Polyethylene Glycol Antibody (RM105)

Images

 
Western Blot: Polyethylene Glycol Antibody (RM105) [NBP2-77399] - BSA and PEGylated BSA (mPEG 5 kDa) using 0.1mg/mL of antiPEG clone RM105.
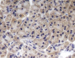
Immunohistochemistry: Polyethylene Glycol Antibody (RM105) [NBP2-77399] - Mouse liver and kidney using 0.5mg/mL of anti-PEG Clone RM105. Mouse had been injected with PEG-BSA or BSA for 3 hours before sampling.
ELISA: Polyethylene Glycol Antibody (RM105) [NBP2-77399] - ELISA of three different PEGylated BSAs using anti-PEG NBP2-77399, followed by an AP conjugated goat anti-rabbit IgG.
ELISA: Polyethylene Glycol Antibody (RM105) [NBP2-77399] - ELISA of PEGylated BSA using Clone RM105. The ELISA plate was coated with 50 uL/well of BSA-PEG at 1 ug/mL, 0.33 ug/mL, 0.11 ug/mL, and 0.04 ug/mL. Different ...read more
Immunohistochemistry-Paraffin: Polyethylene Glycol Antibody (RM105) [NBP2-77399] - Immunohistochemistry of mouse liver and kidney using Clone RM105. The mouse was injected with PEG-BSA or BSA for 3 hours before sampling.

Product Details

Summary
Reactivity AllSpecies Glossary
Applications WB, ELISA, IHC
Clone
RM105
Clonality
Monoclonal
Host
Rabbit
Conjugate
Unconjugated
Concentration
1 mg/ml

Order Details

Polyethylene Glycol Antibody (RM105) Summary

Additional Information
Recombinant Monoclonal Antibody.
Immunogen
KLH conjugated Polyethylene Glycol (PEG) with terminal methoxy group
Specificity
This antibody reacts to the methoxy group of Polyethylene glycol (PEG). It is specific for methoxypoly(ethylene glycol).
Isotype
IgG
Clonality
Monoclonal
Host
Rabbit
Purity
Protein A purified
Innovator's Reward
Test in a species/application not listed above to receive a full credit towards a future purchase.

Applications/Dilutions

Dilutions
  • ELISA 0.01 ug/ml-0.3 ug/ml
  • Immunohistochemistry 0.5ug/ml - 2ug/ml
  • Immunohistochemistry-Paraffin
  • Western Blot 0.05 ug/ml - 1 ug/ml
Reviewed Applications
Read 1 Review rated 5
using
NBP2-77399 in the following applications:

Packaging, Storage & Formulations

Storage
Store at -20C. Avoid freeze-thaw cycles.
Buffer
50% Glycerol/PBS, 1% BSA
Preservative
0.09% Sodium Azide
Concentration
1 mg/ml
Purity
Protein A purified

Alternate Names for Polyethylene Glycol Antibody (RM105)

  • 1,2-Dihydroxyethane
  • 1,2-ethanediol
  • 107-21-1
  • 2-hydroxyethanol
  • Ethane-1,2-diol
  • Glycol alcohol
  • glycol
  • monoethylene glycol

Background

Polyethylene glycol (PEG) is a family of long chain polymers attached to a glycerine backbone. PEG is a nonionic, nontoxic, biocompatible, strongly hydrophilic polymer. Polyethylene glycol is commonly used to fuse B-cells with myeloma cells in monoclonal antibody production. Anti-PEG antibodies can be used to monitor a drugs pharmacokinetics, including distribution, metabolism and excretion. In addition, PEG antibodies can be used for the quality control of pegylated molecules in ELISA, WB and flow cytometery.

Limitations

This product is for research use only and is not approved for use in humans or in clinical diagnosis. Primary Antibodies are guaranteed for 1 year from date of receipt.

Publications for Polyethylene Glycol Antibody (NBP2-77399) (0)

There are no publications for Polyethylene Glycol Antibody (NBP2-77399).
By submitting your publication information earn gift cards and discounts for future purchases.

Review for Polyethylene Glycol Antibody (NBP2-77399) (1) 51

Average Rating: 5
(Based on 1 review)
We have 1 review tested in 1 species: Mouse.

Reviews using NBP2-77399:
Filter by Applications
IHC-P
(1)
All Applications
Filter by Species
Mouse
(1)
All Species
Images Ratings Applications Species Date Details
Immunohistochemistry-Paraffin Polyethylene Glycol NBP2-77399
Enlarge
5
reviewed by:
Verified Customer
IHC-P Mouse 08/17/2022
View

Summary

ApplicationImmunohistochemistry-Paraffin
Sample TestedKidney tissue
SpeciesMouse
LotRM105

Product General Protocols

Find general support by application which include: protocols, troubleshooting, illustrated assays, videos and webinars.

Video Protocols

WB Video Protocol

FAQs for Polyethylene Glycol Antibody (NBP2-77399) (0)

There are no specific FAQs related to this product. Read our general customer & technical service FAQs.

Secondary Antibodies

 

Isotype Controls

Additional Polyethylene Glycol Products

Blogs on Polyethylene Glycol

There are no specific blogs for Polyethylene Glycol, but you can read our latest blog posts.

Customers Who Bought This Also Bought

Contact Information

Product PDFs

Calculators

Concentration Calculator

The concentration calculator allows you to quickly calculate the volume, mass or concentration of your vial. Simply enter your mass, volume, or concentration values for your reagent and the calculator will determine the rest.

=
÷

Recent Reviews

5
5
1
4
0
3
0
2
0
1
0

Verified Customer
08/17/2022
Application: IHC-P
Species: Mouse