MBLAC2 Antibody - BSA Free

Images

 
Staining of human esophagus shows moderate cytoplasmic positivity in squamous epithelial cells.
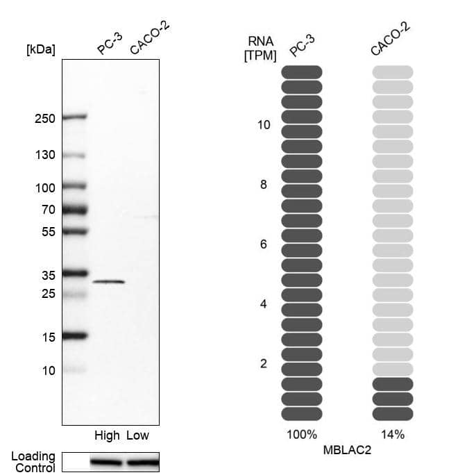
Orthogonal Strategies: Analysis in human cell lines PC-3 and Caco-2 using Anti-MBLAC2 antibody. Corresponding MBLAC2 RNA-seq data are presented for the same cell lines. Loading control: Anti-HSP90B1.
Lane 1: Marker [kDa] 230, 130, 95, 72, 56, 36, 28, 17, 11Lane 2: Human cell line RT-4Lane 3: Human cell line U-251MG sp

Product Details

Summary
Reactivity Hu, Mu, RtSpecies Glossary
Applications WB, IHC
Clonality
Polyclonal
Host
Rabbit
Conjugate
Unconjugated
Format
BSA Free
Validated by:
       

Orthogonal Strategies

 

Order Details

View Available Formulations
Catalog# & Formulation Size Price

MBLAC2 Antibody - BSA Free Summary

Description
Novus Biologicals Rabbit MBLAC2 Antibody - BSA Free (NBP1-84106) is a polyclonal antibody validated for use in IHC and WB. All Novus Biologicals antibodies are covered by our 100% guarantee.
Immunogen
This antibody was developed against Recombinant Protein corresponding to amino acids: RGDNFETVTWLSDSEVVRAPSPGWRARQFRVQAVQPTLILQDGDVINLGDRQLTVMHMPGHSRGSICLHDKDRKILFSGDVVYDGSLI
Predicted Species
Mouse (99%), Rat (99%). Backed by our 100% Guarantee.
Isotype
IgG
Clonality
Polyclonal
Host
Rabbit
Gene
MBLAC2
Purity
Immunogen affinity purified
Innovator's Reward
Test in a species/application not listed above to receive a full credit towards a future purchase.

Applications/Dilutions

Dilutions
  • Immunohistochemistry 1:20 - 1:50
  • Immunohistochemistry-Paraffin 1:20 - 1:50
  • Western Blot 0.04-0.4 ug/ml
Application Notes
For IHC-Paraffin, HIER pH 6 retrieval is recommended.
Control Peptide
MBLAC2 Protein (NBP1-84106PEP)

Packaging, Storage & Formulations

Storage
Store at 4C short term. Aliquot and store at -20C long term. Avoid freeze-thaw cycles.
Buffer
PBS (pH 7.2) and 40% Glycerol
Preservative
0.02% Sodium Azide
Purity
Immunogen affinity purified

Alternate Names for MBLAC2 Antibody - BSA Free

  • DKFZp686P15118
  • EC 3.-
  • metallo-beta-lactamase domain containing 2
  • metallo-beta-lactamase domain-containing protein 2
  • MGC46734

Limitations

This product is for research use only and is not approved for use in humans or in clinical diagnosis. Primary Antibodies are guaranteed for 1 year from date of receipt.

Publications for MBLAC2 Antibody (NBP1-84106) (0)

There are no publications for MBLAC2 Antibody (NBP1-84106).
By submitting your publication information earn gift cards and discounts for future purchases.

Reviews for MBLAC2 Antibody (NBP1-84106) (0)

There are no reviews for MBLAC2 Antibody (NBP1-84106). By submitting a review you will receive an Amazon e-Gift Card or Novus Product Discount.
  • Review with no image -- $10/€7/£6/$10 CAD/¥70 Yuan/¥1110 Yen
  • Review with an image -- $25/€18/£15/$25 CAD/¥150 Yuan/¥2500 Yen

Product General Protocols

Find general support by application which include: protocols, troubleshooting, illustrated assays, videos and webinars.

Video Protocols

WB Video Protocol

FAQs for MBLAC2 Antibody (NBP1-84106) (0)

There are no specific FAQs related to this product. Read our general customer & technical service FAQs.

Customers Who Bought This Also Bought

Contact Information

Product PDFs

Calculators

Concentration Calculator

The concentration calculator allows you to quickly calculate the volume, mass or concentration of your vial. Simply enter your mass, volume, or concentration values for your reagent and the calculator will determine the rest.

=
÷

Review this Product

Be the first to review our MBLAC2 Antibody - BSA Free and receive a gift card or discount.

Bioinformatics

Gene Symbol MBLAC2