NSUN6 Antibody - BSA Free

Images

 
Western Blot: NSUN6 Antibody [NBP1-92202] - Analysis in human cell line K562.
Immunocytochemistry/ Immunofluorescence: NSUN6 Antibody [NBP1-92202] - Immunofluorescent staining of human cell line U-251 MG shows localization to the Golgi apparatus. Antibody staining is shown in green.
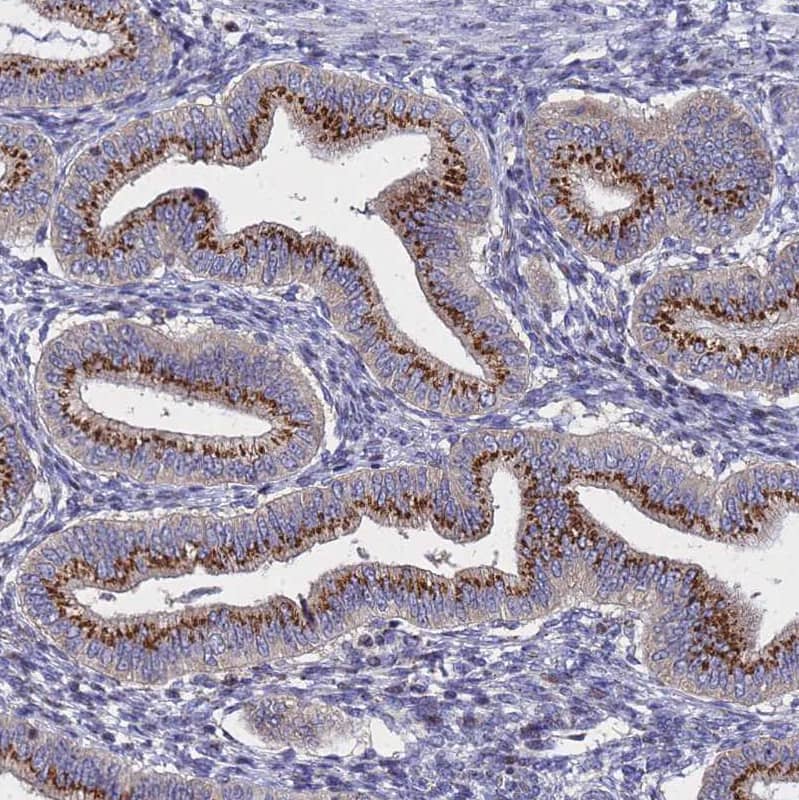
Immunohistochemistry-Paraffin: NSUN6 Antibody [NBP1-92202] - Staining of humanendometrium shows strong granular cytoplasmic positivity in glandular cells.
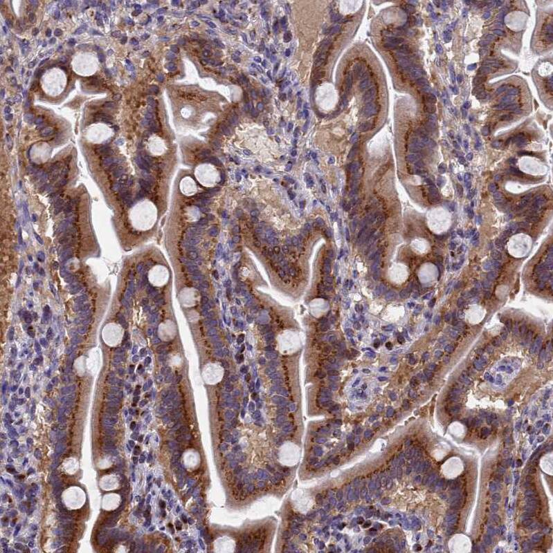
