MTHFSD Antibody

Images

 
Western Blot: MTHFSD Antibody [NBP1-80462] - Jurkat cell lysate, Antibody Titration: 0.625ug/ml
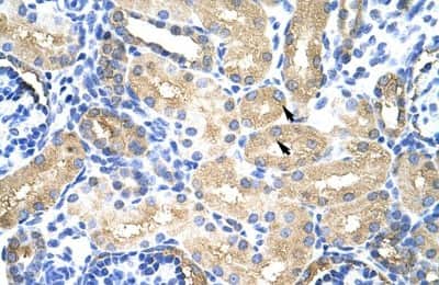
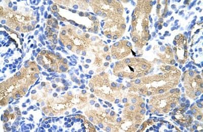
Immunohistochemistry-Paraffin: MTHFSD Antibody [NBP1-80462] - Human kidney Tissue, antibody concentration 4-8ug/ml. Cells with positive label: renal corpuscle cells (indicated with arrows) 400X magnification.

Product Details

Summary
Product Discontinued
View other related MTHFSD Primary Antibodies

Order Details


    • Catalog Number
      NBP1-80462
    • Availability
      Product Discontinued

    Can't find what you are looking for? Use our Antibody Concierge Service & we will help you locate your antibody!

    Or feel free to contact us for alternative products.

MTHFSD Antibody Summary

Immunogen
Synthetic peptide directed towards the N terminal of human MTHFSD. Peptide sequence EVKVDPDKPLEGVRLLVLQSKKTLLVPTPRLRTGLFNKITPPPGATKDIL. The peptide sequence for this immunogen was taken from within the described region.
Predicted Species
Mouse (100%), Rat (93%), Porcine (93%), Bovine (100%), Guinea Pig (90%), Rabbit (92%), Canine (100%), Equine (100%). Backed by our 100% Guarantee.
Isotype
IgG
Clonality
Polyclonal
Host
Rabbit
Gene
MTHFSD
Purity
Protein A purified
Innovator's Reward
Test in a species/application not listed above to receive a full credit towards a future purchase.

Applications/Dilutions

Dilutions
  • Immunohistochemistry 1:10-1:500
  • Immunohistochemistry-Paraffin 1:10-1:500
  • Western Blot 1:1000
Application Notes
This is a rabbit polyclonal antibody against MTHFSD and was validated on Western Blot and immunohistochemistry.
Theoretical MW
41 kDa.
Disclaimer note: The observed molecular weight of the protein may vary from the listed predicted molecular weight due to post translational modifications, post translation cleavages, relative charges, and other experimental factors.

Packaging, Storage & Formulations

Storage
Store at -20C. Avoid freeze-thaw cycles.
Buffer
PBS and 2% Sucrose
Preservative
0.09% Sodium Azide
Purity
Protein A purified

Notes

The addition of 50% glycerol is optional for those storing this antibody at -20C and not aliquoting smaller units. However, please note that glycerol may interrupt some downstream antibody applications and should be added with caution.

Alternate Names for MTHFSD Antibody

  • FLJ12998
  • FLJ13893
  • methenyltetrahydrofolate synthase domain-containing protein
  • methenyltetrahydrofolate synthetase domain containing
  • methenyltetrahydrofolate synthetase domain-containing protein
  • MGC138262
  • MGC138264
  • MGC177233

Background

The MTHFSD gene encodes a methenyltetrahydrofolate synthase domain-containing protein that exists in four isoforms: isoform 1 is 383 amino acids long at 42 kDA, isoform 2 is 382 amino acids long at 42 kDA, isoform 3 is 383 amino acids long at 42 kDA, and isoform 4 is 382 amino acids long at 41 kDA. This gene interacts with the TP53, TP63, TP73, SIN3A, and ACTR1A genes. MTHFSD has been linked to vacterl association and esophageal atresia.

Limitations

This product is for research use only and is not approved for use in humans or in clinical diagnosis. Primary Antibodies are guaranteed for 1 year from date of receipt.

Customers Who Viewed This Item Also Viewed...

AF6989
Species: Mu
Applications: IHC
H00002300-M09
Species: Hu
Applications: ELISA, ICC/IF, IHC,  IHC-P, WB
AF4798
Species: Hu
Applications: WB
NBP1-80462
Species: Hu, Mu, Rt, Po, Bv, Ca, Eq, Gp, Rb
Applications: WB, IHC

Publications for MTHFSD Antibody (NBP1-80462) (0)

There are no publications for MTHFSD Antibody (NBP1-80462).
By submitting your publication information earn gift cards and discounts for future purchases.

Reviews for MTHFSD Antibody (NBP1-80462) (0)

There are no reviews for MTHFSD Antibody (NBP1-80462). By submitting a review you will receive an Amazon e-Gift Card or Novus Product Discount.
  • Review with no image -- $10/€7/£6/$10 CAD/¥70 Yuan/¥1110 Yen
  • Review with an image -- $25/€18/£15/$25 CAD/¥150 Yuan/¥2500 Yen

Product General Protocols

Find general support by application which include: protocols, troubleshooting, illustrated assays, videos and webinars.

Video Protocols

WB Video Protocol

FAQs for MTHFSD Antibody (NBP1-80462) (0)

There are no specific FAQs related to this product. Read our general customer & technical service FAQs.

Contact Information

Product PDFs

Calculators

Concentration Calculator

The concentration calculator allows you to quickly calculate the volume, mass or concentration of your vial. Simply enter your mass, volume, or concentration values for your reagent and the calculator will determine the rest.

=
÷

Review this Product

Be the first to review our MTHFSD Antibody and receive a gift card or discount.

Bioinformatics

Gene Symbol MTHFSD
Uniprot