresponding to amino acids: AFQEVFGLAVVVGEAGQSNIAPQPVGYAAGLKGAQERIDSLRRTGVIHEKQTAVSVENFIAELLPDKWFDIGCLVVEDPVH
Predicted Species
Mouse (98%), Rat (98%). Backed by our 100% Guarantee.
Isotype
IgG
Clonality
Polyclonal
Host
Rabbit
Gene
PRRC1
Purity
Affinity purified
Innovator's Reward
Test in a species/application not listed above to receive a full credit towards a future purchase.

Applications/Dilutions

Dilutions
  • Immunohistochemistry 1:500 - 1:1000
  • Immunohistochemistry-Paraffin 1:500 - 1:1000
  • Western Blot 0.04-0.4 ug/ml
Application Notes
For IHC-Paraffin, HIER pH 6 retrieval is recommended.
Theoretical MW
47 kDa.
Disclaimer note: The observed molecular weight of the protein may vary from the listed predicted molecular weight due to post translational modifications, post translation cleavages, relative charges, and other experimental factors.
Control Peptide
PRRC1 Protein (NBP1-83514PEP)

Packaging, Storage & Formulations

Storage
Store at 4C short term. Aliquot and store at -20C long term. Avoid freeze-thaw cycles.
Buffer
PBS (pH 7.2) and 40% Glycerol
Preservative
0.02% Sodium Azide
Purity
Affinity purified

Alternate Names for PRRC1 Antibody - BSA Free

  • proline-rich coiled-coil 1

Limitations

This product is for research use only and is not approved for use in humans or in clinical diagnosis. Primary Antibodies are guaranteed for 1 year from date of receipt.

Publications for PRRC1 Antibody (NBP1-83514) (0)

There are no publications for PRRC1 Antibody (NBP1-83514).
By submitting your publication information earn gift cards and discounts for future purchases.

Reviews for PRRC1 Antibody (NBP1-83514) (0)

There are no reviews for PRRC1 Antibody (NBP1-83514). By submitting a review you will receive an Amazon e-Gift Card or Novus Product Discount.
  • Review with no image -- $10/€7/£6/$10 CAD/¥70 Yuan/¥1110 Yen
  • Review with an image -- $25/€18/£15/$25 CAD/¥150 Yuan/¥2500 Yen

Product General Protocols

Find general support by application which include: protocols, troubleshooting, illustrated assays, videos and webinars.

Video Protocols

WB Video Protocol

FAQs for PRRC1 Antibody (NBP1-83514) (0)

There are no specific FAQs related to this product. Read our general customer & technical service FAQs.

Customers Who Bought This Also Bought

Contact Information

Product PDFs

Calculators

Concentration Calculator

The concentration calculator allows you to quickly calculate the volume, mass or concentration of your vial. Simply enter your mass, volume, or concentration values for your reagent and the calculator will determine the rest.

=
÷

Review this Product

Be the first to review our PRRC1 Antibody - BSA Free and receive a gift card or discount.

Bioinformatics

Gene Symbol PRRC1
Entrez
Uniprot