Immunohistochemistry-Paraffin: NSUN6 Antibody [NBP1-92202] - Staining of human duodenum shows strong granular cytoplasmic positivity in glandular cells.
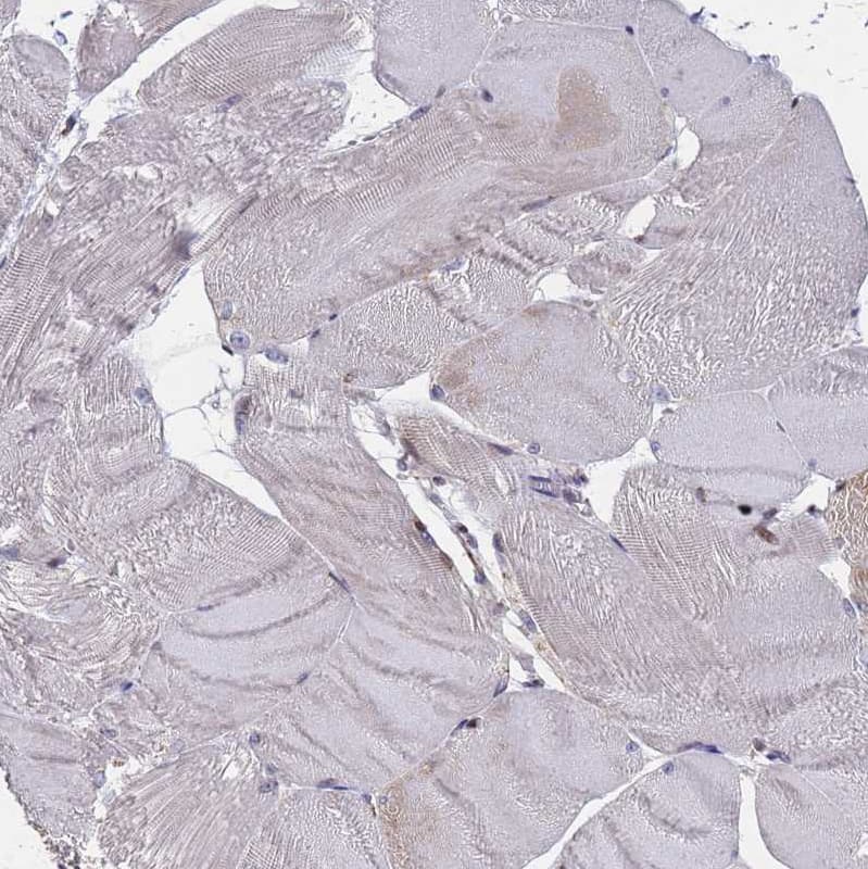
Staining of human Skeletal muscle shows very weak granular cytoplasmic positivity in myocytes.
Staining of human Endometrium shows strong granular cytoplasmic positivity in glandular cells.
Analysis in human cell line K562.
Staining of human Duodenum shows strong granular cytoplasmic positivity in glandular cells.
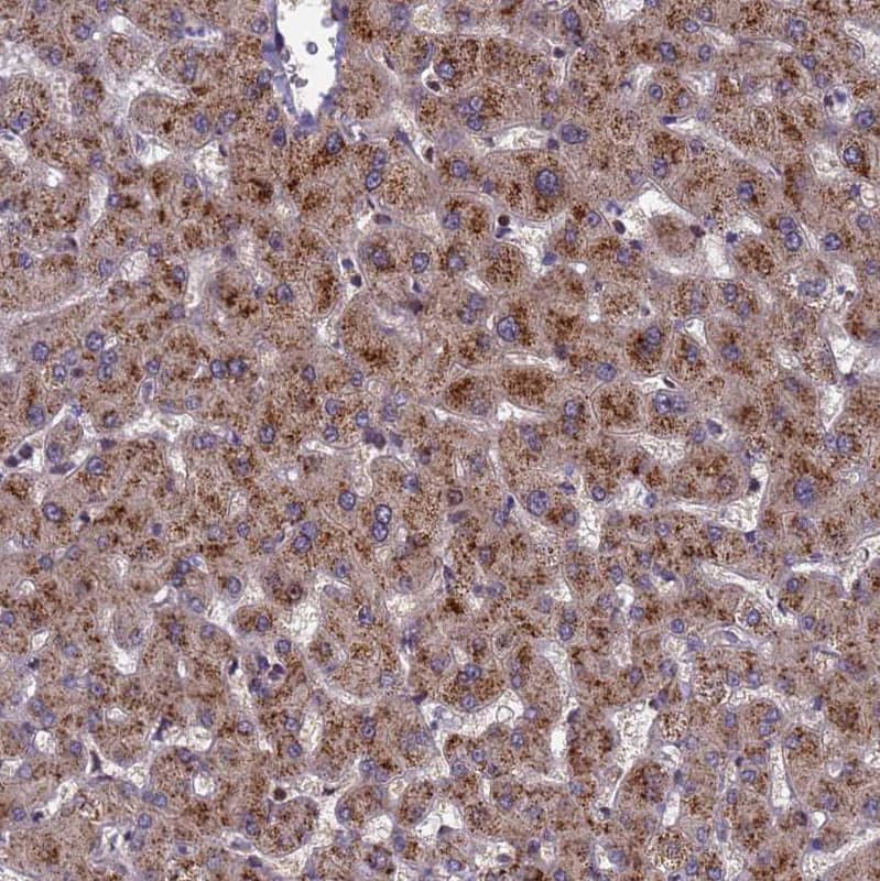
Staining of human Liver shows strong granular cytoplasmic positivity in hepatocytes.

