MRPS23 Antibody - BSA Free

Images

 
Western Blot: MRPS23 Antibody [NBP2-19410] - Sample (30 ug of whole cell lysate) A: HepG2 12% SDS PAGE gel, diluted at 1:1000.
Immunocytochemistry/ Immunofluorescence: MRPS23 Antibody [NBP2-19410] - Immunofluorescence analysis of methanol-fixed HeLa, using antibody at 1:200 dilution.
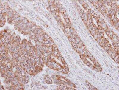
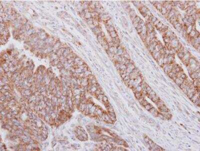
Immunohistochemistry-Paraffin: MRPS23 Antibody [NBP2-19410] - Paraffin-embedded colon carcinoma. MRPS23 antibody dilution: 1:250.

Product Details

Summary
Product Discontinued
View other related MRPS23 Primary Antibodies

Order Details


    • Catalog Number
      NBP2-19410
    • Availability
      Product Discontinued

    Can't find what you are looking for? Use our Antibody Concierge Service & we will help you locate your antibody!

    Or feel free to contact us for alternative products.

MRPS23 Antibody - BSA Free Summary

Description
Novus Biologicals Rabbit MRPS23 Antibody - BSA Free (NBP2-19410) is a polyclonal antibody validated for use in IHC, WB and ICC/IF. All Novus Biologicals antibodies are covered by our 100% guarantee.
Immunogen
Recombinant protein encompassing a sequence within the center region of human MRPS23. The exact sequence is proprietary.
Localization
Mitochondrion
Predicted Species
Monkey (91%). Backed by our 100% Guarantee.
Isotype
IgG
Clonality
Polyclonal
Host
Rabbit
Gene
MRPS23
Purity
Antigen Affinity-purified
Innovator's Reward
Test in a species/application not listed above to receive a full credit towards a future purchase.

Applications/Dilutions

Dilutions
  • Immunocytochemistry/ Immunofluorescence 1:100-1:1000
  • Immunohistochemistry 1:100-1:1000
  • Immunohistochemistry-Paraffin 1:100-1:1000
  • Western Blot 1:500-1:3000
Theoretical MW
22 kDa.
Disclaimer note: The observed molecular weight of the protein may vary from the listed predicted molecular weight due to post translational modifications, post translation cleavages, relative charges, and other experimental factors.

Reactivity Notes

Rhesus Monkey (91%), Bovine (82%), Pig (82%).

Packaging, Storage & Formulations

Storage
Aliquot and store at -20C or -80C. Avoid freeze-thaw cycles.
Buffer
0.1M Tris (pH 7), 0.1M Glycine, 20% Glycerol
Preservative
0.01% Thimerosal
Purity
Antigen Affinity-purified

Alternate Names for MRPS23 Antibody - BSA Free

  • CGI-138,28S ribosomal protein S23, mitochondrial
  • mitochondrial ribosomal protein S23
  • MRP-S23HSPC329
  • S23mt

Background

Mammalian mitochondrial ribosomal proteins are encoded by nuclear genes and help in protein synthesis within the mitochondrion. Mitochondrial ribosomes (mitoribosomes) consist of a small 28S subunit and a large 39S subunit. They have an estimated 75% protein to rRNA composition compared to prokaryotic ribosomes, where this ratio is reversed. Another difference between mammalian mitoribosomes and prokaryotic ribosomes is that the latter contain a 5S rRNA. Among different species, the proteins comprising the mitoribosome differ greatly in sequence, and sometimes in biochemical properties, which prevents easy recognition by sequence homology. This gene encodes a 28S subunit protein. A pseudogene corresponding to this gene is found on chromosome 7p. [provided by RefSeq]

Limitations

This product is for research use only and is not approved for use in humans or in clinical diagnosis. Primary Antibodies are guaranteed for 1 year from date of receipt.

Customers Who Viewed This Item Also Viewed...

NBP2-32875
Species: Hu, Rt
Applications: Flow, ICC/IF, IHC,  IHC-P, Simple Western, WB
NBP2-45836
Species: Ca, Hu, Pm, Mu, Rt
Applications: IHC,  IHC-P, WB
NBP2-48937
Species: Hu
Applications: ICC/IF, IHC,  IHC-P, WB
NBP2-20210
Species: Hu, I, Mu, Ze
Applications: IHC-WhMt, IHC,  IHC-P, WB
H00005164-M02
Species: Hu
Applications: ELISA, IHC,  IHC-P, WB
AF4509
Species: Hu
Applications: ICC, WB
H00001164-M01
Species: Hu
Applications: ELISA, ICC/IF, S-ELISA, WB
NBP2-14206
Species: Hu
Applications: ICC/IF, IHC,  IHC-P
⚠ WARNING: This product can expose you to chemicals including mercury, which is known to the State of California to cause reproductive toxicity with developmental effects.  For more information go to www.P65Warnings.ca.gov.

Publications for MRPS23 Antibody (NBP2-19410) (0)

There are no publications for MRPS23 Antibody (NBP2-19410).
By submitting your publication information earn gift cards and discounts for future purchases.

Reviews for MRPS23 Antibody (NBP2-19410) (0)

There are no reviews for MRPS23 Antibody (NBP2-19410). By submitting a review you will receive an Amazon e-Gift Card or Novus Product Discount.
  • Review with no image -- $10/€7/£6/$10 CAD/¥70 Yuan/¥1110 Yen
  • Review with an image -- $25/€18/£15/$25 CAD/¥150 Yuan/¥2500 Yen

Product General Protocols

Find general support by application which include: protocols, troubleshooting, illustrated assays, videos and webinars.

Video Protocols

WB Video Protocol
ICC/IF Video Protocol

FAQs for MRPS23 Antibody (NBP2-19410) (0)

There are no specific FAQs related to this product. Read our general customer & technical service FAQs.

Secondary Antibodies

 

Isotype Controls

Additional MRPS23 Products

Research Areas for MRPS23 Antibody (NBP2-19410)

Find related products by research area.

Blogs on MRPS23

There are no specific blogs for MRPS23, but you can read our latest blog posts.

Contact Information

Product PDFs

Calculators

Concentration Calculator

The concentration calculator allows you to quickly calculate the volume, mass or concentration of your vial. Simply enter your mass, volume, or concentration values for your reagent and the calculator will determine the rest.

=
÷

Review this Product

Be the first to review our MRPS23 Antibody - BSA Free and receive a gift card or discount.

Bioinformatics

Gene Symbol MRPS23
Uniprot