Product Details

Summary
Reactivity HuSpecies Glossary
Applications WB, ICC/IF, IHC
Clonality
Polyclonal
Host
Rabbit
Conjugate
Unconjugated
Format
BSA Free

Order Details

View Available Formulations
Catalog# & Formulation Size Price

NSUN6 Antibody - BSA Free Summary

Description
Novus Biologicals Rabbit NSUN6 Antibody - BSA Free (NBP1-92202) is a polyclonal antibody validated for use in IHC, WB and ICC/IF. All Novus Biologicals antibodies are covered by our 100% guarantee.
Immunogen
This antibody was developed against Recombinant Protein corresponding to amino acids: VLLIPVIGPRKNIKKQQCEAIVGAQCGNAVLRGAHVYAPGIVSASQFMKAGDVISVYSDIKGKCKKGAKEFDGTKVFLGNGISELSRKEIFSG
Isotype
IgG
Clonality
Polyclonal
Host
Rabbit
Gene
NSUN6
Purity
Immunogen affinity purified
Innovator's Reward
Test in a species/application not listed above to receive a full credit towards a future purchase.

Applications/Dilutions

Dilutions
  • Immunocytochemistry/ Immunofluorescence 0.25-2 ug/ml
  • Immunohistochemistry 1:20 - 1:50
  • Immunohistochemistry-Paraffin 1:20 - 1:50
  • Western Blot 0.04-0.4 µg/ml
Application Notes
For IHC-Paraffin, HIER pH 6 retrieval is recommended. ICC/IF,Fixation Permeabilization: Use PFA/Triton X-100.
Control Peptide
NSUN6 Protein (NBP1-92202PEP)

Reactivity Notes

Mouse, Rat (88%).

Packaging, Storage & Formulations

Storage
Store at 4C short term. Aliquot and store at -20C long term. Avoid freeze-thaw cycles.
Buffer
PBS (pH 7.2) and 40% Glycerol
Preservative
0.02% Sodium Azide
Purity
Immunogen affinity purified

Alternate Names for NSUN6 Antibody - BSA Free

  • EC 2.1.1
  • EC 2.1.1.-
  • EC 2.1.1.52
  • FLJ23743
  • NOL1/NOP2/Sun and PUA domain-containing protein 1
  • NOL1/NOP2/Sun domain family 6
  • NOL1/NOP2/Sun domain family member 6
  • NOL1/NOP2/Sun domain family, member 6
  • NOP2/Sun domain family, member 6,4933414E04Rik
  • NOPD1
  • nucleolar protein (NOL1/NOP2/sun) and PUA domains 1
  • putative methyltransferase NSUN6

Background

NSUN6 may have S-adenosyl-L-methionine-dependent methyl-transferase activity (Potential)

Limitations

This product is for research use only and is not approved for use in humans or in clinical diagnosis. Primary Antibodies are guaranteed for 1 year from date of receipt.

Publications for NSUN6 Antibody (NBP1-92202) (0)

There are no publications for NSUN6 Antibody (NBP1-92202).
By submitting your publication information earn gift cards and discounts for future purchases.

Reviews for NSUN6 Antibody (NBP1-92202) (0)

There are no reviews for NSUN6 Antibody (NBP1-92202). By submitting a review you will receive an Amazon e-Gift Card or Novus Product Discount.
  • Review with no image -- $10/€7/£6/$10 CAD/¥70 Yuan/¥1110 Yen
  • Review with an image -- $25/€18/£15/$25 CAD/¥150 Yuan/¥2500 Yen

Product General Protocols

Find general support by application which include: protocols, troubleshooting, illustrated assays, videos and webinars.

Video Protocols

WB Video Protocol
ICC/IF Video Protocol

FAQs for NSUN6 Antibody (NBP1-92202) (0)

There are no specific FAQs related to this product. Read our general customer & technical service FAQs.

Customers Who Bought This Also Bought

Contact Information

Product PDFs

Calculators

Concentration Calculator

The concentration calculator allows you to quickly calculate the volume, mass or concentration of your vial. Simply enter your mass, volume, or concentration values for your reagent and the calculator will determine the rest.

=
÷

Review this Product

Be the first to review our NSUN6 Antibody - BSA Free and receive a gift card or discount.

Bioinformatics

Gene Symbol NSUN6